
植入用缓释氟尿嘧啶致肉芽肿性炎误诊肝肿瘤一例
作者:江苏省苏北人民医院 金圣杰 柏斗胜 蒋国庆
患者男,61岁,因“胃癌
术后半年,体检发现肝占位两周”人院,患者半年前因胃癌在外院行“根治性全胃切除术”,术中植入氟尿嘧啶植入剂
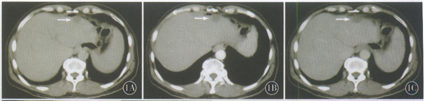
600mg(4mm×0.8mm圆柱状颗粒),2周前查CT发现肝占位性病变而就诊于我院。实验室检查:AFP 2.1 ng/ml,CEA l.6 ng/ml,CA199 3.2 U/ml。CT提示:肝左叶占位性病变,考虑肝转移性癌可能,病灶周围局部肠粘连(图1)。
CT检查
" width="600" height="144" border="0" hspace="0" vspace="0" style="width: 600px; height: 144px;"/>
图1术前CT检查1A:(平扫期)肝脏左外叶低密度病灶,与周围肠管粘连(箭头);1B:(动脉期)病灶强化不明显(箭头);1C:(静脉期)病灶仍表现呈低密度(箭头)
术前诊断为:(1)肝占位性病变:转移性肝癌?(2)胃癌术后。治疗:腹腔镜
下肝肿瘤切除术,术中见肝左外叶肿块处局部与膈肌粘连,分离粘连后见左肝与膈肌之间一大小约2.0 cm×2.5 cm的乳白色坏死病灶样肿块,取出肿块,术中超声检查确认肝脏未见其他肿块。术后病理学诊断:(左肝)病灶有肉芽组织增生、纤维组织增生包绕,中央见坏死组织。术后1周,患者痊愈出院。
讨论
5-氟尿嘧啶(5-fluorouracil,5-FU)是广泛用于消化道癌和乳腺癌
的抗代谢类抗肿瘤药物。20世纪90年代初,有学者认为肿瘤原发病灶切除后隐匿残留癌细胞对腹腔内化疗最敏感。后有学者提出间质化疗的概念,将抗癌药物载人到可降解或不可降解的赋形剂中制备成缓释药物系统,在植入部位持久保持局部高药物浓度,降低系统毒副反应,实现靶点给药的目的。2003年,植入用缓释氟尿嘧啶在中国上市,目前已经广泛应用于术中对消化道癌、乳腺癌和肝癌等的间质化疗。植入用缓释氟尿嘧啶用于腹腔间质化疗的并发症主要有化学性腹膜炎、切口感染、吻合口瘘、腹腔感染等,国内外少见报道。
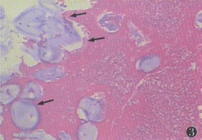
本例患者术中所见分析原因考虑为局部植入用缓释氟尿嘧啶剂量较大,药物被局部组织包绕后长时间代谢不全,从而导致组织坏死,并伴有肉芽组织增生、纤维组织增生包绕,形成肉芽肿性炎性肿块,术后得到病理证实(图2,3)。

图2术中腹腔镜所见的病灶处,右上角小图为病灶处取出的内容物;图3术后病理提示肉芽组织包绕的无结构物及黏冻样组织为坏死组织(箭头) HE×400
分析本例患者的诊治经过,带给我们经验和启示:
(1)胃癌等腺癌肝转移的患者CT检查增强早期可见病灶边缘强化、中心为低密度,晚期时相病灶边缘为低密度。本例患者CT检查结果增强早、晚期病灶无明显强化(图1),且结合病史术中有植入用缓释氟尿嘧啶的使用情况,诊断应考虑为植入用缓释氟尿嘧啶的局部并发症,但其相关报道少,所以导致术前误诊。
(2)对于疑诊单发的转移性肝癌病灶的治疗方案,一般治疗首选射频消融、酒精注射等局部治疗,本例患者病灶突出肝脏表面,并且局部有粘连肠管,所以经过多学科讨论后,没有选择局部治疗,而是行腹腔镜手术,本意是想以较小创伤安全切除病灶,且能明确病理,但结果反而是误打误撞明确了诊断,避免了后续的误诊误治。这给我们的教训是,转移性肝肿瘤的诊断确实要慎重、特别是影像学检查不典型的病例,最好是得到病理学诊断后再行下一步治疗。
(3)如何在以后的临床工作中预防此类并发症的发生,我们的体会是在放置药物时注意要均匀撒布在瘤床或网膜内,避免局部大量的堆积。尽管植入用缓释氟尿嘧啶是以生物组织相容性好的医用高分子聚合物作骨架,但是局部包绕可导致代谢不全,随着材料学的发展,使用纳米控释技术所制备的新型可降解药物载体能进人体循环顺利地通过任何血管达到靶部位,并可被细胞吸收,这是一种未来理想的靶向载体。