
SCAPER⁃NTRK2 融合突变成人高级别星形细胞瘤1例报告并文献复习
作者:济宁医学院临床医学院(孙中钱,申强);济宁医学院附属医院神经外科(孟玮,张军
臣),肿瘤科(常雷),病理科(王全义)
星形细胞瘤是中枢神经系统最常见的原发性恶性肿瘤之一。目前认为,神经营养因子受体络氨酸激酶(neurotrophin receptor kinase,NTRK)融合突变是中枢神经系统肿瘤的一个罕见但有治疗价值的靶点。胶质瘤
患者NTRK 融合突变检出率低于1%,其中NTRK2 融合更为罕见。NTRK 融合突变是多种成人和儿童肿瘤的致癌驱动因子。NTRK 基因融合是通过染色体
内或染色体间重排将NTRK1/2/3 的3′序列(编码完整的激酶结构域)与伴侣基因的5′序列(编码寡聚化或其他蛋白结合结构域)链接,产生处于持续活跃状态的TRK 融合蛋白而成为真正的致癌驱动因子。
自从发现异柠檬酸脱氢酶
( isocitrate dehydrogenase,IDH)突变在弥漫性胶质瘤的发病机制和预后中的重要性以来,星形细胞瘤的分类发生了演变。2021 年第5 版世界卫生组织(World Health Organization,WHO)中枢神经系统肿瘤分类将成人星形细胞瘤分为IDH 突变型和IDH 野生型星形细胞瘤,根据形态学和基因的改变又将IDH突变型星形细胞瘤分为Ⅱ级、Ⅲ级和Ⅳ级。
IDH 突变型Ⅳ级星形细胞瘤表现为细胞坏死、微血管增生或CDKN2A/2B同源染色体缺失。因此,分子病理对评估星形细胞瘤的分级和预后至关重要。随着二代测序( next generation sequencing,NGS)检测技术的发展,越来越多的罕见NTRK融合突变患者被检测出来,本文现报道济宁医学院附属医院2023 年3 月收治的1 例罕见的伴NTRK2 融合、IDH1 突变、CDKN2A/2B 拷贝数缺失的成人WHO Ⅳ级星形细胞瘤患者,分析其分子特征并结合相关文献,探讨NTRK2 融合基因的作用机制和Stupp 治疗方案的有效性,为临床治疗NTRK融合突变高级别胶质瘤积累经验。现报告如下。
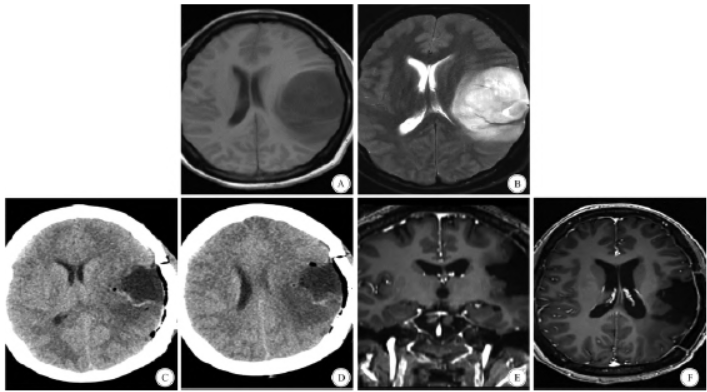
患者女性,38 岁,因“突发意识不清、肢体抽搐急症”于2023 年3 月1 日收治入济宁医学院附属医院。既往身体健康。入院时颅脑计算机断层扫描(computed tomography,CT)提示左侧顶颞叶见团片状混杂密度影,边界不清,大小约55 mm ×49 mm ×57 mm,周围见大片状水肿
影环绕。颅脑核磁共振成像
(magnetic resonance imaging,MRI)检查示,左侧颞顶叶见团块状T1 WI 高信号影,T2 -FLAIR 呈相对稍高信号影,弥散加权成像(diffusion weighted imaging,DWI)呈不均匀高信号,相应表观弥散系数(apparent diffusion coefficient,ADC) 图信号局部稍减低,大小约55 mm ×46 mm ×57 mm,病变周围见片状T1 WI 高信号,T2 WI 高信号,周围脑组织受压,考虑高级别胶质瘤(图1)。
2023 年3月1 日行左侧颞顶叶肿瘤切除术,全切除肿瘤。肿瘤免疫组化:GFAP( + ),O1ig-2( + ),IDH-1( + ),ATR-X( - ),P53( - ),S-100( + ),Vimentin( + ),BRG1( + ),EMA(部分+ ),CD34( - ),H3K27me3( + ),NF( - ),Ki-67( + ,约40% ),见图2。
首次病理诊断为星形细胞瘤NOS,中枢神经系统( central nervous system,CNS) WHO 分级: Ⅲ 级。2023 年3 月30 日肿瘤组织NGS 检测结果示,IDH1P. R132H第4 外显子错义突变;NTRK2(SCAPER-NTRK2)融合突变(图3);CDKN2A/2B 拷贝数缺失,MGMT 甲基化阳性,1p19q 缺失情况未检测到,表皮生长因子受体(epidermal growth factor receptor,EGFR) 扩增情况未检测到,见表1。
脑胶质瘤治疗团队更正病理诊断为星形细胞瘤,IDH 突变型,CNS WHO 分级Ⅳ级。脑胶质瘤切除以后,2024 年3 月26 日开始接受放射治疗
和6 周期替莫唑胺
(temozolomide,TMZ)化疗等Stupp 方案治疗。随访至2024年4 月17 日,复查颅脑MRI 肿瘤无复发(图1),患者一般状况良好,无进展生存期超过13 个月。

图1 患者影像结果。A:入院时,T1 加权成像在左侧颞顶叶发现高信号、边界不清的病变; B:入院时,T2 加权成像在左侧颞顶叶检出高信号和边界不清的病变; C、D:术后第1 天,CT 显示左侧颞顶叶肿瘤被切除; E:术后13 个月,左颞顶叶斑片状低信号强度,T1 加权成像无明显信号增强(冠状面); F:术后13 个月,T1 加权成像无明显增强(轴状面)

图2 组织学和免疫组化结果。A:低倍镜检查显示肿瘤细胞弥漫性浸润性生长,细胞密度轻至中度(HE 染色,×200); B:肿瘤细胞Ki-67 阳性(Envision 二步法,×400); C:肿瘤细胞ATRX 阳性(Envision 二步法,×400); D:肿瘤细胞IDH1(R132H)阳性(Envision 二步法,×400)

图3 NGS 检测结果。SCAPER-NTRK2 融合的变异图和IGV 快照;每个灰色条代表一个测序读取与碱基对匹配的参考基因组;偏离参考基因组的碱基被认为是变异体,并被标记
表1 NGS 结果

来源:孙中钱,申强,常雷,等.SCAPER-NTRK2融合突变成人高级别星形细胞瘤1例报告并文献复习[J].临床神经外科杂志,2025,22(03):356-360.