
32岁女性血压不高,但反复脑叶出血,原因为何?| 临床推理
近日,美国神经病学学会官方期刊Neurology杂志报道了一例32岁健康女性突发急性自发性脑叶出血的病例。本病例突出了对年轻脑出血
患者进行全面临床评估的重要性及诊断思路。
病例简介
32岁女性因急性右侧偏瘫和失语被送入急诊科。该患者是一名健康的教师,未服用任何处方药。患者曾在2岁时接受过神经外科手术切除视神经胶质瘤
,导致左眼失明,但除此以外没有神经系统后遗症。
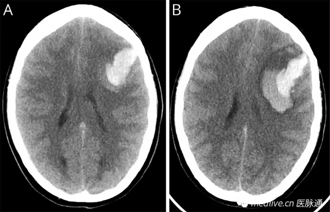
体格检查显示,患者清醒且反应良好。NIHSS评分为15分(因偏瘫和失语),格拉斯哥昏迷量表(GCS)评分为14分。血压在正常范围内。初始头部CT显示左额叶脑出血(ICH)(图1A)。

图1 头颅计算机断层扫描(CT)
患者开始呕吐
,意识水平迅速恶化至GCS评分12分。急性期CT扫描显示血肿扩大,血肿周围水肿
,中线移位增加(图1B)。随后进行了急诊开颅血肿清除术。
问题思考:
1.年轻患者脑出血的可能原因是什么?
2.哪些检查有助于确定出血的病因?
初步评估
非创伤性脑出血的鉴别诊断范围广泛,包括原发性病因(如高血压
引起的小血管疾病或脑淀粉样血管病
[CAA],尽管这名年轻女性不太可能出现这种情况)以及继发性原因,包括大血管病变(即脑动脉瘤
、动静脉畸形和脑海绵状血管瘤
)、脑肿瘤、凝血功能障碍、血管炎
、抗凝治疗和脑静脉血栓形成)。
对于这名32岁女性,既往在同一区域有良性脑肿瘤病史且无高血压病史,需要进一步检查。初步评估应包括CT血管造影
,以评估可能影响急性治疗的任何血管畸形。随后,MRI可用于评估脑恶性肿瘤或其他结构性异常。
实验室血液检查
(包括血细胞计数、炎症参数和凝血标志物)未见异常。入院时血压正常,无其他高血压疾病迹象(如超声心动图
正常)。无头痛
、视力
改变或其他可能提示脑静脉血栓形成的神经系统前驱症状。入院次日进行的脑部钆增强MRI和MR血管造影未显示潜在脑肿瘤或血管畸形。
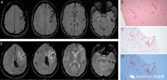
血肿清除后进行的MRI血敏感序列显示双侧脑均有多处严格意义上的脑叶微出血,提示为CAA(图2A)。血肿清除过程中进行的脑活检证实了CAA诊断,显示脑血管中存在淀粉样蛋白β沉积(图2B-D)。

图2 头颅MRI及脑活检组织学染色
(A) 血肿清除后进行的MRI磁敏感加权成像(SWI)序列显示多发脑叶微出血,提示CAA,左额叶因出血而出现含铁血黄素沉积。(B-D) 脑活检代表性皮质切片的组织化学染色;苏木精-伊红(HE)染色显示血管增厚和血管周围出血(B),×100放大;刚果红阳性血管(C)及偏振光下呈苹果绿双折射(D)显示淀粉样蛋白β沉积,×200放大;(E) 随访MRI梯度回波T2*加权成像显示疾病进展,微出血数量增加,皮质表面铁沉积及左侧额叶新发脑出血。
思考问题:
1.CAA的诊断标准是什么?
2.早发性CAA的潜在原因有哪些?
3.评估该病病因应进行哪些诊断性检查?
诊断性检查
大多数脑淀粉样血管病(CAA)病例为散发性(sCAA),年龄是其最主要的危险因素,sCAA是老年人脑叶出血的重要原因,极少在55岁前发病。载脂蛋白E(ApoE)基因有3种等位基因变体:ɛ2、ɛ3(最常见)和ɛ4。ApoEɛ2和ɛ4等位基因是sCAA的已知遗传风险因素,并且都与早期出现ICH(ApoEɛ2和ɛ4患者平均年龄73岁,ApoEɛ3患者平均年龄78岁)、血肿扩大风险更高、临床结局更差,以及出血复发风险更高相关。
55岁前发病的CAA被认为是早发性。早发性CAA患者应考虑非散发性原因,包括罕见的单基因病因及其他不常见原因(如炎症性CAA和医源性CAA[iCAA])。
患者的MRI未显示白质异常,提示炎症性CAA不是出血原因。患者无神经系统疾病(包括卒中和痴呆)家族史,也无来自家族性单基因CAA报告国家的亲属。她接受了全外显子测序基因检测,未发现与遗传性CAA或痴呆相关的基因变异(包括APP、PSEN1、PSEN2、CST3和ITM2B)。检测发现其为ApoEɛ4纯合子。
由于患者在脑出血事件30年前曾接受良性脑肿瘤切除手术,怀疑iCAA,因此调取了包括手术记录在内的既往病历。记录显示,手术中使用Lyodura移植物修复硬脑膜缺损。Lyodura是一种冻干、辐照的尸源性硬脑膜,用于神经外科手术,直至20世纪90年代中期因与克雅病
相关而被停用。Lyodura后来被发现与iCAA相关。
患者病情逐渐好转,经过数月的住院康复后出院回家。然而,ICH复发是CAA的已知并发症,不幸的是,在接下来的几年中,患者又发生了两次脑叶出血:一次在初次出血5年后,另一次在一年半后。首次出血8年后的随访显示,她仍有右侧轻偏瘫、认知后遗症及易疲劳,但能行走并完成家务和照顾孩子。
2023年12月的最新MRI显示疾病进展,脑微出血数量增加,双侧半球出现皮质表面铁沉积(图2E)。
讨论
本文报告了一例32岁女性因童年暴露于Lyodura移植物导致iCAA引发脑出血的病例。iCAA被认为是一种朊病毒病,淀粉样蛋白β在神经外科手术中使用尸源材料(如Lyodura或人类生长激素
)或通过污染的手术器械传播。病例通常在暴露后3至4年发病,最常见表现为脑叶出血,但也有以癫痫
和认知障碍
为首发表现的报道。
iCAA罕见且发病早;最近一项研究显示,其平均发病年龄为43岁,显著低于sCAA。由于病例数量有限,对iCAA的预后和管理的了解仍不足。抗淀粉样蛋白β抗体治疗(部分已获FDA批准用于阿尔茨海默病
治疗)与CAA患者不良事件(ARIA;淀粉样蛋白相关影像异常)风险增加相关,包括出血事件。因此,不推荐使用抗淀粉样蛋白疗法治疗CAA。
最近提出了iCAA的诊断标准以帮助识别这一罕见CAA亚型。本病例的评估和分类遵循了iCAA的诊断标准:
1.发病年龄早(小于55岁)。
2.有潜在暴露史。
3.临床和影像学特征符合CAA诊断。
4.脑活检显示中枢神经系统淀粉样蛋白β沉积。
5.排除淀粉样蛋白β中枢神经系统疾病的遗传原因。
在评估中,本病例被发现为ApoEɛ4纯合子。ApoEɛ4/ɛ4基因型不太可能在32岁时导致sCAA的临床表现。然而,由于ApoEɛ4等位基因与CAA严重程度及ICH复发高风险相关,推测本病例中Lyodura移植物暴露与遗传易感性的双重病理可能具有协同效应,导致非常早发的CAA和多次复发性出血事件。
本病例让我们深入了解了iCAA的罕见表现,并强调了对患有ICH和CAA的年轻患者进行全面临床评估的重要性。随着历史上尸源性人类组织在神经外科中的使用,更多此类罕见病例可能会出现。对于早发性CAA且没有家族或遗传倾向的患者,iCAA是一种重要的诊断考虑因素。
医脉通编译自:Hindsholm MF, Gaist D, Ulhøi BP, Simonsen CZ. Clinical Reasoning: A 32-Year-Old Woman With Recurrent Intracerebral Hemorrhages. Neurology. 2025 Mar 11;104(5):e213422.