
易误诊为结直肠癌的异样的「血性息肉」,面具之下为何物?
医脉通编辑整理,未经授权请勿转载。
病历资料
患者男,64岁,因缺铁性贫血
而被转送至我院。患者有吸烟史,既往存在高血压
,糖尿病
,血脂异常
,非肝硬化
JAK2突变相关门静脉血栓
,门脉高压症和前列腺癌
。
体格检查无任何异常发现,实验室检查结果显示:
血红蛋白
:12.5g/dL(正常范围:13-17g/dL),平均红细胞比容
:62fL(正常范围:83-101fL),平均红细胞血红蛋:20.8pg(27-32pg)。
血小板和凝血曲线正常。
为了对贫血进行进一步评估,患者接受了结肠镜检查
,检查发现乙状结肠处存在一带蒂息肉,息肉蒂柄短而宽,息肉为微红色,呈分叶状,有白色沉积物附着,直径为14mm(图A)。

图A
该病变的正确诊断为?
答案揭秘
答:分叶状毛细血管瘤
(LCH)。
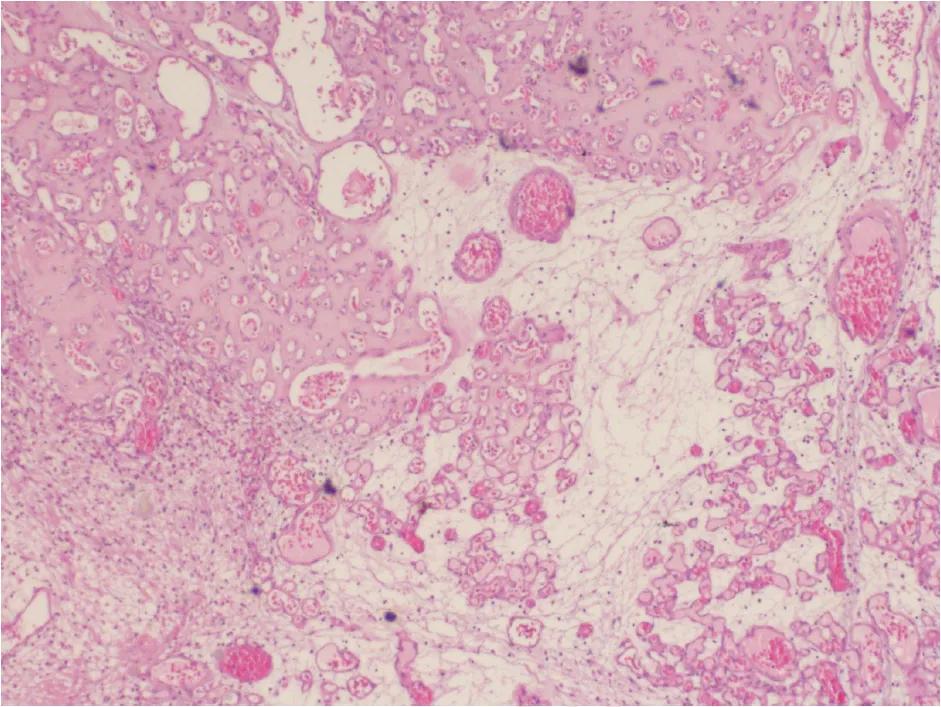
组织学检查提示大小不等的毛细血管小叶增生,周围间质水肿
并布满炎性细胞(图B,H&E,40x),与LCH的组织学特征一致。

图B
知识小课堂:分叶状毛细血管瘤
分叶状毛细血管瘤是什么?
分叶状毛细血管瘤(LCH),又称化脓性肉芽肿,是一种通常累及皮肤和黏膜表面(面部、口腔和手部),很少累及胃肠道的良性血管病变。
本病首先于1897年被描述。1904年Hartzell将其命名为化脓性肉芽肿,又称脓性肉芽肿、肉芽肿性血管瘤、毛细血管扩张性肉芽肿,并被认为是由葡萄球菌或其他化脓性菌引起的一种非特异性内芽组织反应。
1980年Mills等在复习73例发生于口腔和鼻腔黏膜化脓性肉芽肿的基础上,指出本病最且持征性的组织学表现为增生的毛细血管呈小叶状结构,建议将其命名为分叶状毛细血管瘤。
目前文献中已记载了至少70例胃肠道LCH的病例报告,此外,另一项对过去10年内消化道病理标本的单中心回顾又识别出了23例(大约每10000次内镜检查
能识别出1例)LCH,因此,很有可能该病的实际发病数比所记载的数据高得多,只是未得到诊断。
消化道LCH的发病机制尚不清楚,除了受到创伤和激素的影响外,另一个潜在的促发因素是门脉高压(该例患者符合情况),进一步促使静脉淤血和毛细血管逆行扩张所致。
LCH得以诊断的中位年龄为59-64岁,性别分布几乎不存在差异。消化道病变最常见的解剖位置是食管和乙状结肠。
LCH早期无明显症状,若该病显示出症状,则最常见贫血,偶见明显出血。若病变位于食管,晚期还可出现进食困难。
诊断
钡餐和内镜检查是本病有效而安全的冶断方法。
内镜下观察,分叶状毛细血管瘤多为蓝红色息肉状的隆起,具有不透明或者白色薄膜样的覆盖,隆起表面可见溃疡或糜烂,类似结肠癌
,易引起误诊。
超声内镜对病变范围与浸润深度检测有较大的帮助。
确诊需活检病理组织学检查,但如疑为血管瘤应避免活检,以免出血,可采用其他诊断方法,如CT、多普勒超声、放射性核素血管造影
等。
治疗
一般来说,LCH生长缓慢,直径小于20mm,并只累及粘膜,这使通过内镜下切除成为了可能。
由于其有潜在破裂出血的危险,治疗上多主张早期手术,其他治疗有注射硬化剂、套扎、电套圈切除等。需注意电凝套扎治疗时可能并发出血;若病变有蒂,与止血夹联台使用更安全。切除成功后较少复发。
正确诊断能带来的意义
虽然LCH相当少见,且无恶性的可能性,但是,正确的诊断对患者来说仍具有重大意义,比如,能避免其被误诊为恶性肿瘤从而使患者接受过度治疗。
参考文献:
[1] Garrido M, Lima O, Maia L, A bloody polyp in the sigmoid colon,Gastroenterology (2020), doi: https://doi.org/10.1053/j.gastro.2020.01.016.
[2] 姜宗丹,张振玉,徐兆军.分叶状毛细血管瘤一例.中华消化内镜杂志.2011 , ( 7 ) .DOl:10.3760/cma.j.issn.1007-5232.2011.07.024.