
颈静脉孔区良性肿瘤的诊治分析:附2例报道并文献复习
作者:陆军军医大学大坪医院神经外科(谢治年、王旭
辉);武警重庆总队医院耳鼻咽喉科(谢治年、夏露)
颈静脉孔(jugular foramen,JF)位于颅骨深处,解剖结构复杂,形态、大小极不规则,有乙状窦、颈静脉球、颈内静脉和舌咽神经、迷走神经及副神经穿行。JF病变手术风险大、难度高,往往需要在根治性切除肿瘤与保护好重要毗邻结构之间做好权衡。
近年来,多模态监测技术应用已很成熟,以及耳科和神经外科侧颅底技术的相互借鉴及融合,采用导航显微镜下手术切除颅底肿瘤已逐渐成熟。2021年11月至2022年1月采用多模态监测技术辅助显微手术治疗JF区良性肿瘤2例,取得良好的效果,现报道如下。
病例1:58岁女性,因声音嘶哑3个月于2022年1月2日入院。入院体格检查:左侧声带固定于旁正中位,右侧声带运动正常。甲状腺彩色超声多普勒、胸部CT、胃镜检查
均未发现占位性病变。头颅MRI示左侧咽旁间隙占位,经JF至颅后窝,大小4.5 cm×3.0 cm×1.8 cm,T1WI 呈等信号,T2WI 呈等-稍高信号(图1A~C),FLAIR呈高信号,边界清楚。
术前诊断:左侧JF区良性肿瘤。完善术前准备后,在导航辅助下显微手术切除JF区肿瘤,并行颅底重建。术中见肿瘤主体位于JF区,侵蚀JF区骨质,并导致JF扩大,压闭乙状窦,并少量突入桥小脑角,向前突入咽旁间隙,包膜完整。先部分切除肿瘤实质、缩小体积,然后沿肿瘤包膜内界面分离,最终全切除肿瘤(图1D~F)。

图1 左侧颈静脉孔区神经鞘瘤手术前后影像。A~C. 术前头颅MRI显示左侧颈静脉孔区占位性病变,大小4.5 cm×3.0 cm×1.8 cm,T1WI呈等信号,T2WI呈等-稍高信号;D~F. 术后3个月复查头颅MRI显示肿瘤无复发
术后病理显示:JF区梭行细胞肿瘤,免疫组化:CD34(血管+),Ki67(3%+),S-100多(+),SMA(血管+),Sox-10(+),结合免疫组化最后诊断为神经鞘瘤。术后有轻度饮水呛咳、经常性干咳,随访观察6个月,逐渐好转。
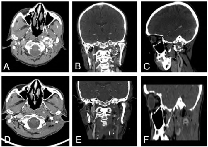
病例2:66岁男性,因声音嘶哑2个月、发现左侧JF区占位半个月于2021年10月2日入院。患者偶有饮水、进食呛咳。入院体格检查:左侧声带固定于旁正中位,右侧声带运动正常,伸舌稍偏向左侧。头颅MRI、CT示左侧口咽侧后壁、颈静脉孔区占位(图2A~C)。术前诊断:左侧JF区良性肿瘤。在导航辅助下显微手术切除JF区肿瘤,并行颅底重建。
术中见肿瘤部分起源于JF内,并未明显突入桥小脑角硬膜;肿瘤主体向前方咽旁间隙扩展,包膜完整、边界清晰,实质内多钙化组织。先部分切除肿瘤、获得空间后,沿边界分离,最终全切除肿瘤(图2D~F)。术后病理显示:高分化软骨肉瘤
(WHO 分级Ⅰ级),Ki67为3%。术后有轻度饮水呛咳、干咳,随访观察6个月,逐渐好转。

图2 左侧颈静脉孔区高分化软骨肉瘤手术前后影像。A~C. 术前头颅CT显示左侧颈静脉孔区占位性病变;D~F. 术后4个月复查头颅CT显示肿瘤无复发
来源:谢治年,王旭辉,夏露.颈静脉孔区良性肿瘤的诊治分析:附2例报道并文献复习[J].中国临床神经外科杂志,2025,30(03):167-170.DOI:10.13798/j.issn.1009-153X.2025.03.008.