
多学科诊疗协作下巨大股前外侧皮瓣修复颊部鳞状细胞癌复发1例
作者:向峰,康霄,鲁立光,伍栋,湘雅常德医院口腔科
口腔癌
是头颈部最常见的恶性肿瘤之一,位列全身恶性肿瘤发病率的第9 位,发病人数约占全身恶性肿瘤总人数的2.8%。目前多学科诊疗(MDT)模式越来越多地应用于局部晚期或者复发的口腔癌治疗中。依据英国卫生部的界定,MDT 模式为来自不同学科的专业人员组成的相对固定的团队,在预定的时间、地点或通过远程视频进行会议的形式,各学科成员共同研讨患者病情,旨在为患者提供“个性化”“精准化”的综合治疗服务。本文报道1 例晚期颊部鳞状细胞癌
复发病例的MDT 诊疗过程,旨在为临床实践提供参考。
1. 一般资料
患者男性,57 岁,以左颊部鳞状细胞癌术后1 年余,复发3 个月,化疗术后10 d 入院。
2.专科检查
患者左侧面颊部明显膨隆,左侧面颊部可见一大小约2.0 cm×2.5 cm 圆形破溃肿物,表面皮肤破溃,伴脓液流出,周围皮肤组织红肿,质地硬,边界不清(图1)。
左眼闭合全,左鼻唇沟变浅,左口角向下歪斜,不能完全闭合,鼓气左口角漏气。开口度约1 指半,开口型右偏。口内见:左颊部皮瓣存在,皮瓣上缘前庭沟处可见一菜花样伴溃烂肿物,大小约3.0 cm×4.0 cm;上界累及左侧上颌骨牙龈及部分硬腭组织,下界至皮瓣上份,前界距口角1.0 cm,后界至翼下颌韧带,左侧上、下颌牙列缺损,口腔卫生差。左侧颏唇沟处、颌下及颈部可见原手术瘢痕。颏下及双侧颌下、颈部未触及明显肿大淋巴结。

图1 手术颌面部照片
3. 影像学检查
颌面部及颈部磁共振成像
(magnetic resonance imaging,MRI)和CT(图2、3)示:左侧颊癌术后改变,左侧颊部术区新见一大小约5.2 cm×5.1 cm 肿块,考虑颊癌复发。

图2 口腔、颈部MRI 平扫及增强扫描图像。A. 冠状位MRI 示患者术区新发肿块大小约5.4 cm×3.9 cm,病变增强呈不均匀明显强化,中心可见无强化区(红色箭头所指);B. 矢状位MRI 示患者术区新发肿块向上突入上颌窦窦腔内,邻近左侧眶底(红色箭头所指);C. 横断位MRI 示患者术区新发肿块向内与舌体分界不清,向外侵及皮肤(红色箭头所指)。

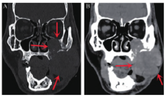
图3 CT 颌面部平扫增强三维成像。A. 冠状位CT 骨窗示患者术区新发肿块大小约5.2 cm×5.1 cm,向上累及上颌窦壁并突入上颌窦窦腔内,与邻近上颌骨及上牙槽分界不清,部分眶壁受累(红色箭头所指);B. 冠状位CT 软组织窗示患者术区新发肿块向内与舌体分界不清,向外与左侧咬肌分界不清,侵及皮肤(红色箭头所指)。
4. 治疗方案
我院口腔-头颈肿瘤MDT 会诊制定治疗方案:建议术前行顺铂
(cisplatin)+紫杉醇
(paclitaxel)+5-氟尿嘧啶
(5-fluorouracil,5-Fu)(TPF)方案+靶向治疗方案[ 西妥昔单抗
(cetuximab)] 2~3 周后再评估化疗效果及能否手术治疗。
5. 治疗过程
5.1 手术过程
入院后完善相关检验、检查,术前以西妥昔单抗900 mg+紫杉醇脂质体240 mg+顺铂40 mg/d(第1~3 天)+5-氟尿嘧啶4.5 g 持续静脉输注120 h,完成2 个周期新辅助化疗。再次进行口腔-头颈肿瘤MDT 会诊,涉及麻醉科、呼吸内科、心血管内科、耳鼻喉头颈外科、放射影像科、营养科及重症医学科等。考虑患者恶性肿瘤为复发,单纯手术治疗效果差,预后可能不良,但患者手术治疗意愿强烈,最终确定以手术为主导的MDT 方案,术前行高风险谈话。
在经鼻插管全身麻醉下手术切除左眼球及其周围附丽组织,包括部分眶骨、上颌骨、颧骨、部分颧弓、半侧下颌骨、原手术移植的皮瓣、腮腺、部分鼻甲和部分上下唇组织(图4A)。同时行对侧根治性颈淋巴清扫,制取右侧游离股前外侧皮瓣,考虑组织缺损较大,术前做好切除范围模板,预估手术需要量,本次手术切取皮岛大小约28 cm×11 cm(图4B)。
皮瓣断蒂后,右大腿供区创面借助皮肤牵张闭合器拉拢缝合。因左侧既往行“颈清手术”,无可用血管,右侧颈淋巴清扫术后发现:在静脉受区,仅颈内静脉的一分支可供使用,在动脉受区,仅甲状腺上动脉分支可供使用。受、供区静脉血管管径基本匹配(3.5 mm/4.0 mm),供区动脉血管管径过大(约4.0 mm),受区动脉血管管径过小(约2.0 mm);静脉端使用4.0 mm 微血管吻合器进行吻合,动脉端使用9-0 滑线,剪开甲状腺上动脉管径进行缝合(图4C);吻合后静脉回血通畅,皮瓣皮缘出血,皮瓣血运恢复。
血管蒂从左侧沿颏下走行至对侧颌下区,将血管蒂摆顺并将血管蒂的周围肌袖与颏部肌肉进行缝合固定,避免血管蒂发生扭转。优先缝合口内侧,1 个皮穿支位于中心处,直至口角,然后将皮岛进行完全离断,股直肌及股外侧肌完全填塞面部创腔,剩余皮岛(含1 个皮穿支)与面部皮肤严密缝合,完成口腔及颌面部缺损重建(图4D)。

图4 手术病灶切除及修复重建情况。A. 手术切除的病灶;B. 股前外侧分叶嵌合穿支皮瓣切取;C. 微血管吻合;D. 修复重建术后的照片。
5.2 术后治疗
术后以TP 方案(剂量同术前)完成2 个周期化疗。放疗剂量为计划肿瘤靶区(PGTVtb):59.36 Gy/2.12 Gy/28F;预防区(PTV):50.96 Gy/1.82 Gy/28F 完成术后放疗,疗效均为完全缓解(complete response,CR)。
6. 术后情况及随访
术后皮瓣存活良好,伤口一期愈合,未出现伤口及肺部等感染,右大腿供区伤口愈合良好。术后2 年半随访:患者饮食、言语、吞咽功能良好,患者对治疗效果满意。患者因左眶内容物摘除,用右眼观物,外出社交时佩戴墨镜(图5)。

图5 术后2 年半患者随访照片
来源:向峰,康霄,鲁立光,等.多学科诊疗协作下巨大股前外侧皮瓣修复颊部鳞状细胞癌复发1例[J].口腔颌面外科杂志,2025,35(01):70-74.