
疑难病例:胆囊炎后的淋巴结肿大
、淋巴结肿大2个月余,发现肝、脾肿大1周被收住解放军总医院。
、咳痰;无腹痛、腹泻
以及尿频、尿急等症状,未处理。第2天晨起体温恢复正常,当日晚发热再起,发热前有轻微寒战,体温最高达39.6℃。期间有右上腹疼痛,向后背放射。另有明显乏力、纳差、恶心,呕吐一次胃内容物。在当地医院行CT检查
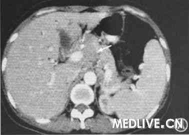
,发现腹腔多发淋巴结肿大(图1A),住院诊治。给予头孢唑啉钠、氧氟沙星
及地塞米松
治疗4 d,体温降至正常。此后未再发热。热退后即行腹腔镜
取淋巴结活检+胆囊切除术。术后病理诊断提示:慢性胆囊炎
,增生性淋巴结炎伴坏死。2个月后在当地复查腹部CT
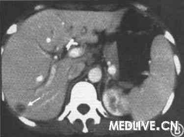
,提示肝、脾肿大。为进一步诊治收住我院消化科。![]() |
![]() |
、呕血,大、小便正常,体重下降5 kg。
行子宫次全切术。半年前患“过敏性紫癜”,治疗后好转。患者父亲曾患“急性单核细胞性白血病”,现已治愈。其他个人史和家族史无特殊。
,外侧有一小片直径约0.6 cm大小的出血斑。双侧颈后触及1~2个肿大淋巴结,约花生米大小,质软,无压痛。双侧腋窝及腹股沟可触及肿大淋巴结,直径约1.5~2.0 cm,无触痛,活动度可,余浅表淋巴结未触及肿大。心、肺、腹查体无异常发现。
137 min/1 h,C-反应蛋白
(CRP)正常;免疫球蛋白IgG 3.7g/L(正常范围0.7~1.6),类风湿因子
199万IU/L(正常<2万IU/L),抗核抗体1:1000阳性(正常<1:100),抗β2糖蛋白Ⅰ抗体阳性,抗心磷脂抗体
阴性;尿常规
正常,24 h尿蛋白定量阴性;D-二聚体
>20 mg/L;EB病毒及柯萨奇病毒抗体
">柯萨奇病毒抗体IgM阳性;嗜异性凝集试验
阴性;PPD试验
和结核抗体均阴性;各项肿瘤标记物均正常范围。
未见异常。胰腺CT:胰头体积增大,余未见胰管扩张;腹膜后淋巴结肿大并肝、脾肿大。纤维胃镜
及肠镜
检查未见明显异常。唇腺活检为正常唾液腺组织。
每日40 mg口服。
增生,符合castleman病,透明血管型。
或肝炎病毒感染早期也可以高热起病,而无局灶症状。经血清学检测,患者并无前述病原体的证据,而是出现了EB病毒及柯萨奇病毒的IgM抗体阳性。可见,患者存在EB病毒及柯萨奇病毒感染
。
转移所致;同样,腹股沟区淋巴结病常为下肢的感染或者损伤,也可为性传播疾病、淋巴瘤或癌症转移所致。对于深部淋巴结,通过CT等影像学手段可准确了解有无纵隔或肺门淋巴结肿大。原因不明的浅表淋巴结病如果伴随肺门或者纵隔淋巴结肿大多提示结核病、结节病
、组织胞质菌病、原发性肺癌或者转移癌。本例兼有多区域浅表淋巴结肿大和深部腹腔淋巴结肿大,支持全身性疾病。虽然病毒感染(有EB病毒抗体弱阳性,柯萨奇病毒抗体阳性的证据)能解释病变初期的发热,但患者的病史和体征并未提示局灶感染的证据;再者,患者的ESR明显增高,可能是对感染的反应,但是CRP这一更能体现急性感染的指标却正常-不支持全身感染的存在。而患者极高的免疫球蛋白IgG水平,一方面解释了ESR明显增高,另一方面可能是导致患者发病前出现紫癜的原因,第三,高球蛋白血症也可能是在初期局灶感染的基础上,机体启动了强烈的免疫反应,引起淋巴系统异常增生的结果。后者表现出来的弥漫性淋巴结病是某种自身免疫性疾病?还是恶性肿瘤?显著的高球蛋白血症,连同抗核抗体、类风湿因子、抗β2-GPI抗体等多项自身抗体阳性,补体C3水平下降,强烈提示系统性红斑狼疮、干燥综合征等自身免疫性疾病。但是患者临床上并无蝶斑、口腔溃疡、关节肌肉症状,无明显持续性口、眼干燥,既往也无反复自然流产
,动静、脉血栓形成的病史,不支持红斑狼疮,也不支持干燥综合征及其他弥漫性结缔组织病。最后,我们请病理学专家重新阅片,结合临床,确诊为castleman病。推测本例出现的高球蛋白血症和多项自身抗体阳性可能是本病引发强烈的免疫反应所致。|
诊断难点
发热和淋巴结肿大均为内科疾病中的难点,该患者出现了多种自身抗体阳性,很容易被误诊为结缔组织病,此时需要在全面收集病史和仔细查踢的基础上进行广泛的鉴别诊断。 启示 对于急性发热,首先要分清是感染还是非感染性疾病所致。当地医院在处理发热时采取的措施值得商榷:在发热原因未明的情况下,同时以抗菌药物和糖皮质激素 治疗,掩盖了疾病真相。虽然发热控制了,但是患者是感染性发热还是非感染性发热,这个问题被混淆了。本例患者最初的淋巴结病理结果为增生性淋巴结炎伴坏死。但是经过请病理专家重新阅片后,得到了不一样的诊断结果。这提示我们,对于少见病,有时病理结果也是值得“怀疑的”。此时,最好能联合病理学专家与临床专家的多方会诊。 |