
成人型左冠状动脉异位起源于肺动脉综合征CT表现一例
作者:雷丰,李瑞,乔苗苗,兰州大学第一临床医学院;郭顺林,兰州大学第一医院放射科
左冠状动脉异位起源于肺动脉(anomalous left coronary artery from the pulmonary artery, ALCAPA)综合征是一种相对罕见的冠状动脉起源异常,以左冠状动脉起源于肺动脉为主要特征,分为婴儿型和成人型,成人型临床表现多样,易漏诊。现报道一例左冠状动脉异常起源于主肺动脉,合并左心功能不全为主要症状的成人型ALCAPA 综合征,并结合文献回顾,加强对其影像表现的认识。
1. 病例资料
患者,女,27 岁,间断胸闷气短半年,加重1 周。查体:心前区明显隆起,伴有抬举样搏动,心界向左下延伸,心律齐,心率98 次/分,二尖瓣听诊区可闻及收缩期杂音,主动脉瓣区可闻及舒张期杂音,未闻及心包摩擦音。心电图
显示窦性心律,电轴正常,见异常ST-T 改变。血N 末端B 型利钠肽原(N-terminal pro-B-type natriuretic peptide,NT-proBNP):2107 pg/mL。
超声心动图
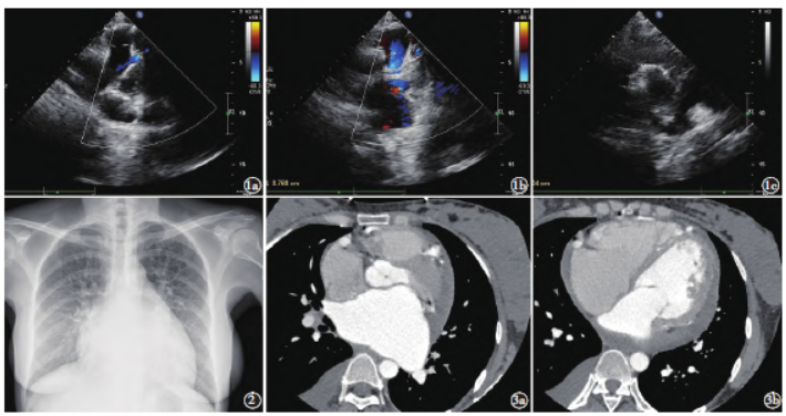
提示:肺动脉瓣上10 mm 处可见异常管状开口,开口内径7 mm,探及向肺动脉内连续异常分流,流速约103 cm/s;右冠状动脉开口位置正常,近段扩张,内径约10 mm,左冠状动脉开口未探及;二尖瓣及三尖瓣中度关闭不全;左心扩大;心包少量积液;肺动脉高压
(图1)。
胸部正位片示:心影增大,肺门部血管充血改变(图2)。冠状动脉CT 血管造影
(CT angiography,CTA):心脏增大
;左冠状动脉与主肺动脉相通,左前降支及右冠状动脉扩张
增粗;左、右冠状动脉间见多发侧支血管交通。诊断上符合ALCAPA 综合征(图3、4)。
本例术前临床诊断为冠状动脉起源异常、二尖瓣关闭不全
。鉴于该患者左心功能不全并逐渐加重,同时继发二尖瓣关闭不全,另外该病有猝死的风险,故应尽早施行矫正手术,纠正异常起源。手术:患者行食道超声监测下冠状动脉畸形矫正及二尖瓣成形术。
术中探查发现左冠状动脉主干起源自肺动脉外侧窦,有侧支循环形成;同时发现二尖瓣环扩大伴大量反流。遂在体外循环下将左侧冠状动脉主干开口从肺动脉切除,并吻合至升主动脉。术后2 个月复查冠状动脉CTA 示,左冠状动脉开口于升主动脉,开口处未见狭窄;左、右冠状动脉间侧支血管较术前明显减少、血管变细(图5)。

图1 a)、b)超声心动图肺动脉长轴切面显示肺动脉瓣上10 mm 处见内径约7 mm 的异常管状开口。彩色多普勒示向肺内的连续分流信号;c)超声心动图主动脉根部短轴切面示右冠状动脉增粗,内径约10 mm。图2 胸部正位片示心影增大,双侧肺门充血改变。图3a)、b)轴位冠状动脉CTA示心腔增大。

图4 a)~c)冠状动脉CTA 容积再现(volume rendering,VR)图及d)最大密度投影(maximum intensity projection,MIP)图示左冠状动脉(left coronary artery,LCA)异位起源于肺动脉(pulmonary artery,PA),右冠状动脉(right coronary artery,RCA)起源于主动脉(aorta,AO),左、右冠状动脉增粗、迂曲,二者间多发侧支血管形成。图5 a)、b)术后冠状动脉CTA 重建VR 图及c)、d)MIP 图示左冠状动脉(LCA)开口于主动脉(AO),左、右冠状动脉间侧支血管减少。
2. 讨论
左冠状动脉异位起源于肺动脉(ALCAPA)综合征,也称为Bland-White-Garland 综合征,由Blend、White 和Garland于1933 年首次描述, 是一种罕见的先天性冠状动脉起源异常,发病率约1/300000 ,占先天性心脏病
的0.25%~0.5%。其本质为异常起源的左冠状动脉导致的心肌供血、供氧失衡,从而引起一系列缺血性心脏病改变。根据左、右冠状动脉之间是否形成足够的侧支循环将ALCAPA患者分为婴儿型和成人型。
婴儿型的特点为左、右冠状动脉间侧支血流很少或没有。在出生后最初几个月,由于肺循环的建立,肺血管阻力和压力的逐渐降低,若此时没有侧支血管形成,随着动脉导管的关闭,肺动脉压明显下降,左冠状动脉将出现严重供血不足,发生缺血缺氧、左心室功能减退和心力衰竭
,婴儿会出现扩张型心肌病
的临床表现。据报道患儿在出生后12 个月内会因严重的心力衰竭和心肌梗死
而死亡,病死率高达90%。
成人型表现为左、右冠状动脉间建立了丰富的侧支循环, 这可能是在肺动脉阻力缓慢下降的关键时期形成。来自右冠状动脉丰富的侧支血管代偿左冠状动脉的供血不足,可减少或消除缺血、左心室运动功能减退的发展。然而,由于肺动脉压较小,左冠状动脉的高压血液部分流入肺动脉,产生“窃血现象”,这种长期的左向右分流和窃血综合征与侧支循环的代偿作用相互影响,将导致左心处于不同程度的慢性缺血状态。
成人型ALCAPA 综合征的临床表现与长期的慢性心肌缺血相关。慢性心肌缺血可导致左心室心内膜下心肌纤维化,继发左心扩大、二尖瓣关闭不全、室间隔肥厚等,临床上可表现为劳力性心绞痛
,也可表现为中至重度的充血性心力衰竭,甚至是恶性心律失常
和心源性猝死
。有研究表明, 即使无任何临床症状, 约90%的成人型ALCAPA 综合征患者会在35~40 岁期间发生猝死。及时的诊断和外科干预对于成人型ALPACA 综合征患者来说非常关键。
超声心动图是诊断成人型ALCAPA 综合征的主要方法。其征象包括:左心室长轴切面显示右冠状动脉明显增宽、迂曲,左冠状动脉窦未见正常左冠状动脉开口,而在肺动脉主干见左冠状动脉开口;彩色多普勒示肺动脉长轴切面见异常管腔开口于肺动脉根部,见肺动脉根部异常逆行入肺动脉的左冠状动脉血流信号。
通过三维成像技术,冠状动脉CTA 能清晰展现血管的起源、走行、分布异常及其在形态学上的微小差异,目前已成为首选的非侵入性冠状动脉检查。有研究通过分析27例ALCAPA 综合征患者并总结其冠状动脉CTA 表现,观察到左冠状动脉直接起源于肺动脉,通常位于肺动脉左后窦;在成人型中,由于侧支循环丰富,大量高速血流通过右冠状动脉致其代偿性扩张迂曲,左冠状动脉因持续的左向右分流而增粗。
本例患者CTA 检查表现与文献相符。另外,心脏磁共振(cardiac magnetic resonance,CMR)也是一个重要的诊断工具, 其除了可获得与CTA 相似的诊断证据外,还可以评估二尖瓣的功能,而且通过延迟后的钆增强扫描可能有助于判断心肌的活性。目前针对ALCAPA 综合征的治疗首选外科手术治疗,其治疗目标为恢复双冠状动脉系统的心肌灌注,并确保矫正后的冠状动脉长期通畅。
ALCAPA 的外科矫正方法包括结扎异常冠状动脉、结扎加冠状动脉旁路移植术、肺动脉内隧道(Takeuchi 手术)、冠状动脉再植等。总的来说,对于ALCAPA 综合征,早期且准确的诊断对于制定和实施最佳外科治疗方案至关重要,虽然其临床表现多种多样,但在影像学上却有着明显的特征。
来源:雷丰,李瑞,乔苗苗,等.成人型左冠状动脉异位起源于肺动脉综合征CT表现一例[J].影像诊断与介入放射学,2025,34(01):56-58.