
一场右心室双出口患者的生命突围战,看多学科诊疗如何破解Fontan术后抗栓困局 | 病例“心”编
在心血管医学的迷宫中,一位特殊患者的求生之路正在上演。27岁先天性心脏病
患者历经三次心脏“大修”,却在抗凝治疗的路上遭遇卒中与肺栓塞的连环突袭。这场关于“抗凝-出血-血栓”的精准博弈,集结了多学科智慧的火花。下面请跟随小编一起,看看现代医学如何破解Fonton术后患者的抗栓困局。
第一幕:生死时速,风暴渐息
➤现病史&既往史:
患者,男性,27岁,右心室双出口伴右心室发育不良,曾接受肺动脉下心室旷置术(Fontan手术),今因在家中被发现意识不清、呼吸困难
而送入院。
据了解,患者既往2月龄时接受了肺动脉环缩术,7岁时接受双向Glenn手术,12岁时接受侧隧道Fontan手术(术中使用19mm人工血管)、主肺动脉闭锁术和房间隔切除术,在16岁时被诊断为心源性肝硬化
。
患者接受紧急气管插管,随后因左侧M1段闭塞性卒中接受了机械取栓术。在本次入院前2个月,偶然发现患者右心室内存在3.4×1.4 cm血栓,后开始服用阿哌沙班
进行抗凝治疗;本次入院前患者已停用抗凝药物5天。值得注意的是,由于患者无法频繁进行国际标准化比值(INR)监测,故选择阿哌沙班而非华法林
。患者发生出血性卒中后,根据神经科建议,暂停治疗性抗凝2周,待颅内出血风险降低后重新恢复抗凝治疗。
在入院后第4天,患者成功拔管,并能遵医嘱活动。
第二幕:困难重重,迷雾又起
当众人以为可以松口气时,新的危机悄然降临。拔管后数日,患者出现下肢水肿进行性加重,血氧饱和度下降至<70%,并伴有发热
但无明确感染证据。为进一步系统治疗,患者转入心内科。入心内科时,患者体温、血压正常,心率为66次/分,室内空气下血氧饱和度为88%。
➤鉴别诊断:
该患者低氧血症的鉴别诊断包括失代偿性心力衰竭、Fontan隧道渗漏或梗阻以及肺栓塞。
➤辅助检查:
行经胸超声心动图
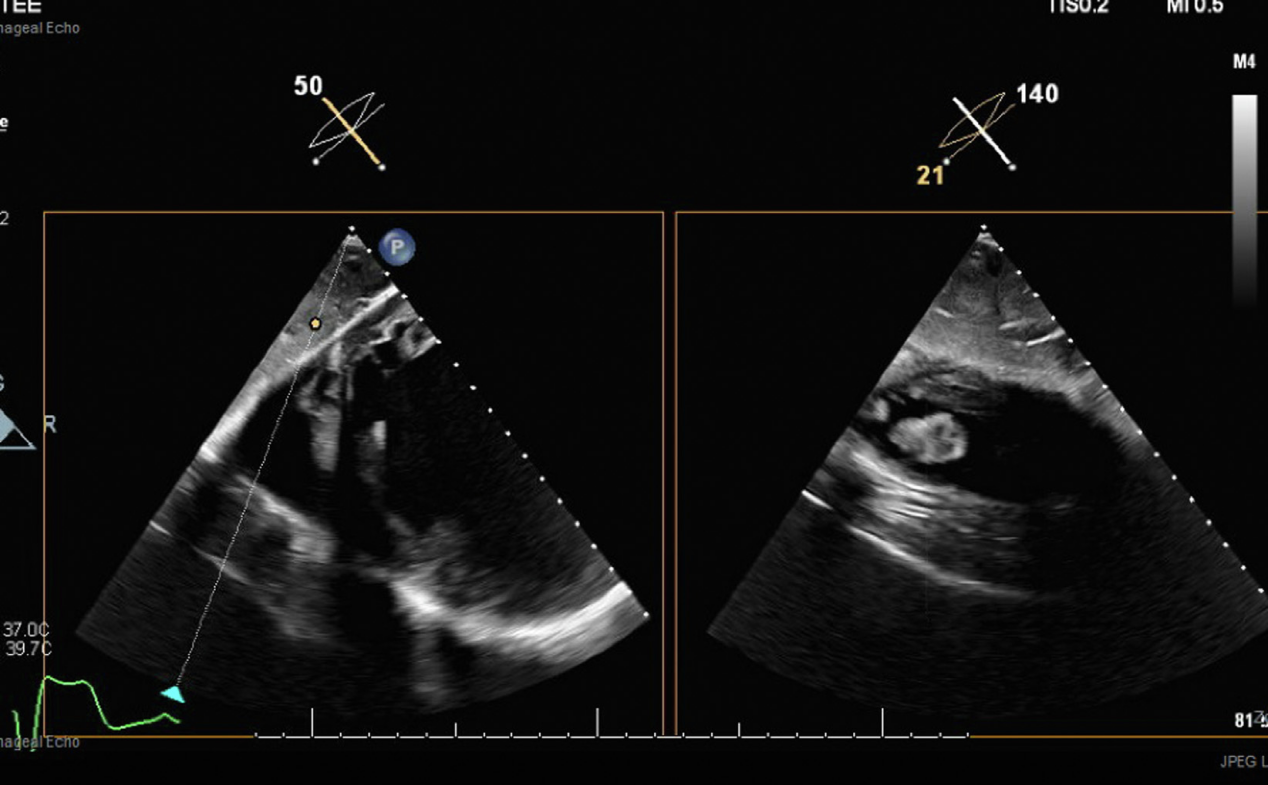
(TTE)检查显示射血分数(EF)<20%,但较之前相比无变化。未见Fontan梗阻或渗漏证据,且未观察到2个月前显影的心尖部血栓(图1)。双下肢超声未见深静脉血栓形成
证据。根据心电遥测监护,在此期间未出现房性心律失常。胸部X线片提示双侧肺水肿
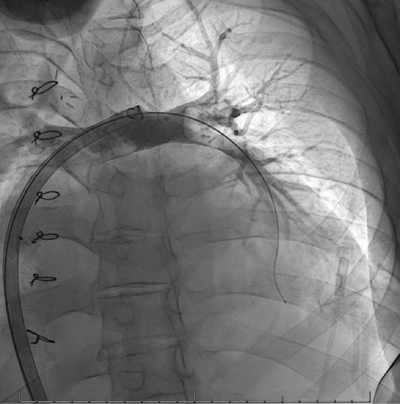
,故开始利尿治疗。在多日利尿治疗后,低氧血症仍未见改善,患者接受了右心导管检查(RHC)和Fontan血管造影
。RHC显示右侧充盈压升高。血管造影显示左肺动脉远端有较大血栓(图2)。

图1 经胸超声心动图示:入院前右心室血栓已消退
图2 右心导管检查显示:左肺动脉栓塞
第三幕:多学科会战,顺利破局
➤治疗经过
经过一系列排查,明确诊断为肺栓塞后,经多学科团队商定行血栓抽吸术。取栓术后血管造影检查显示血栓成功清除。术后肺动脉压力未立即下降,这可能与术中容量负荷和造影剂输注引起的短暂性压力升高有关,但血氧饱和度很快恢复并稳定在85%-90%的基线水平。至此,宣告这场战役取得阶段性胜利。
住院期间及出院后,患者均使用阿哌沙班进行抗凝治疗。
表1 术前患者病程时间线

讨论:多学科接力,破解Fontan术后血栓困局
患者出生时即患有右心室双出口、大型室间隔缺损、右心室发育不良伴非限制性肺血流。2月龄时进行肺动脉环缩术,以减轻循环超负荷及预防肺血管疾病进展。7岁时行双向Glenn手术,将上腔静脉直接连接到肺动脉循环。虽然该手术改善了动脉血氧饱和度,但下腔静脉-右心房血流仍然允许缺氧的血液进入体循环。12岁时,使用带有开窗结构的19 mm下腔静脉-肺动脉人工血管完成Fontan手术。该开窗设计可在一定程度上降低术后静脉压力,特别是对于肺动脉压力轻度升高的患者。尽管该技术并非适用于所有病例,但相关研究显示其应用可缩短术后住院时间,降低胸腔积液
发生率,并减少后续矫正手术需求。
该患者的治疗涉及多学科协作。初始治疗侧重于卒中后管理,包括神经内科、神经外科、重症监护和心内科多学科会诊。虽然患者入院后2天开始接受依诺肝素预防深静脉血栓形成,但由于其大面积卒中病灶合并少量点状出血,针对右心室血栓和推测的心源性栓塞性卒中(CES)的治疗性抗凝治疗需暂停2周。后续患者出现呼吸困难和低氧血症。根据体格检查、胸部X线和低射血分数病史,初始病因怀疑为失代偿性心力衰竭。经过数日的强化利尿治疗,但患者仍然存在低氧血症。医疗团队怀疑患者的持续性低氧血症可能与持续升高的充盈压相关,这种情况可能会增加通过Fontan开窗的右向左分流。为评估低氧血症的多种潜在病因并测量充盈压,行右心导管检查(RHC)和有创血管造影(表2)。
当发现左肺动脉主干存在大块栓塞后,由肺栓塞反应团队以及成人先天性心脏病学和介入/结构性心脏病学专业医生组成的多学科团队会诊认为,鉴于患者有低氧血症、血栓体积较大且位于肺动脉主干近端,应尝试行血栓抽吸术。术中使用大口径抽吸导管成功清除明显血栓。这一快速的多学科决策过程凸显了在具有复杂先天性心脏病管理经验的综合三级医疗中心实施诊疗的优势。
Fontan循环生理状态与血栓形成事件风险升高相关。关于Fontan循环中血栓栓塞发生率的评估存在较大差异,根据不同研究报告,其发生率在3% -20%之间。在临床观察中,这些事件与儿童患者25%和成人患者38%的高死亡率相关。患者凝血异常可直接归因于Fontan循环特有的生理和血流动力学改变。非搏动性血流、静脉淤滞加重、内皮功能障碍、房性心律失常发生率高、使用人工材料以及促凝血和抗凝血因子水平改变(继发于肝功能不全)等因素共同作用,导致此类患者出现高凝状态。
Fontan术后患者的抗凝治疗作用尚未明确,现行指南建议主要基于专家共识或小规模观察性研究。目前,针对血栓形成和血栓栓塞风险的常规筛查建议仅为定期进行经胸超声心动图检查以评估心内或Fontan循环路径的血栓形成。对于一级预防,通常推荐经验性使用阿司匹林
进行抗栓管理,目前该建议属于IIa类推荐。抗凝药物的使用可基于危险因素进行个体化决策,尚无统一适用策略。
美国心脏病学会(ACC)发表的治疗流程图提出了一个可行方案:建议所有Fontan术后患者均需采取某种形式的抗血栓预防措施,对特定患者则根据个体血栓形成风险启动抗凝治疗(图3)。该流程图建议:低危患者使用阿司匹林,高危患者使用维生素K
拮抗剂或直接口服抗凝药(治疗剂量),中危患者则可根据医生判断或患者意愿选择上述任一方案。其中,高危患者定义为近期发生血栓栓塞事件(如本例患者)或存在多重危险因素(如未控制的房性心律失常、既往血栓栓塞事件史)的群体;中危患者指存在单一危险因素者(如已控制的房性心律失常或进展性心力衰竭)。Fontan术后患者的抗栓管理仍需更多循证数据以建立更明确的临床指南、共识。

图3 根据个体血栓形成风险启动抗凝治疗
结语
本病例展示了Fontan术后人群中血栓栓塞管理的多学科诊疗模式。尽管目前针对这类患者的综合性抗栓治疗策略尚未形成统一标准,但基于解剖结构特征及相关合并症的风险分层管理具有重要临床价值。随着Fontan术后群体规模持续扩大,制定系统化的抗栓管理方案将成为临床工作的重点发展方向。
信源:
Pranav Bhargava, Ahmed Saleh, David Osula, et al. Complex Management of Thromboembolism in Double-Outlet Right Ventricle. JACC: Case Reports, 2025, 102964, ISSN 2666-0849, https://doi.org/10.1016/j.jaccas.2024.102964.