
成人型卵巢颗粒细胞瘤合并黄体生成素升高2例并文献复习
作者:谢玉翠,崔春梅,路金枝等,淄博市市立医院妇科
1、病例资料
病例1 39岁,因“继发闭经
2年,发现卵巢肿物1个月”于2018年5月19日入院。
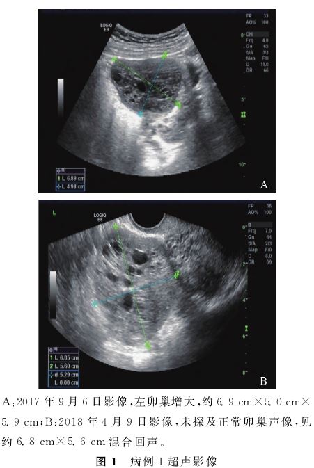
患者14岁月经初潮,月经7d/30~60d。2016年开始无自主月经来潮,服用中药治疗未月经来潮。2017年9月6日于我院门诊就诊,彩超提示左侧卵巢增大6.9cm×5.0cm×5.9cm,内见多个密集无回声(图1A)。性激素六项:卵泡刺激素(FSH)2.54U/L、黄体生成素(LH)20.76U/L、雌二醇
(E2)131.13pmol/L、睾酮(T)0.87nmol/L、孕酮(P)1.81nmol/L、泌乳素(PRL)0.21nmol/L。服用“炔雌醇环丙孕酮片
”治疗3个周期,治疗期间规律撤退性出血(撤血)。2017年12月12日(撤血第3天)血LH 2.54U/L;醋酸甲羟孕酮
(MPA)后半周期治疗3个月,治疗期间规律撤血。2018年4月24日(撤血第3天)性激素六项:FSH 1.09U/L、LH 20.76U/L、E2183.39pmol/L、T 4.09nmol/L、 P 0.19nmol/L、PRL 0.32nmol/L;复查彩超示左附件区见约6.8cm×5.6cm的混合回声,内见多个无回声,未探及正常卵巢声像(图1B),考虑卵巢肿瘤可能。
于2018年5月31日行“腹腔镜
下左侧附件切除术”。切除物快速病理:考虑成人型颗粒细胞瘤。遂行“全子宫+双附件+大网膜+阑尾切除+腹膜多点活检术”。术后诊断:左侧卵巢成人型颗粒细胞瘤ⅠA期。术后随访至今良好。
病例2 45岁,因“发现卵巢肿瘤3个月”于2019年7月13日入院。
患者入院前3个月外院彩超检查提示左侧附件区2.7cm×2.2cm低回声。2019年7月11日因为“停经2个半月”至我院就诊,彩超提示左侧卵巢见约2.9cm×2.5cm×3.3cm的低回声(图2A),周边及内部见丰富的血流信号(图2B)。考虑卵巢肿瘤较前增大,建议手术,收入院。性激素六项:FSH 6.95U/L、LH 18.07U/L、E298.65pmol/L、 T 0.80nmol/L、P 0.29nmol/L、PRL 0.29nmol/L。 2019年7月24日行“腹腔镜下全子宫+双附件+腹盆腔淋巴结清扫+大网膜+阑尾切除术”。术后病理:左侧卵巢粒层细胞瘤ⅠA期。术后随访至今良好。


2 、讨 论
卵巢颗粒细胞瘤(OGCT),又称卵巢粒层细胞瘤,属低度恶性的单纯性索肿瘤。根据临床表现及病理特征,分为成年型(AGCT)及幼年型(JGCT)。95%OGCT为AGCT,多见于45~55岁的围绝经
期女性。大部分以分泌雌激素
为主[1-2] ,分泌雄激素为主者不足3%[3] ,合并LH升高者更是罕见,查阅到相关文献11篇[4-14] ,计12例病例,结合本文2例,共14例AGCT合并LH升高患者。14例患者激素水平及激素水平变化总结见表1、表2,患者一般情况及诊疗结局见表3。
14例AGCT合并LH升高患者,均比较年轻,在17~45岁之间,1例处于青春期、1例处于围绝经期,余均处于育龄期;临床均表现为月经异常(3例稀发,11例闭经);病程较长,除病例2查体发现卵巢肿物,杨将等[9] 报道的1例34岁患者因为“腹痛”急症入院,病程3个月,其余病程10+月至5年不等,其中病程大于2年者7例。内分泌特征:(1)血LH均明显增高,波动于15.01~75.00U/L或以上。其中,4例患者5次服用复方短效口服避孕药(COC)治疗,撤血后复查血LH均明显降低;5例保守性手术术后血LH水平均恢复正常,复发时再次升高,提示LH或许可以作为此类病例保守性手术术后随访的敏感指标。(2)本文病例1首次就诊时血T水平处于正常范围,治疗后复查时血T升高,其他13例患者血T除1例升高至8.26nmol/L,术前多为正常或者轻度升高,COC治疗后可明显降低,术后均恢复正常。考虑血T升高可能与高LH对卵泡膜细胞刺激有关。(3)血FSH、E2均处于正常或者偏低水平。(4)11例患者术前完善血P检查共26次,多数处于早卵泡期水平,少数轻度升高。
14例患者均手术治疗,其中2例术后辅助化疗,1例术后50个月的时候骨盆复发再次手术治疗。术后患者均恢复正常月经及激素水平,其中1例分娩
后再次月经稀发,LH再次升高,多囊卵巢表现,考虑多囊卵巢综合征
(PCOS)可能。最长的1例随访9年无复发。
AGCT患者因为表现为月经稀发、继发性闭经,伴随LH增高,诊治过程中曾经误诊为PCOS、卵巢早衰、分泌LH的垂体腺瘤
等。考虑误诊的原因:(1)临床表现不典型:AGCT为功能性肿瘤,如果以分泌雌激素为主,青春期前患者可出现性早熟
,生育年龄患者出现月经紊乱,绝经后患者则有不规则阴道流血;如果分泌雄激素,引发多毛、闭经、痤疮
和声音低沉等高雄激素相关症状;伴随LH升高者均表现为月经稀发或者闭经,但其他症状缺乏特异性,本文总结的14例患者中除3例有高雄表现外,其他均无明显临床特征。Datta等[6] 报道的病例伴随疲劳、嗜睡,12个月体重增长13kg。Ran等[8] 报道的病例伴发有潮热、出汗等围绝经期不适,2年内体重增长10kg。(2)内分泌学特征不特异:AGCT是最常见的卵巢功能性肿瘤,可分泌抑制素(inhibin)A/B、AMH、雌激素及雄激素等。AGCT以分泌雌激素为主,但研究显示其并不是肿瘤细胞增殖的可靠标志物,在大约30%的AGCT患者中未检测到雌激素水平的升高;不足3%的AGCT患者可分泌雄激素,而伴发血LH高者更是罕见,国内外文献均为个案报道[4-14]。(3)影像学特征的非特异性:本文总结的14例患者中,表现为左侧卵巢肿瘤者10例、右侧卵巢者4例,囊性、囊实性及实性均有描述。
Gu等[11] 报道的病例2012年彩超提示卵巢多囊样变,2014年彩超提示卵巢内见直径3cm液性暗区,2015年提示无回声增大为4cm,直至2016年提示为卵巢囊实性肿瘤。(4)医生对该病的认识不足:本文报告的2例患者均因为月经异常(闭经1例、稀发1例)就诊,均表现为LH水平升高,FSH、E2、P、PRL正常,首次检查T水平均正常,病例1治疗后复查时T升高。病例1首诊考虑PCOS,因对LH明显增高不放心,给予3个周期COC治疗后复查LH水平恢复正常,便想当然地排除了高LH水平和肿瘤的关系,继续MPA调整月经周期,直至7个月后彩超提示卵巢肿瘤,才行手术治疗;病例2就诊时,因为对病例1印象深刻,便敏锐地察觉到LH水平的升高,术前就疑诊AGCT可能,及时手术治疗。
本文中病例1的彩超影像类似于Gu等[11] 所报告病例,病例1首次彩超检查提示卵巢增大,诊断为P-COS,治疗后复查时彩超提示卵巢肿瘤。复习前后2次彩超图像(图1),考虑第1次误诊是因为彩超及妇科大夫均对此疾病认识不足有关。
以继发性闭经或者月经稀发伴LH水平升高的AGCT非常罕见,且LH受COC调控抑制性下降,停药后反复,从临床表现,妇科检查
及药物反应来看,很难与PCOS相鉴别。Inhibin B及AMH检测对于OGCT具有较高的特异度及灵敏度,可考虑作为鉴别手段[1,15]。AMH升高时(绝经前≥13ng/ml,绝经后≥0.2ng/ml),可用于对OGCT及上皮性卵巢癌
的鉴别[1] 。但inhibin检测在临床中的应用并不普及。李秋
丽等[16] 回顾分析10例AGCT患者和32例AMH>10ng/ml的PCOS患者的临床资料,利用ROC曲线研究AMH和LH或联合检测在AGCT和PCOS鉴别诊断中的价值,AMH和LH鉴别诊断AGCT的曲线下面积(AUC)分别为0.803和0.883,联合AMH和LH进行鉴别诊断的AUC最大,达到0.975;AMH和LH的最佳截断值分别为19.4ng/ml和15.7U/L,AMH和LH单独检测的敏感性和特异性均达80%,两者联合的敏感性达100%。这为LH水平升高和闭经、月经稀发、卵巢增大或肿瘤时考虑到AGCT的诊断提供一个实用的方法。妇科常用的血清肿瘤标志物
如CA125、CEA、HE-4等,在诊断AGCT中价值较小,仅可辅助诊断[1,17]。
关于AGCT合并LH水平升高的病例报道较少,发病机制尚未明确。可能原因:(1)类似于PCOS。即卵巢持续分泌的雌激素,改变了促性腺激素释放激素(GnRH)的脉冲频率,刺激垂体分泌LH[5] ; (2)AGCT分泌具有刺激垂体分泌LH的相关因子(可能为GnRH样物质),而AGCT本身分泌inliibin抑制FSH分泌,所以仅表现为LH升高[7] ;(3)可能与卵巢上LH受体突变有关[8] ;(3)AGCT产生的AMH升高可能是LH升高的另一种机制[18]。结合可能导致LH升高的原因,还可以从以下方面探讨[2] :(1)影响GnRH的脉冲式释放的神经递质;(2)胰岛素
与LH的关系:过量胰岛素作用于垂体的胰岛素受体,可增强LH释放并促进卵巢和肾上腺分泌雄激素。
AGCT为低度恶性的卵巢肿瘤,预后和临床分期相关,早期诊断尤为重要。但因为临床少见,且早期多无特异性表现,结合2例AGCT合并LH升高患者的病例资料及文献复习,我们建议:(1)育龄期女性出现月经异常,或者绝经后女性出现阴道流血应及时检查性激素;(2)闭经或者月经稀发伴有LH明显增高者,要考虑到隐匿性AGCT的可能;(3)LH或许可以作为此类病例保守性手术术后随访的敏感指标。
本报告通过我院医学伦理委员会审批(审批号20250529)
利益冲突 所有作者声明无利益冲突。
作者贡献 谢玉翠参与了本研究的设计与开展、数据的收集、文章撰写等工作;路金枝负责研究指导、研究的设计及开展,对文章的知识性内容作批评性审阅,并给予行政与技术的支持;崔春梅参与了数据收集、整理等工作。
参考文献略。
来源:谢玉翠,崔春梅,路金枝.成人型卵巢颗粒细胞瘤合并黄体生成素升高2例并文献复习[J].生殖医学杂志,2025,34(12):1699-1705.