
右侧股骨上段肌间隙内冬眠瘤1例
作者:贾斯齐,陕西省人民医院磁共振室;齐先龙,济宁市第一人民医院磁共振室
1. 病例简介
男,57岁,主诉:4个月前查体发现右侧髂腰肌及邻近肌间隙占位,无明显不适,肿物生长缓慢,呈逐渐增大趋势。体格检查:髋关节屈伸无明显受限,右侧髂腰肌下段内可触及一包块,无明显压痛,与周围组织界限清楚,浅表无静脉怒张,局部皮温不高,右下肢感觉肌力正常。MRI检查(图1A~D)提示脂肪肉瘤
可能。CT(图1E)提示含脂类肿瘤。
术中见右侧股骨上段前方肌间隙内肿物,大小约7.0 cm×5.5 cm×3.5 cm,表面呈灰红灰黄色,部分切面淡黄,部分切面灰黄;肿物周围附包膜,包膜完整,与周围组织界限不清。病理见图1F。免疫组化:S-100(+)、CD34(血管+)。最终诊断为冬眠瘤。


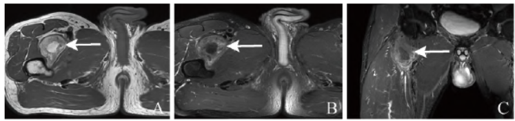
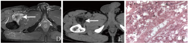
图1 男,57岁,右侧股骨上段肌间隙内冬眠瘤。轴位T1WI见右侧股骨上段前方肌间隙内团状高或稍低信号(箭,A),大小约7.7 cm×4.6 cm×4.7 cm,边界欠清,邻近肌肉软组织呈受压、移位改变,双侧股骨形态、信号未见明显异常;轴位T2WI脂肪抑制见病灶呈不均匀低信号(箭,B);冠状位T2WI见病灶信号呈类圆形(箭,C);增强扫描呈不均匀强化(箭,D);CT平扫
示右侧股骨前缘见团状脂肪密度影,其内密度不均,形态欠规整,CT值约为-8~61 Hu(箭,E);显微镜下见圆形、多角形细胞团,部分胞质内见嗜酸性颗粒及小脂滴,细胞核小而居中(HE,×100,F)
2. 讨论
冬眠瘤是一种罕见的良性脂肪瘤,约占所有脂肪细胞肿瘤的1.1%。通常发生在棕色脂肪残余的部位,因棕色脂肪在成人体内分布极少,大多存在于新生儿及冬眠动物体内,故被命名为冬眠瘤。其最常见的临床表现是慢性生长无痛性肿块,除非压迫邻近结构,否则可能无症状,本例患者无明显不适。
脂肪瘤样型冬眠瘤病例在国内外均较少见,MRI可有效地提示肿瘤的成分和血供情况,具有良好的临床应用价值。结合既往Myslicki等报道,脂肪瘤样型冬眠瘤在T1WI上通常表现为低于皮下脂肪而高于骨骼肌的信号强度,而在T2WI上表现为脂肪信号(等或稍高信号),且能够看到流空的血管,在压脂序列上的信号略高于正常脂肪或脂肪瘤。本例MRI表现与之相符,增强扫描呈不均匀强化。
冬眠瘤病理特征显著,但应注意与以下肿瘤相鉴别:①非脂肪瘤样冬眠瘤:在T1WI上表现为皮下脂肪明显间隔突出的不均匀信号,血管走行明显,而本例脂肪瘤样冬眠瘤T1WI示皮下脂肪呈均质或稍不均匀信号,血管壁薄;②黏液样脂肪肉瘤:影像学特征与其分化程度、黏液基质及脂肪含量有关,T1WI上呈低或稍低信号,常规T2WI及脂肪抑制T2WI上多呈高信号,病理形态与冬眠瘤细胞相似,但脂肪肉瘤主要由分化程度不一的异型脂肪母细胞组成,内含丰富的黏液样基质,而本病例未见明显细胞异型表现。
冬眠瘤的临床表现和影像学检查缺乏特异性,病理诊断为金标准,治疗首选手术切除。CT和MRI可评估肿瘤的大小、位置、与周围组织的关系,68GadotatatePET/CT分期也为鉴别冬眠瘤与其他恶性肿瘤提供了一种新选择。多数文献报道本病预后极好,本例患者随访至2023年6月,尚未出现复发情况。
来源:贾斯齐,齐先龙.右侧股骨上段肌间隙内冬眠瘤1例[J].中国医学影像学杂志,2025,33(04):414-415.