
301医院教学病例:肾素瘤-例2
患者一般信息及病史
青年男性,32岁。患者于2006年7月自测血压150/110mmHg,无明显头痛
、头晕,无双眼视物模糊,曾到阜外心血管病医院就诊,查立位PRA5.29ng/ml.h、AT-Ⅱ190.9pg/ml、ALD 141.1pg/ml,NE 0.25ng/ml、E<0.005ng/ml、DA<0.005ng/ml,生化示血钾3.4mmol/L;超声示双肾、肾上腺结构及血流未见明显异常;行眼底检查
示双视网膜动脉功能性狭窄(高血压眼底改变Ⅰ级)。未明确诊断,给予卡托普利
、硝苯地平治疗,患者未服用,期间未监测血压及血钾。2009年患者测血压170/110mmHg,开始口服硝苯地平缓释片
1片 1/日、卡托普利2片 2/日,服药不规律,未监测血压。2010年起患者测血压在180-190/120-130mmHg,继续口服硝苯地平缓释片 1片 1/日、卡托普利2片 2/日,未行进一步处理。2014年1月患者出现左眼视物模糊,曾到当地医院就诊,测血压180/130mmHg左右,遂于2014年1月22日来我院眼科就诊,诊断为左眼视力
下降原因待查 双眼高血压视乳头病变Ⅲ期,给予银杏叶提取物
1片 3/日;同时行生化示肌酐165.8umol/L、尿素
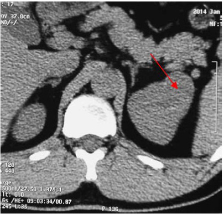
6.85mmol/L、钾3.21mmol/L;行肾上腺CT平扫
:左侧肾上腺增生;右侧肾上腺未见明显异常。双侧肾动脉超声目前未见明显异常。于心内科就诊,给予美托洛尔
47.5mg 1/早、硝苯地平控释片
30mg 1/早、螺内酯
20mg 1/早、培哚普利
4mg 1/日控制血压治疗2天,于我科就诊,测血压240/140mmHg,到急诊科治疗,查生化示肌酐161.3umol/L、钾3.05mmol/L,给予乌拉地尔
、硝酸异山梨酯注射液
治疗,血压在160/110mmHg左右。2014年1月28日于我科复诊,调整为美托洛尔47.5mg 1/早、硝苯地平控释片30mg 2/日 特拉唑嗪
2mg 1/8h治疗,测血压在170-220/110-130mmHg。患者为进一步诊治收入院。
检查结果
查体
血压:240/160mmHg,BMI:27㎏/㎡。双肺呼吸音清,未闻及干湿性啰音及胸膜摩擦音。心率98次/分,律齐,各瓣膜听诊区未闻及杂音。腹平软,无压痛、反跳痛,肝脾肋下未触及。
辅助检查
1、 病程中血钾和相关治疗的变化

2、生化检查示(2.21):血肌酐142.9umol/L,尿素6.45mmol/L,血钾2.53mmol/L,血钠138.2mmol/L。
3、血气分析:Ph 7.468,二氧化碳分压42.4mmHg,实际碳酸氢根30mmol/L,剩余碱5.7mmol/L。
4、 24小时尿蛋白3.27g。
5、皮质醇节律和尿UFC

6、卧立位实验

7、 开博通
实验

8、门诊肾上腺CT平扫

9、泌尿系超声示
⑴左肾上部不均质回声肿块,大小约4.1㎝×3.1㎝×3.9㎝,边界尚清,形态欠规则,CDFI示其内可见血流信号。
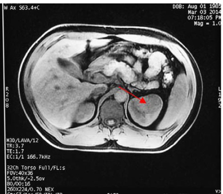
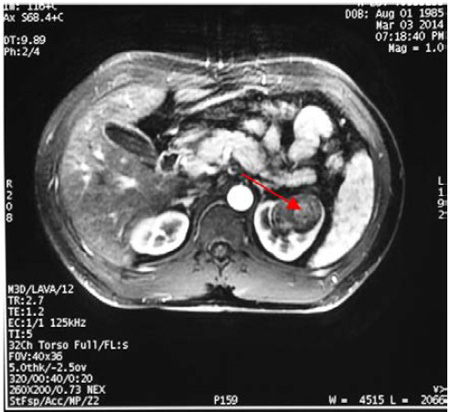
10、双肾磁共振平扫
+增强


诊断与治疗
病例特点
1.青年男性,病情逐渐进展;
2.重度高血压伴低血钾,3联降压药治疗效果差,低血钾不易纠正;
3.出现眼底、心脑血管、肾脏等并发症;
4. 实验室检查:高肾素活性
、醛固酮;影像学提示左肾占位性病变;肾血管未见异常;
5.开博通实验服药后血压迅速下降。
6. ACEI治疗有效。
诊疗思路
患者因高血压、低血钾住院,入院后查卧立位试验
提示高肾素、高醛固酮,查双肾超声及双肾MRI提示右肾上极存在占位,临床诊断主要考虑肾素瘤。临床上需要鉴别肾性或肾血管性高血压,肾血管性高血压一般表现为中重型血压升高,一般对降压药物效果不佳,有时呈急进性或恶性高血压,上腹部脐周和腰背部有时常可闻及收缩期或连续性血管杂音
。患者无大动脉炎
、纤维肌性发育不良等基础疾病,ACE-I类药物降压效果较好,因此肾和肾血管性高血压可能性不大。患者进一步确诊可以行肾上腺静脉取血。但患者存在肾功能不全,血压仍有波动,考虑患者意愿以及取血静脉造影可能对肾功能有不良影响,建议手术切除占位,随访患者血压、血钾情况再行决定进一步检查及治疗方案。
诊断
肾素瘤
治疗
(1)建议于泌尿外科手术治疗;
(2)选用ACEI类药物降压效果佳。
病例点评:(窦京涛教授)
1、肾素瘤又称肾球旁细胞瘤、原发性肾素增多症、肾素分泌瘤,多起源于肾小球旁细胞。生理条件下,球旁细胞可受到肾血流调节,合成、储存肾素并将其分泌入血液循环,通过RAAS系统调节机体血压、血容量和电解质平衡。肾素瘤可以释放大量肾素,激活RAAS系统和继发性醛固酮增多症
,从而导致高血压、低血钾和碱中毒。
2、肾素瘤十分罕见,到目前为止世界范围内所报道的肾素瘤仅100余例。
3、根据国内外的报道,本病多发生于青年,发病高峰在20-30岁,主要表现为高血压、低血钾、高肾素和继发性醛固酮增高。高血压常为首发症状,且通常为较难控制的中重度高血压,ACE-I类降压药效果较好。此次报告的两例病历基本符合上述表现。
4、B 超和CT是最常用的影像检查手段。B超检查病变可表现为肾皮质内低或中强各种回声。本次报告的第二例患者可能由于存在瘤体内的出血而显示不均质回声。CT平扫+动态增强扫描是有效的定位诊断方法,敏感性接近100%。CT平扫常表现稍低至等密度,增强后在动脉期常与肾实质其他部位一致,但在门脉期或延迟期可有轻-中度强化而与周期肾实质存在差异。
5、病理大体上多位于肾皮质,边界清楚,切面浅黄至灰白色(如病例1),免疫组化染色CD34(+),Actin(HHF35)是较为特异性的指标。
6、治疗上手术是最有效的方法,血压过高可选用钙离子拮抗剂、血管紧张素转换酶抑制剂及安体舒
通等,同时补充氯化钾
。术后多数患者血压、血钾、血浆肾素均恢复正常,部分血压不能完全恢复。
本病例由中国人民解放军总医院内分泌科供稿,并由迈德医学支持生产,未经书面许可,任何人不得转载、摘编,否则必须承担一切法律后果!
301医院内分泌科致内分泌医友的信(点击可查看)