
右肺动脉缺如患儿行后路脊柱侧凸矫形术的麻醉管理一例
作者:代子一,马璐璐,中国医学科学院北京协和医学院北京协和医院
麻醉科
单侧肺动脉缺如(unilateral absence of pulmonary artery, UAPA)是一种罕见的先天性心血管畸形,常存在咯血
、肺部感染和肺动脉高压
等临床表现。UAPA 可增加患者围术期心血管及呼吸系统风险。在脊柱侧凸矫形术这类复杂的大型手术中,脊柱侧凸原发病亦可导致心肺功能异常,合并UAPA患者的围术期麻醉管理更加困难。本文报告一例右肺动脉缺如患儿行后路脊柱侧凸矫形术的麻醉管理过程。
1. 临床资料
患儿,男性,15 岁,身高181 cm,体质量53 kg,体质指数(body mass index, BMI)16. 18 kg/ m2。因“发现背部不平1 年半”入院。患儿1 年半前诊断脊柱侧凸,伴活动耐量受限,运动后憋喘。支具保守治疗效果不佳。患儿1 年前2 次情绪激动后咯血,50 ~ 80 mL/ 次。外院胸部计算机断层扫描(computed tomography, CT)示右下肺近肺底磨玻璃云絮、结节状影;CT 血管造影
(computed tomographic angiography, CTA)示右肺动脉缺如,右肺体积小,支气管血管束稀疏,诊断“右肺动脉缺如”,予药物止血对症后好转。3 个月前再次少量咯血,未就诊。既往对牛奶、花生等多种过敏原过敏。
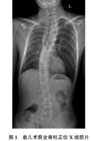
入院查体:脊柱上胸段左侧凸,形成剃刀背畸形,胸腰段右侧凸,左肩较右肩高;漏斗胸畸形,余心肺查体未见异常。全脊柱正侧位X 线片(图1)示脊柱侧凸,上胸段左凸畸形,Cobb 角40°,胸腰段右凸畸形,Cobb 角39°。超声心动图
示左室射血分数(left ventricular ejection fraction, LVEF)68%,心脏功能未见明显异常(三尖瓣反流速度1. 8 m/ s);右肺动脉缺如。动脉血气分析
示(未吸氧)pH 值7. 38,PaO2 99 mmHg(1 mmHg=0. 133 kPa),PaCO2 41 mmHg。

胸部CT(图2)示右侧胸廓较对侧缩小;右肺胸膜下肺大泡、肺气肿
。肺功能示限制性通气功能障碍,用力肺活量(forcedvital capacity, FVC)2. 69 L 占预计值53%,第1 秒用力呼气量( forced expiratory value in 1 second,FEV1)2. 18 L 占预计值52%,FEV1/ FVC 为81%。拟在全身麻醉下行后路脊柱侧凸截骨矫形、内固定、植骨融合术。术前评估ASA 分级Ⅲ级,心功能分级Ⅰ~Ⅱ级。

心外科、儿科、麻醉科、重症医学科多科会诊,考虑:1)无明确手术和麻醉禁忌;2)右肺隔离诊断明确,暂无手术干预指征;3)嘱呼吸功能锻炼,围术期避免血压波动,充分镇痛,预防再次咯血;4)如发生难控制的大出血,可能需单肺通气、介入栓塞甚至肺切除术;5)充分告知呼吸系统及心脑血管风险,术后备返重症监护病房(intensivecare unit, ICU)。
2. 麻醉管理及治疗
患儿入室后BP 115/66 mmHg,HR 111 次/ min,SpO2 100%(未吸氧)。建立双侧上肢两条粗外周静脉通路,予输液加温、体表充气加温。诱导前充分去氮给氧,静脉注射咪达唑仑
1 mg、地塞米松
5 mg、利多卡因
40 mg、芬太尼100 μg、丙泊酚
按效应室浓度6 μg/ mL 靶控输注(target-controlled infusion, TCI)、罗库溴铵
45 mg 进行麻醉诱导,可视喉镜直视下置入7. 0 mm 气管导管,插管过程顺利。采用容量控制(volume-controlled, VC) 模式,FiO250%,氧流量2 L/ min,VT 7 mL/ kg,RR 12 次/ min,I ∶ E 1 ∶ 2。左侧桡动脉穿刺置管监测有创动脉压和脉压变异度(pulse pressure variation, PPV),予脑电双频指数(bispectral index, BIS)监测,俯卧位连接脊髓监测电极。
术中采用全静脉麻醉,丙泊酚靶控血浆浓度在3 ~ 4 μg/ mL、静脉泵注瑞芬太尼
0. 05~0. 1 μg/ (kg·min),维持BIS 值在40 ~ 55。调整呼吸参数,维持SpO2 100%,气道峰压20 ~22 cmH2O,PETCO2 35~37 mmHg。术中有创动脉压波动在90 ~ 130/60~90 mmHg, HR 波动在90 ~110 次/ min。未见呼吸及循环相关意外事件。手术结束前动脉血气:pH 值7. 362,PaO2 315 mmHg,PaCO2 40. 7 mmHg,K+ 4. 1 mmol/ L,THbc 14. 0 g/ L,Hct 43. 0%。
手术时间约4. 5 h,麻醉时间5. 5 h,术中出血1 000 mL,尿量
700 mL;输晶体液3 800 mL,浓缩红细胞400 mL,自体血回输416 mL。术毕患儿苏醒,生命体征稳定,自主呼吸满意且肌力恢复正常后,拔除气管导管及动脉置管,转入麻醉后恢复室(post anesthesia care unit, PACU)监护15 min 后返病房。术后给予舒芬太尼
静脉自控镇痛(配方为舒芬太尼150 μg, 配制于250 mL NS, 背景剂量3. 0 mL/ h,PCA 剂量3. 0 mL/ h,锁定时间15 min),并结合曲马多
、美林
口服加强镇痛。术后第2 天疼痛视觉模拟评分(visual analog scale, VAS)1~2 分,停用自控镇痛。术后第8 天X 线示内固定良好,矫形效果满意,患儿出院。
来源:代子一,马璐璐.右肺动脉缺如患儿行后路脊柱侧凸矫形术的麻醉管理一例[J].基础医学与临床,2025,45(04):532-535.DOI:10.16352/j.issn.1001-6325.2025.04.0532.