
正畸治疗中前牙牙槽骨唇侧骨性凸起1例
作者:周伟
,汤雅,肖健
平,郝静
,谭葆春,南京大学医学院附属口腔医院
在正畸治疗过程中,牙齿的移动会触发邻近牙周组织的主动重塑过程,以响应正畸力的负荷。通常以压力侧牙槽骨吸收,张力
侧骨再生的原理完成生物学改建。正常情况下,牙周软硬组织的轮廓和厚度保持相对稳定。然而正畸治疗过程中也可能伴随一些并发症,包括但不限于牙龈退缩、根尖吸收以及牙槽骨吸收等。本文报道1 例在正畸治疗期间前牙唇侧牙槽骨骨异常凸起并行手术治疗的病例,查阅文献分析其形成机制及影响因素,为临床医生提供参考。
1. 一般资料
患者,女,17 岁。主诉:上前牙唇侧牙龈增生数月。现病史:患者3 年前于正畸科行正畸治疗,3 个月前拆除上颌固定矫治器,牙龈增生未见明显好转,正畸科转诊至牙周病
科要求治疗。既往史:否认系统性疾病及过敏史,否认家族病史,否认传染病史,否认上前牙外伤史,无吸烟史。
2. 口内检查及影像学检查
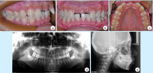
2.1 正畸治疗前(2016 年)
口内检查示:口腔卫生条件尚可,牙列式17⁃12,22⁃27,38⁃35,33⁃43,45⁃48,11、21 缺失,双侧磨牙中性关系,深覆盖,31、41牙间隙约2 mm,牙龈色形质良好(图1a~1c)。全景曲面断层片及头颅侧位片示:11、21 缺失,深覆,上前牙区牙槽骨高度未见明显异常(图1d、1e)。

图1 正畸治疗前患者口内照、全景曲面断层片及头颅侧位片(2016年)
2.2 正畸治疗中(2017 年)
口内检查示:34、44已拔除,近中移动12、22 关闭前牙间隙,内收上下前牙,正面及侧面观,缺牙区龈乳头高度、牙槽间隔高度及宽度未见明显改变(图2a~2c)。
2.3 正畸治疗中(2018 年)
口内检查示:12、22间间隙明显缩小,正面观:上前牙区牙龈垂直向增生覆盖牙面,12、22 临床牙冠变短;腭侧观:12、22腭侧牙龈增生,覆盖12、22舌隆突以上;侧面观:上前牙区牙龈唇腭向增生明显(图2d~2f)。全景曲面断层片示:11、21缺失,12、22近中牙槽骨垂直向明显增生位于牙冠约1/2处(图2g)。
2.4 正畸治疗中(2019 年)
口内检查示:上颌矫治器已拆除,12、22牙间隙未完全关闭,12、22间唇腭侧牙龈及牙槽骨增生明显,缺牙区牙槽骨膨隆,12、22牙龈增生覆盖牙面1/2,色粉红,质地韧。侧面观上前牙区牙龈唇腭向膨隆较前明显(图2h~2j)。全景曲面断层片示:11、21 缺失,12、22 近中牙槽骨垂直向增生较2018 年进一步加剧,充满邻间隙(图2k)。

图2 正畸治疗中患者12、22间唇侧骨性凸起逐渐形成过程的口内照及全景曲面断层片
3. 诊断
11、21牙槽骨唇侧骨凸;11、21牙龈肥大。
4. 治疗及结果
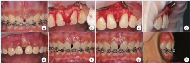
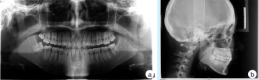
牙周基础治疗后行牙周骨成形术及牙龈成形术。术后2 周及2 个月复查无不适,12、22 牙龈色形质良好,形态正常,唇侧牙槽骨基本正常(图3)。术后半年复查显示12、22 间牙龈及牙槽骨形态稳定,未见增生复发(图4)。

图3 正畸治疗致12、22间唇侧骨性凸起采用牙周骨成形术及牙龈成形术治疗

图4 正畸治疗致12、22间唇侧骨性凸起牙周手术后半年全景曲面断层片及头颅侧位片
来源:周伟,汤雅,肖健平,等.正畸治疗中前牙牙槽骨唇侧骨性凸起1例报道及文献回顾[J].口腔疾病防治,2025,33(05):393-400.