
腰椎穿刺术后脑脓肿破裂致急性硬膜下积脓1例
作者:吉林大学第一医院神经外科(张立成、钟华
英、李毅
平);聊城市第二人民医院神经外科(辛振学、王新志、马金邦)
1. 病例资料
55 岁女性,因间歇性头痛
数月于2022 年2 月20 日入院。入院时体格检查未见明显异常,脑膜刺激征
阴性。血常规
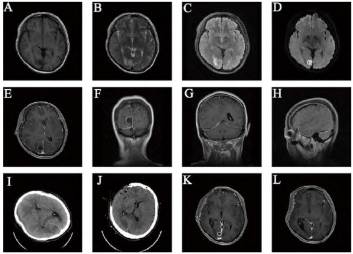
正常。头部MRI 显示右侧枕叶占位,考虑脑脓肿
(图1A~D)。静脉滴注甘露醇
后行腰椎穿刺术
,脑脊液清澈透明,压力220 mmH2O,潘氏试验(+),白细胞数量775 ×106/L,蛋白含量1 636 mg/L。
腰椎穿刺术后1 h,病情突然加重,嗜睡、双侧瞳孔直径不等大,急查血常规显示白细胞计数24.03×109/L。复查MRI显示右侧枕叶脑脓肿伴硬膜下积脓(图1E~H),复查头部CT(图1I)显示右侧硬膜下积脓,中线移位明显,脑疝
形成。遂行急诊手术,术中见硬膜下积脓,清除脓液30 ml,万古霉素
盐水反复冲洗,去除骨瓣。
术后复查CT显示中线回位(图1J)。脓液涂片
见白细胞、G+球菌;培养见中间链球菌。术后静脉联合应用美罗培南
加万古霉素2周,出院后口服莫西沙星
4周。最终诊断:枕叶脑脓肿破溃、急性硬膜下积脓、脑疝。出院1个月复查,左侧肌力4级,右侧肌力5级;头部MRI显示枕叶脓肿缩小(图1K)。出院4个月复查,四肢肌力5级;头部MRI显示枕叶脓肿消失(图1L)。

图1 腰椎穿刺术后脑脓肿破裂致急性硬膜下积脓手术前后头部CT、MRI影像。A-D. 入院头部MRI显示右侧枕叶结节状长T1、长T2信号影,DWI呈高信号,压水像周围可见水肿
;E-H. 腰椎穿刺术后头部增强MRI显示右侧枕叶脓肿,环形强化,内与硬膜下腔相通,右侧小脑幕上、额颞顶枕部硬膜下腔增宽,中线结构左移;I. 腰椎穿刺术后头部CT显示右侧颅骨内板下等低密度影,中线结构左移,侧脑室受压,考虑脑疝形成;J. 急诊去骨瓣减压术后头部CT显示中线结构复位;K. 去骨瓣减压术后1个月复查头部MRI显示枕叶脓肿环形强化,体积明显减小;L. 去骨瓣减压术后4个月复查头部MRI显示枕叶脓肿消失
2. 讨论
硬膜下脓肿是一种较为少见的神经系统化脓性感染,占颅脑化脓性感染的15%~20%。随着卫生条件的改善及抗生素的普及,该病变得更为少见,但病死率及致残率仍较高,预后往往不佳。硬膜下脓肿多由邻近组织感染蔓延、颅脑手术、外伤或血源性感染所致,而因脑脓肿破溃形成急性硬膜下脓肿较为罕见。脑脓肿的脑室侧往往较脑皮质侧脆弱,故多破溃入脑室。
当脑脓肿靠近脑表面时,可因过度用力、造影或不适当穿刺使其包膜突然破溃,造成急性硬膜下积脓。本文病例入院时考虑枕叶脑脓肿,体积虽不大,但其位置靠近脑表面、大脑镰及小脑幕,考虑是腰椎穿刺术后颅腔压力发生了变化,产生了压力差,造成脑脓肿破溃,脓液迅速扩散,形成了急性硬膜下积脓。硬膜下脓肿临床表现不具有特异性,往往是在脑脓肿的基础上病情突然发生恶化,患者可出现寒战高热、局灶性神经功能缺损、脑疝、昏迷甚至感染性休克
等。
本文患者入院时症状、体征不明显,无发热
和脑膜刺激征,但腰椎穿刺术后数小时病情突然发生恶化,出现脑疝症状,考虑脓肿破溃。当病情突然变化时,推荐行头部CT检查
,表现为颅骨内板下新月型低密度影,还可以明确是否合并有脑疝、出血等情况。病情允许时,可行头部MRI检查,硬膜下积脓及脑脓肿在弥散成像上显示高信号;增强像上,脓腔周围可明显强化,还可以显示脓肿破溃口。
由于硬膜下腔是一个潜在性腔隙,缺乏组织间隔,脓液容易广泛扩散到大脑半球凸面、外侧裂、或沿小脑幕及颅底蔓延。本文病例MRI显示在小脑幕及大脑镰交界处形成破溃口,脓液沿小脑幕、颅底及大脑凸面蔓延,占位效应及中线移位明显,形成了脑疝。硬膜下积脓的治疗包括应用敏感抗生素、手术清除脓肿以及预防癫痫
等。一旦形成脑疝,为减轻其占位效应,应积极手术治疗。开颅手术可去除骨瓣,减压效果更佳。
术后应持续应用抗生素,推荐头孢吡肟
或美罗培南联合万古霉素;当脑脊液培养分离出病原体时,应调整为敏感抗生素。长期应用抗生素后易导致真菌感染
,建议加强患者免疫力,待药敏结果出来后更换敏感窄谱抗生素,同时口服氟康唑
预防真菌感染。本文患者形成脑疝后,积极行开颅手术,去除骨瓣,清除了硬膜下积脓。考虑脑脓肿较小,且距离骨窗较远,并未清除脑脓肿,术后应用抗生素积极控制感染,取得了良好的疗效。
总之,当脑脓肿较大或靠近脑表面、小脑幕时,应谨慎行腰椎穿刺术,以免脓肿破溃。一旦脓肿破溃形成硬膜下积脓和脑疝,应积极予以手术及抗感染治疗。
来源:张立成,钟华英,辛振学,等.腰椎穿刺术后脑脓肿破裂致急性硬膜下积脓1例[J].中国临床神经外科杂志,2025,30(03):187-189.DOI:10.13798/j.issn.1009-153X.2025.03.013.