罕见病例:Angelman综合征一例

来源:医脉通 2013.10.22
我要投稿

     Angelman综合征(Angelman syndrome,AS)又称“快乐木偶病”(happy puppet disease)是一种神经遗传性疾病。病例特点是愉快面容,严重运动、智力障碍,共济失调,肌张力低下,癫痫,语言障碍和以巨大下颌及张口吐舌为特征的特殊面容,易被误诊为失调型脑性瘫痪或精神发育迟滞。本文作者对其所在医院收治的1例以运动和语言发育落后为首发表现的Angelman综合征的临床、影像学、基因检测、康复训练情况进行总结并进行相关文献复习,期望有助于加强临床医生对Angelman综合征的了解。


病例报告  


患儿女,3岁11个月,因生后至今独走不稳,无有意义言语表达于1岁2个月起间断入住作者医院进行康复训练。该患儿系第二胎第一产,母孕41周顺产娩出,出生体质量2785g,母孕初期有先兆流产史,保胎治疗半个月,否认新生儿期窒息、病理性黄疸及抽搐史。自幼大运动发育落后:1岁会独坐,1岁11个月会四肢爬行,2岁4个月会独站、独走,后直至3岁10个月期间,独走时基底较宽,稳定性差,易跌倒。双手精细动作发育亦落后:2岁可玩具倒手及对敲,2岁6个月可拧瓶盖,现在可以拇、食指捏取,但不会搭积木,不会持笔画线。语言与认知发育落后:1岁可分辨生熟人,叫名字有反应,2岁4个月可无意识发“mama,baba”音,现在有“欢迎,再见及谢谢”等手势语表达,无有意义言语表达;可理解简单指令,不能区分大小、图形和颜色,不能指认五官及名词卡片。大运动及精细动作均可达到18个月水平,但是语言理解年龄约9-10个月水平,语言表达年龄约8-9个月水平,几乎没有进步。


患儿1岁8个月时热惊厥发作1次,2岁后出现无热惊厥,有多种发作形式,包括不典型失神发作、部分性发作、肌阵挛发作等,无癫痫持续状态,诊断为癫痫,开始口服抗癫痫药物治疗,调整抗癫痫药物左乙拉西坦至42mg/kg/d、丙戊酸钠40mg/kg/d后未再发作。


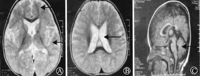
     查体:表情欣快,身高正常,头围小,下颌长,心、肺、腹无明显异常,四肢肌力Ⅳ级,肌张力偏低,深浅感觉粗测均无异常,腱反射正常引出,独走时步基宽,动作僵硬,稳定性差。实验室检查:血、尿、便常规,血生化及心电图未见明显异常,脑电图示以右侧后头部为主较多量多棘慢波发放。颅脑MRI示双侧侧脑室扩大,弥漫性脑沟深,脑回细,脑白质偏少,脑萎缩(图)。



     分子遗传学检测显示:患儿15q11.13母源片段丢失,关键区域微卫星位点(D15S542、D15S1234、D15S219、D15S217)仅可检测到单个与其父吻合的基因型;未发现患儿父、母亲的关键区域缺失。


讨论 


自1965年AS开始被认识后,随着病例报道不断增多,2006年Williams修订了AS诊断标准,但由于AS为相对少见的疾病,临床症状多样,大多数临床医生即便是专科医生也常对其认识不足,警惕性不高,易造成误诊和漏诊。目前已知引起AS的遗传机制共有4种。最常见的是15q11—13区段染色体微缺失,见于70%~75%的患者,多数缺失为新发的母源性15q11.13缺失,该患儿即为此型,而其父母基因均正常,推测可能为新发突变。


AS的各种遗传机制均存在UBE3A基因表达失败。UBE3A蛋白广泛分布于整个脑组织细胞中,包括树突和轴突,在细胞核内较为富集,作为甾醇类激素受体的共激活因子将会联合不同的转录因子继而结合DNA转录调控区,参与下游基因转录调控并影响神经元发育和可塑性。UBE3A基因突变造成了弓形纤维处白质发育早期崩解。弓形纤维是联系颞叶语言理解区和额叶语言运动区的白质,有证据表明,该纤维与语言和高级认知功能有关,左半球是语言的优势半球,MRI弥散加权成像(diffusion weighted imaging,DWI)弓形纤维像进一步证实了这一点嵋。DWI发现约6/7的AS患儿左半球缺乏弓形纤维,1/7左半球有部分弓形纤维,健康儿可以有右半球弓形纤维缺如,精神发育迟滞患儿两侧弓形纤维缺如。


此例AS患儿经过正规康复训练,现在能独走,双手能捏取,不能完成复杂活动,能理解并执行简单指令,可有“欢迎、谢谢、再见”手势语表达,不能指认五官及名词卡片,可无意识发“mama、baba”音,大运动及精细动作均可达到18个月水平,但是语言理解年龄约9~10个月水平,语言表达年龄约8~9个月水平,几乎没有进步。上述表现可能与AS患儿左半球弓形纤维普遍缺乏有关。由于AS患儿也表现严重的认知障碍,因而,此弓形纤维是与语言障碍关系更大,还是与全面的认知障碍有关,尚待进一步研究。


本文作者:青岛青岛市妇女儿童医院残疾儿童医疗康复中心神经康复科

病例来源:中国神经免疫学和神经病学杂志2013年7月第20卷第4期