
病例大咖谈|付金栋教授:运用胆道镜发现回盲部及阑尾腔内多发无蒂锯齿状病变及相关内镜下治疗——内镜治疗经验分享
本文经付金栋教授授权发布,未经允许请勿转载。
为了帮助消化科医生拓宽临床视野,培养临床思维能力,医脉通消化科特
邀请国内多位知名消化领域专家团队共同打造“病例大咖谈”专栏。本专栏旨在汇集消化领域各专家团队多年临床实践中积累的“经典病例”,结合专家团队的深度解读,重点阐述疾病的诊疗思路和临床决策过程,为广大临床医生提供宝贵的参考。
本期“病例大咖谈”非常荣幸地邀请到了日照市人民医院付金栋教授团队,分享一例巧妙运用胆道镜发现累及回盲部及阑尾腔内的无蒂锯齿状病变(SSLs)及完整内镜下切除病变的案例,探讨其内镜诊疗策略。
病例资料
患者女性,54岁,既往体健,日常无明显身体不适,有结肠癌
家族史,进一步查体行结肠镜检查
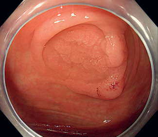
。肠镜检查结果:回盲部发现一处直径大小约2.0 cm侧向发育型肿瘤,邻近阑尾开口(图1)。进一步完善了腹部强化CT,腹部强化CT显示阑尾形态未见明显异常。

图1 结肠镜示回盲部2.0 cm侧向发育型肿瘤
在进行回盲部病变内镜黏膜下剥离术手术前,为进一步明确病变大小及范围,我们采用胆道镜进一步深入阑尾腔内检查阑尾(图2),阑尾腔内见两处粗糙颗粒状黏膜(图3),考虑病变累计阑尾管腔。

图2 胆道镜观察阑尾腔

图3 阑尾腔内粗糙颗粒状黏膜
为进一步完整切除病变,在获取患者知情同意后,行内镜下回盲部病变及阑尾切除术。具体操作过程如下:①回盲部病变切除:黏膜下注射后,采用GoldKnife行内镜黏膜下剥离术,完整切除回盲部病变。②阑尾切除:沿阑尾基底部行内镜下全层切除术切除阑尾口周围盲肠组织,采用IT刀与GoldKnife分离阑尾系膜,期间使用弹性橡皮圈将阑尾固定于肠壁,以辅助牵引,阑尾完全分离后,使用圈套器将其从肠腔中取出(图4)。充分止血后,采用StarClip闭合创面。

图4 切除的阑尾标本
术后组织病理学分析证实,回盲部及阑尾腔病变均符合无蒂锯齿状病变(SSLs),病理表现为锯齿状隐窝扭曲、隐窝深部锯齿状改变及隐窝基底部扩张(图5)。

图5 阑尾腔病变病理
术后患者禁食72小时,并给予抗生素预防感染治疗。患者术后出现轻微腹痛,无寒战发热
,查体无明显压痛及反跳痛
,后患者腹痛逐渐缓解,于术后3天开始恢复流质饮食,未见明显不适,考虑术后患者恢复良好,于术后5天出院。
病例小结
SSLs多位于右半结肠,亦可累及阑尾腔。此类病变若完全局限于阑尾腔内,常规结肠镜检查难以发现。胆道镜可深入阑尾腔内,可通过完整观察阑尾腔体形态有无异常进一步发现有无病变,明确病变位置及形态,进而通过内镜黏膜下剥离术(ESD)完整切除病变。本病例提示,当结肠回盲部发现SSLs时,应通过胆道镜进一步完善阑尾腔体的整体观察,不应局限于回盲部开口病变的观察,应警惕阑尾腔受累可能,避免漏诊及手术遗漏。
付金栋教授点评病例
通过使用胆道镜完整观察回盲部及阑尾腔多发无蒂锯齿状病变,进一步使用内镜黏膜下剥离术(ESD)切除病变的技术优势及创新性。
首先,利用胆道镜能清晰地观察到回盲部及阑尾腔多发无蒂锯齿样病变的具体位置、范围和形态,为内镜黏膜下剥离术(ESD)提供精准的定位 ,使得医生可以完整切除病变组织,最大程度保留正常组织,降低病变残留和复发风险。其次,相比传统开腹手术,内镜下操作仅通过人体自然腔道进行,体表无切口或仅有微小创口。这极大减少了对机体的损伤,患者术后疼痛
明显减轻,恢复速度加快,住院时间显著缩短,还能降低术后因创口引发的感染、粘连等并发症发生率 。减少因器官切除导致的远期消化功能紊乱等问题。
对于患者来说,胆道镜先完成病变的精准诊断,紧接着实施ESD切除病变,避免了患者辗转不同科室和检查治疗流程的繁琐,减少患者痛苦与经济负担,提高了诊疗效率。
在创新性上,该项技术的创新性也体现在将原本用于胆道系统检查的胆道镜应用于回盲部和阑尾病变的观察,结合常用于消化道病变切除的ESD技术,是不同内镜技术跨领域的创新性联合运用,打破了传统的一镜一用运用模式,一镜多用,多镜也可联合使用,不同内镜技术可以融汇贯通,取长补短,避免一镜到底的单一思维,为其他复杂部位病变的诊疗提供了新的技术组合思路。
传统上对于阑尾的此类复杂病变,多采取外科阑尾切除术。而本技术实现了在不开刀的前提下完整切除病变,开创了阑尾病变治疗的新模式,为阑尾疾病的治疗提供了一种更具保留价值的选择,丰富了阑尾疾病的诊疗手段。

付金栋 教授
日照市人民医院大内科主任兼消化内科主任,主任医师
山东省医学会消化病学分会委员
山东省医师协会消化内镜分会 常委
山东省医师协会消化介入分会 常委
山东省研究型医院协会消化病介入诊疗分会副主任委员
山东省公共卫生学会消化内镜分会副主任委员
山东省研究型医院协会消化内镜分会 常委
山东省转化医学学会肠道微生态消化病分会副主任委员
山东省医学会胆石病微创诊疗多学科联合委员会 委员
山东省抗癌协会肿瘤内镜分会委员
日照市医学会消化内科专业委员会 主任委员
山东省先进工作者、山东省优秀医师 记二等功、山东省五一劳动奖章、山东省第十二次党代会党代表、日照市突贡专家
参考文献:
1. Yao J, Liu K, Zhao G, Wang Z, Wang X, Fu J. Endoscopic management of multiple sessile serrated lesions in both the ileocecal region and the appendix cavity. Endoscopy. 2024 Dec;56(S 01):E841-E842. doi: 10.1055/a-2418-0499.