
儿童肝脏恶性横纹肌样瘤1例
作者:高佳欣,杨琳
,白月南,西安医学院;郝跃文;西安市儿童医院影像科
病例男,1 岁1 月,以“发现腹部包块
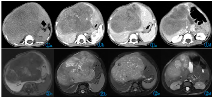
1 周”入院。专科检查,肝区可触及10 cm×10 cm 包块,质硬,边界清,轮廓不规则。CT 平扫示肝左叶内侧段见一巨大稍低密度肿块,大小约13 cm×9.2 cm×12 cm,CT 值约21~35 HU,肠管受压向左移位(图1a)。
经静脉注入碘海醇
增强扫描:动脉期肿块呈不均质轻度强化,CT 值约为54 HU,肿块内低密度区无强化(图1b),门脉期CT 值约为45 HU,可见肝内血管受压推移、下腔静脉受压(图1c,1d),延迟期CT 值约为38 HU。MRI 示肝左叶见一巨大软组织肿块影突出于肝轮廓外,T1WI 呈低信号(图2a),T2WI 压脂呈高信号,其内信号不均匀,夹杂少许T2WI 高信号和低信号(图2b,2c),胆囊向左移位(图2d)。
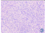
超声引导下经皮肝脏肿瘤穿刺活检光镜见:异型细胞弥漫分布,核大,呈圆形或梭形,包浆透亮,部分胞浆丰富,嗜酸性,可见核分裂象(图3)。免疫组化:CK19(胆管上皮+),CK7(胆管上皮+),Desmin(-),GPC-3(-),Hep(-),INI-1(-),Ki-67(约20%+),PAX-8(-),S-100(-),SALL-4(少量+),SYN(少量+),Vimentin(+),CK(核旁点状+),EMA(少量+),NSE(-),CD99(部分+);特殊染色:PAS(+)。结合免疫组化及特殊染色结果,符合肝脏恶性横纹肌样瘤(Rhabdoid tumor,RT)。


图1 肝脏横纹肌样瘤CT 图。图1a:CT 平扫示肝左叶内侧段见一巨大稍低密度肿块;图1b:增强扫描动脉期示肿块呈不均质轻度强化;图1c,1d:增强扫描门脉期示肝内血管受压推移、下腔静脉受压。图2 肝脏横纹肌样瘤MRI 图。图2a:T1WI 示肿块整体呈低信号;图2b,2c:T2WI 压脂示肿块整体呈高信号,夹杂高信号和低信号;图2d:T2WI 压脂示胆囊向左移位。图3 肝脏横纹肌样瘤病理图。光镜见异型细胞弥漫分布,核大,呈圆形或梭形,包浆透亮,部分胞浆丰富,嗜酸性,可见核分裂象(HE)。
讨论
RT 是一种好发于低龄儿童的高度恶性肿瘤,侵袭性强,预后差,在临床上较罕见,目前认为RT 起源于多功能胚胎干细胞或原始生殖细胞。RT 可发生于任何部位,根据原发部位,主要分为肾恶性RT、中枢神经系统非典型畸胎样RT、肾外非中枢神经系统恶性RT(Extra-renal extra cranialRT,EERT)。
EERT 趋向原发于中轴的深部软组织,如头颈部、纵隔,也可发生于盆腔以及肝脏等部位,瘤体巨大,长径多大于5 cm 甚至达8 cm,较少见小于3 cm 者,临床表现无特异性,主要表现为体表肿块。病理上,肿瘤细胞弥漫成片,呈多形性,大部分RT 病理性核分裂象易见,Ki-67 增殖指数较高,肿瘤细胞具有多种免疫表型特性,EMA、SYN、Vimentin、CD99 等可呈阳性,由于编码INI-1 蛋白的SMARCB1(又称hSNF5/INI-1)基因发生缺失,促进肿瘤形成,所以INI-1 蛋白免疫组化检测可作为诊断RT 的金标准,本病例病理表现均支持RT 诊断。
影像学表现:实质脏器EERT 表现类似于肾恶性RT,肾恶性RT 瘤体普遍较大,可呈多中心生长,边缘呈分叶状,肿瘤实质部分密度/信号不均匀,出血、坏死、囊状改变多见,CT检查
可见条状、壳状或结节状钙化,肿瘤无包膜,边界模糊,瘤周肾包膜下新月形积液或出血较多见。有国外报道发现肝脏RT 在T2WI 上可见囊性成分或液-液平,增强扫描后囊壁明显强化,钙化少见。
本病例在CT 平扫上整体呈稍低密度肿块影,无点片状钙化影,侵袭征象较明显,无包膜,邻近组织多受压改变,非均质性是其重要特点,增强扫描瘤灶呈不均质轻度强化,其整体强化程度低于周围正常肝实质,包块内散在的条片状低密度坏死区不强化;在MRI 上表现为边界清晰的肝内混杂信号影,突出于肝脏轮廓以外,T1WI 呈低信号,T2WI 呈高信号,内部信号不均匀,占位效应明显,周围组织器官受压移位。肝脏RT 少见,因对其认识不足,极易误诊为小儿肝内其他好发肿瘤。
本病例术前就曾误诊为肝母细胞瘤(Hepatoblastoma,HB),误诊原因可能是影像学表现同HB 相似,但约90%的HB患者会出现AFP 升高,且约超过50%的HB 会出现钙化,而目前报道的肝脏RT 钙化则相对少见。除此之外,发生在儿童肝脏较大的占位还需考虑到以实性为主型的肝脏间叶性错构瘤和肝脏未分化胚胎性肉瘤
。以实性为主型的肝脏间叶性错构瘤肿块多位于肝右叶,增强扫描动脉期边缘明显强化,静脉期、延迟期强化范围逐渐向中心填充。肝脏未分化胚胎性肉瘤多为巨大囊实性肿块,因为肿块内富含黏多糖基质吸收水分,所以CT 表现为水样密度,超声表现为实性为主的混合回声。
综上,通过对本病例的描述与结合相关文献,我们总结了儿童肝脏RT 的临床、病理、影像学表现及需要相鉴别的疾病,虽然该病缺乏特异的影像学特征,诊断的金标准还是病理及免疫组化检查,但影像学检查对于肿瘤的定位、转移、治疗方法的选择、疗效评估等均有不可替代的作用。
来源:高佳欣,杨琳,白月南,等.儿童肝脏恶性横纹肌样瘤1例[J].中国临床医学影像杂志,2025,36(03):222-224.