
口腔颌面部NTRK重排梭形细胞肿瘤1例报告及文献复习
作者王玉
良,滨州医学院烟台附属医院;孙钰程,曹璋,李建
卫,王文龙,滨州医学院附属医院
神经营养因子受体络氨酸基酶重排梭形细胞肿瘤(NTRK-rearranged spindle cell tumor)是一种新型罕见软组织肿瘤
,2023 年3 月我院收治了1 例发生于左侧颊部的NTRK 重排梭形细胞肿瘤,报告如下。
1.病例报告
1.1 一般情况
患者女性,36 岁,2021 年因左侧面部痤疮
感染于外院行切开引流术,术后左侧面部切开部位再次肿胀并缓慢增大,后未行特殊治疗。2023 年3 月,患者为求进一步治疗来我院就诊,门诊以“左面部肿物”收患者入院。
1.2 既往史
患者无系统性疾病史及药物过敏
史,无外伤史。无工业毒物、粉尘及放射性物质接触史,无吸烟及饮酒嗜好。无遗传病及传染病史。发病以来,肿物无快速增长史,无疼痛及面神经麻痹史。
1.3 专科检查
患者左侧颊部可见一大小约4 cm×5 cm 肿物(图1),质韧,表面皮肤色泽偏红,边界不清晰,活动度尚可,无明显压痛,肿物中央可见0.5 cm×0.5 cm圆形瘢痕,无麻木及面神经损伤等表现。双侧颌下及颈部未触及明显肿大淋巴结。

图1 肿物外观。A. 肿物正面观;B. 肿物侧面观;C. 肿物斜面观。
1.4 辅助检查
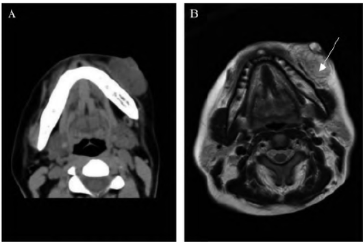
术前颌面部CT 平扫示:左侧颌面部皮下可见团块状软组织密度影,边界尚清晰,邻近皮肤脂肪层浸润(图2A)。颌面部增强磁共振成像
(magnetic resonance image,MRI)示:左侧颌面部皮下异常强化灶,考虑血供占位性病变,低度恶性病变待排除(图2B)。

图2 术前影像学检查。A. 颌面部平扫CT 图像;B. 颌面部增强MRI 图像,箭头示病变处。
2.诊疗过程
2023 年3 月,完善术前检查,排除手术禁忌证,患者于全身麻醉下行“左侧颊部肿物切除术”。手术沿肿物中央圆形瘢痕周围2 mm 做一梭形切口,见皮下脂肪缺失,可见大量黏液,肿物位于皮下,与周围组织粘连较重( 图3A ),局部包膜不完整,血运丰富,深处与颊肌粘连明显。钝锐性分离肿物,完整摘除肿物及部分颊肌,见肿物呈灰白色结节样,表面含大量黏液,剖面为鱼肉状,质地较脆( 图3B )。
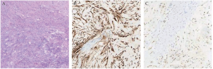
术后7 d 拆除缝线前查体( 图3C ):左侧面部术区未扪及明显异常肿块。术后常规病理( 图4A )示:(左侧面部)梭形细胞肿瘤,间质广泛黏液样变,瘤细胞稀疏,异型性不显著,核分裂象不易见,瘤组织结节状浸润。免疫组织化学检测结果( 图4B、4C ):CK(-)、Vimentin(+)、CD31(-)、CD34(+)、S-100(+)、P16(-)、SMA(-)、Calponin(-)、Myosin heavy(-)、CK8(-)、ERG(-)、CK7(-)、CK5/6(-)、ER(-)、Ki-67(约10% +)。建议完善分子检测,进一步明确分型诊断。

图3 术中照片、肿瘤标本及术后照片。A. 术中创面;B. 肿瘤标本;C. 术后7 d 时的创口。

图4 病理和免疫组织化学染色图(×100)。A. 苏木精-伊红(hematoxylin and eosin,HE)染色;B. CD34(+);C. S-100(+)。
2023 年4 月,患者为进一步明确诊断,先后就诊于北京协和医院
及北京大学口腔医院。北京协和医院检查结果提示左侧面部梭形细胞瘤,不排除上皮-肌上皮癌(epithelial-myoepithelial carcinoma,EMC),建议补充分子检测,但患者未作进一步检查。北京大学口腔医院荧光原位杂交(fluorescencein situ hybridization,FISH)检测到约15%NTRK3 基因断裂,不能完全排除NTRK 重排梭形细胞肿瘤,免疫组织化学检测结果:Brachyury( -)、EMA(部分+)、STAT6(+)、INI-1(+)、ALK(+/-)、BRAF(部分+)。
2023 年5 月再次就诊于北京协和医院,免疫组织化学检测结果:NTRK(+),结合综合形态、免疫组织化学检测结果及北京大学口腔医院多项FISH结果,考虑为NTRK 重排梭形细胞肿瘤。2023 年6 月于我院复查,患者自述术后未出现面神经损伤症状,因此未接受其他治疗;左侧面部术区可扪及一大小约1.0 cm×0.5 cm 肿块( 图5A ),复查颌面部增强MRI 示:左侧颌面部术后,术区多发小斑片强化影( 图5B —5D)。患者未行特殊治疗,回家继续观察。

图5 复查面部照片及影像学检查结果。A. 术后3 个月左侧面部术后照;B. 横断位;C. 冠状位;D. 矢状位。箭头示病变处。
来源:孙钰程,曹璋,李建卫,等.口腔颌面部NTRK重排梭形细胞肿瘤1例报告及文献复习[J].口腔颌面外科杂志,2025,35(02):153-156.