
小脑扁桃体下疝畸形颈椎管减压术后并发脑积水1例
作者:天津市环湖医院神经外科(陈晓
晨、孙东东、刘伟
);天津市河西区尖山街社区卫生服务中心全科(王佳)
小脑扁桃体下疝畸形又称Arnold-Chiari畸形,其中以Ⅰ型最常见,可单独存在,也可和其他寰枕畸形同时存在,包括寰枕融合、寰枢椎脱位、颅底凹陷、扁平颅底;可为先天性疾病,也可后天继发于其他疾病,常伴有脊髓空洞,但同时合并脑积水
并不常见。
文献报道,小脑扁桃体下疝合并脊髓空洞发生率为32%~75%,而合并脑积水发生率为6.8%~10%。脑积水也可继发于Chiari畸形行枕大孔减压术后,发生率约为6%。Chiari畸形并发脑积水的发病机制目前尚不清楚,治疗先后顺序、治疗时机及手术方式的选择仍存在较大争议,其中治疗先后顺序的确定尤为重要,正确的处理顺序可避免不必要的术后并发症、降低二次手术风险、缩短住院时间、减轻住院费用。
1. 病例资料
63岁女性,因发现小脑扁桃体下疝畸形5个月伴行走不稳伴头痛
1个月、小便失禁2周入院。5个月前,因左侧上肢麻木就诊外院脊柱外科,MRI发现小脑扁桃体下疝畸形及颈椎管狭窄
(图1A、1B)。行颈后路单开门椎管减压术,术后左上肢麻木症状改善。入院前1个月,无明显诱因出现头痛,前额为著,并逐渐出现行走不稳,摔倒两次。两周前,出现小便失禁,并伴有记忆力减退,定向力、理解力差,反应迟钝。
入院体格检查:意识朦胧,自主睁眼,可简单对答,不完全从嘱活动;理解力、计算力、定向力差;视力
视野检测正常,双侧眼底未见视乳头水肿
,双侧瞳孔等大等圆,直径2.5 mm,对光反射灵敏;四肢肌力Ⅳ级,仅可在搀扶下站立,感觉及共济检查不合作。头颈MRI显示幕上脑室扩张,小脑扁桃体下疝,颅底凹陷,颈部皮下积液(图1C、1D)。
入院后行腰椎穿刺术
测压为10.5 mmHg,并释放脑脊液约50 ml,患者精神状态、反应能力及理解力较前略有好转。进一步行颅底CT检查
并三维重建显示寰枕融合、颅底凹陷、寰枢椎半脱位、扁平颅底。鉴于患者颈椎管减压术前已存在小脑扁桃体下疝畸形、颅底凹陷、脊髓空洞等影像表现,但无脑积水表现;颈椎管减压术后出现头痛、行走不稳症状,影像学表现为颈部皮下积液,脑室系统扩张;考虑脑积水是术后脑脊液漏导致枕骨大孔上下压力差增大,小脑扁桃体下疝进一步加重,导致脑积水循环障碍;而且,患者伴有寰枢椎脱位,稳定性差,潜在风险较高,遂于行颅后窝减压+枕颈融合+脑脊液漏修补术。
术中切除下疝的小脑扁桃体,并探查双侧Luschka 孔,可见增厚的蛛网膜,予以剥离,疏通四脑室流出道。术中发现颈6锥体水平硬膜小漏口,可见脑脊液持续流出,予以自体筋膜修补,减压骨窗大小约4 cm×4 cm。术后复查头CT发现脑室大小未恢复正常,尤其幕上脑室仍有扩张。术后1个月,患者意识状态
较前变差,昏睡,进食差,复查头CT显示脑室较前明显扩张(图1E),遂行脑室-腹腔分流术。术后意识状态明显改善,小便自知可控,可独立行走,分流术后10 d复查头CT显示脑室形态正常(图1F)。分流术术后半年随访,患者神志清楚,言语语利,生活自理,大小便自知可控,可独立上下楼,记忆力理解力正常,肢体麻木症状未再发作。
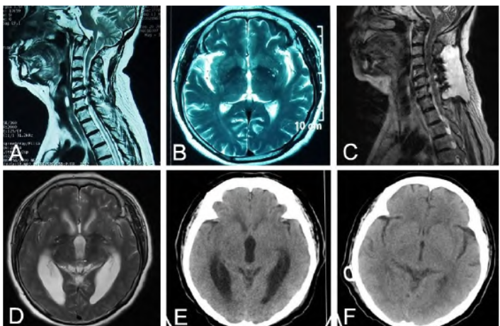
图1 小脑扁桃体下疝畸形颈椎管减压术后并发脑积水影像学表现。A、B. 颈椎管减压术前MRI显示小脑扁桃体下疝低于枕骨大孔约7 mm,颅底凹陷,颈椎管狭窄,脑室形态正常;C、D. 颈椎管减压术后颈椎MRI显示颈部皮下积液,全脑室系统扩张;E. 枕大孔减压术后1个月头部CT显示全脑室系统扩张;F. 脑室-腹腔分流术后10 d复查头部CT显示脑室系统恢复正常
2. 讨论
Chiari畸形并发脑积水的发病机制目前尚不清楚。临床上,对于Chiari 畸形合并脑积水的处理原则并没有统一的规范,无论是处理时机,还是处理方式一直存在争议。根据文献报道,首先治疗脑积水可能获得良好预后,这一观点得到广泛认同,尽管有多数患者脑积水改善后,Chiari畸形症状仍存在。也有学者认为针对不同患者应采取不同的治疗策略。本文病例脑积水继发于颈椎管减压术后脑脊液漏,考虑为脑脊液的快速外漏导致枕骨大孔上下压力差增大,下疝进一步加重,第四脑室流出道梗阻,脑脊液循环障碍,出现脑积水。
行枕大孔减压术切除下疝扁桃体,开放Luschka孔可改善脑脊液循环,缓解脑积水;但患者术后并未出现预想的预后结果,最终再次行脑室-腹腔分流术治愈脑积水。考虑减压术失败的原因可能是术后仍有脑脊液漏。脑积水本身可作为枕大孔减压术后一种并发症出现,文献报道发生率为1%~18%,其具体发生机制尚不明确。但有文献表明减压术后硬脑膜漏可能是导致脑积水的主要原因,机制可能是术中导致蛛网膜裂孔,脑脊液外溢至硬膜下聚集,引起第四脑室上部或导水管损伤造成梗阻性脑积水。
但该病例为颈椎管减压术后脑脊液漏诱发脑积水,用此机制解释不通,说明脑积水的形成是一个复杂的过程。本文病例为颈椎管减压术后脑脊液漏诱发脑积水,同时合并小脑扁桃体下疝畸形,影像学表现为第四脑室扩大明显,延髓前池缩小,考虑为脑脊液漏导致枕骨大孔上下压力梯度增大,小脑扁桃体下疝进一步加重,引发梗阻性脑积水。从病情发展来看,解除梗阻后理应得到改善脑积水的效果,但事与愿违,术后积水并未改善,甚至逐渐加重,尤其第四脑室明显扩大,小脑桥脑角池容积缩小,考虑梗阻发生在第四脑室以下。
此种情况,第三脑室造瘘可能不能解决梗阻问题,最终行脑室-腹腔分流术。小脑扁桃体下疝畸形合并的脑积水的病理生理改变是复杂的、多因素的,并非单一梗阻所致,可能同时伴有脑脊液动力学改变、静脉高压、颅后窝狭小等多种因素。由于无法明确具体生理病理学机制,因此针对首发症状处理,或许可以达到一劳永逸的地步。本文患者首发症状为行走不稳、认知障碍
、小便失禁,为典型脑积水表现,小脑扁桃体下疝长期存在并无不良反应,若先行脑室-腹腔分流术,根据病情需要再酌情行颈枕融合固定,或许对患者更有利。
总之,对Chiari畸形合并颈椎管狭窄患者实施减压手术时,需高度警惕硬膜损伤风险,术后应密切监测脑脊液动力学变化。
来源:陈晓晨,王佳,孙东东,等.小脑扁桃体下疝畸形颈椎管减压术后并发脑积水1例[J].中国临床神经外科杂志,2025,30(03):190-192.DOI:10.13798/j.issn.1009-153X.2025.03.014.