
十二指肠隆起性病变:警惕这个隐匿病因
医脉通编辑整理,未经授权请勿转载。
病例资料
患者,男性,51岁,主诉十二指肠降部出现隆起性病变,该病变在过去4年间形态逐渐发生变化。
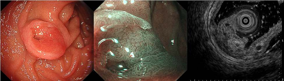
食管胃十二指肠镜:病变呈黏膜下肿瘤(SMT)样形态,表面可见浅红色假性凹陷及中央深凹陷。窄带成像:病变区域呈现类似胃黏膜的环形腺管开口,但未见异常微表面或微血管结构。超声内镜:未见肿瘤侵及黏膜下层(图A)。

图A
活检未发现癌细胞,但因病变持续增大且不能排除恶性可能,行内镜黏膜下剥离术(ESD)将病变完整切除(图B)。

图B
组织学检查:凹陷深部可见不规则腺管密集增生,伴核异型及结构异型,符合高分化腺癌(Depth M,Ly0,V0,pVM0,pHM0)(图C),周围为胃上皮。

图C
免疫组化分析:Ki-67阳性细胞从深层向浅层分布,MUC5AC(+),MUC6(-)(图D)。

图D
最终诊断为起源于异位胃黏膜的腺癌。
在此病例中,该癌变位于无明显恶性表面特征的病变内。对于形态不规则或逐渐增大的十二指肠SMT样病变,需谨慎处理。
参考文献:
1. Tomida H, Taniwaki M, Hiasa Y, Covert Ectopic Gastric Cancer in the Duodenum, Clinical Gastroenterology and Hepatology (2025), doi: https://doi.org/10.1016/j.cgh.2025.01.039.