结核病及其相关疾病

来源: 2014.11.17
我要投稿

北京青年呼吸学者沙龙2014年第3次活动于2014年4月24日在中华医学会举行,主要对结核病及其相关疾病进行探讨,本次沙龙活动由首都医科大学附属北京胸科医院陈效友主任医师主持。


陈效友(北京胸科医院):本期呼吸沙龙的主题是结核病,主要对结核合并相关疾病导致结核不典型的病例进行探讨,包括糖尿病合并肺结核、HIV合并肺结核、肾移植术后合并结核、部分影像不典型的肺结核以及如何判断肺结核是否活动等。


首先介绍一下糖尿病合并肺结核的一些特点。我国糖尿病发病人数逐年增加,糖尿病患者的肺结核患病率较血糖正常者高3~10倍,糖尿病的存在提高了肺结核复发的风险。近年来,肺结核合并糖尿病的发病率每年以24.75%的速度递增,在我国两病并发为16%~24%。糖尿病并发肺结核中,有70%~80%是以糖尿病先于肺结核,其次为同时发现。


糖尿病对肺结核的不良影响要大于肺结核对糖尿病的不良影响。肺结核合并糖尿病患者在临床症状、胸部影像学、痰菌阳性率、治疗效果等方面与非糖尿病肺结核有所不同。(1)临床症状:肺结核合并糖尿病患者起病常较急、较重,亚急性表现,有发热,常被误诊为急性肺炎或肺化脓。咳嗽可不剧烈、痰少甚至无痰,咯血较多见,可为首发症状。(2)影像学表现:与非糖尿病结核表现不同,糖尿病合并肺结核影像学表现往往不仅局限于上叶尖后段及下叶背段,下叶、中叶亦较常见,密度以渗出及大片干酪实变为主,空洞的发生率高。(3)痰菌阳性率高:原因可能是高血糖状态有利于结核菌的生长,机体的免疫力受损导致机体对结核菌的清除能力下降。(4)化疗:糖尿病合并肺结核的化疗方案与非糖尿病合并肺结核相同,但疗程通常不少于12个月,取得满意抗结核疗效的前提是糖尿病的管理恰当。


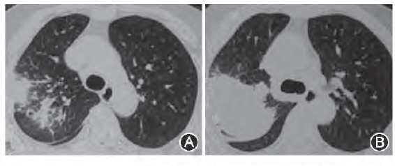
病例1:青少年男性,15岁,以“咳嗽、发热1个月”起病,伴胸闷气短、乏力。既往有1型糖尿病史13年,给予胰岛素控制血糖,入院查血红蛋白">糖化血红蛋白12.7%,痰菌阳性,血抗结核抗体阳性,TB—SPOT(SFCs/106 PBMC):A 616;B 96均为阳性,胸部CT示病变较广泛,上中下叶均受累,双肺多叶多段病变,多种病变形态共存,有空洞及干酪实变(图1)。

 

图1 胸部CT示病变较广泛,上中下叶均受累,双肺多叶多段病变,多种病变形态共存,有空洞及干酪实变


谢汝明(北京地坛医院):首先艾滋病合并肺结核患者的影像特点是病变部位不典型,呈多叶多段分布,亦可见于中叶及下叶基底段。以渗出性病变为主,多种病变形态共存。


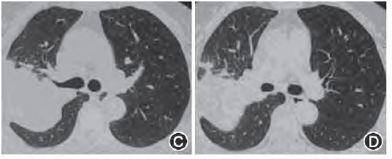
病例2:男34岁,抗HIV抗体阳性,确诊实验阳性。CD4+T细胞:40细胞/ul(正常参考值:706~1 125细胞/ul),痰抗酸染色:++++。胸部CT:双肺弥漫性粟粒影,右上叶前段、中叶有斑片样实变,主要为渗出性改变,同时存在血行播散性肺结核及继发性肺结核、淋巴结核。CT增强扫描淋巴结不强化或环形强化(图2)。

图2 胸部CT示双肺弥漫的粟粒影,右上叶前段、中叶有斑片样实变,主要为渗出性改变,同时存在血行播散性肺结核及继发性肺结核、淋巴结核。CT增强扫描淋巴结不强化或环形强化


另外,艾滋病患者进行高效逆转录病毒治疗后易发生免疫重建炎性综合征(inlnlllne reconstitution inflammatory syndrome,IRIS),抗病毒治疗后CD。数量增加,结核病变反而加重,或肺里产生新的机会性感染病变,发生率为19.7%,一般发生在抗病毒治疗3个月内,平均时问是1个月。继续进行抗结核和抗病毒治疗,结核病变3个月内逐渐吸收缩小。


胡艳(北京大学第一医院):刚才提到糖尿病合并结核患者肺部病变空洞较多见,而艾滋病合并结核则以播散病变及渗出多见,空洞较少,是否存在这种规律?


谢汝明:文献报道艾滋病合并结核空洞少见,但不是没有。


陈效友:糖尿病合并肺结核多数为大片干酪样病变,较容易出空洞,而且是无壁空洞多见,或称之为虫蚀样空洞。


陈文慧(北京朝阳医院):我想问一下肺腺癌在影像上可能出现肺炎样病变,也可能有虫蚀样空洞,请问如何与结核病变的虫蚀样空洞进行鉴别?我们收集了一些表现为虫蚀样空洞的病例,发现黏液腺癌居多,病理上坏死少见。


谢汝明:两者的病理基础不同,结核实变增强时病灶中心无强化,但肺癌表现为炎性实变时,可见明显强化,肿瘤的病变少见坏死组织。


牟向东(北京大学第一医院):黏液型细支气管肺泡癌,大多无空洞,多为磨玻璃样实变影,但一些多发结节病变,其中可能伴随一些空腔。有一点比较明确,虫蚀样空洞很少出现在肺癌中,还是多见于结核病变。另外肿瘤的空洞壁较厚,薄壁空洞极少见。


巫琳(北京朝阳医院):病例3:男性患者,52岁,主因“肾移植术后9年余,反复发热4个月,加重2周”入院。患者于9年前行右侧异体肾移植术,规律服用FK506+骁悉+泼尼松治疗。5年前超声提示移植肾肾盂积水并扩张,未予特殊处理。4个月前无诱因出现高热伴畏寒、寒战,最高体温40℃,拟诊“泌尿系感染”,给予抗感染治疗好转,但发热反复出现,伴血肌酐逐渐升高至279.8 umol/L。既往银屑病20余年,曾用大量中药治疗(具体不详)。入院时患者意识清楚,贫血貌,生命体征平稳,双肺可闻及少量痰鸣音。腹部CT平扫显示右侧肋缘下有一个梭形的软组织影,原肾萎缩,移植肾体积有所增大,肾盂肾盏轻度扩张。血常规:白细胞21.42 x 109/L,中性粒细胞0.93,血红蛋白71.0 g/L;尿常规:白细胞186个/HP,尿蛋白1.5 g/L;肌酐279.8 umol/L,尿素氮16.75 umol/L。诊断:(1)复杂性泌尿系感染——脓毒症;(2)移植肾肾病;(3)右肋缘下异常回声——血肿?


诊治过程:留置尿管,留取血、尿培养,抗感染、补液、补充白蛋白、利尿等对症治疗。感染科会诊建议:(1)抗感染;(2)完善血培养、心脏彩超除外感染性心内膜炎;(3)完善腹部增强CT,必要时外科引流;(4)反复送检尿培养。入院后患者疴隋进一步加重,呈端坐位,喘憋、呼吸困难,双肺湿啰音。急查心肌酶阴性,脑钠肽(BNP)17 583 ng/L;肌酐461 umol/L,胸部CT提示双侧胸腔积液、双下肺局限性肺不张,考虑急性左心衰竭、肾功能不全。患者感染控制不佳的原因分析:(1)抗生素未覆盖病原菌;(2)引流不畅;(3)血流感染;(4)腹壁脓肿。调整抗生素、转入RICU,无创通气CPAP模式,并予输血、补充白蛋白、利尿治疗,患者喘憋症状显著改善。复查腹部CT:移植肾体积较前增大,肾盏、输尿管较前明显扩张,右肋缘下梭形软组织密度影较前明显扩大。行右肋缘下穿刺抽出黄白色脓液20 ml送检病原学检查。降钙素原55.82 ug/L,血培养:溶血葡萄球菌(MRCON),尿培养:细菌、真菌培养阴性;痰涂片可见真菌孢子及假丝,T—SPOT阴性,尿普通细菌涂片大量G+杆菌,尿抗酸染色阳性,脓液抗酸染色阳性,尿结核分枝杆菌核酸检测阳性。诊断泌尿系结核合并血流感染,给予抗结核治疗并腹壁脓肿切开引流,患者疴隋逐渐好转出院。该病例总结早期没有对腹壁脓肿予以足够重视,未及早地考虑到分枝杆菌感染的可能,导致诊断延误。


陈效友:结核病的高危人群主要有罹患糖尿病、肿瘤、血液病、HIV、器官移植术后等导致机体免疫力受损疾病,早期诊断主要依据标本抗酸染色阳性,同时需要进行PCR检测,如果涂片阳性,PCR阴性,需要考虑非结核分枝杆菌(NTM)感染的可能。另外,肾移植术后患者进行抗结核治疗,需要定期进行血药浓度监测。


胡艳:病例4:女性患者,68岁,主因“问断咳嗽45 d”入院。患者于45 d前无诱因出现咳嗽,表现为干咳,25 d前伴咳痰出现,为铁锈色痰,血常规:白细胞11.54 x 109/L,中性粒细胞0.86,血红蛋白1189/L,胸部CT示右上肺实性团块。血清肿瘤标志物:胃泌素释放肽前体78.83 ng/L(正常值<50 ng/L),余指标无异常,给予莫西沙星(400 mg/d)静脉滴注14 d,咳嗽咳痰明显缓解,痰由铁锈色转为黄色。支气管镜下可见右肺上叶各段支气管开口狭窄明显,可见炭末沉着,尖段支气管开口闭塞,右肺余支气管及左肺各级支气管未见明显异常。右肺上叶活检标本病理报告:未见癌细胞。CT引导下经皮肺穿刺标本病理报告:问质纤维组织增生伴较多慢性炎症细胞浸润及肉芽肿形成,抗酸染色阴性。拟诊肺结核,收住院。既往有高血压病史10年,幼年曾患“气管炎”。体检:右肺可闻及散在湿啰音。


入院查血常规无异常,ESR为57 mm/1 h,T—SPOT (SFCs/106 PBMC):A 15,B 11,PPD试验(++),痰培养:抗酸杆菌及真菌均为阴性,自身免疫病相关检查指标阴性,复查支气管镜:右B1支气管闭塞,右B2支气管狭窄,右上叶支气管开口色素沉着,右B1及B2支气管冲洗液:抗酸染色、瘤细胞、细菌培养未见明显异常,右B2支气管冲洗液真菌培养示白色念珠菌。右B1及B2黏膜活检病理报告:支气管非坏死性肉芽肿性炎,病原体染色阴性。胸部CT示右上叶尖段斑片结节影伴有空洞形成,右上叶后段大片实变影(图3)。拟诊肺结核,诊断性抗结核治疗(HRZE),1个月后复查x线胸片示右肺病变较前吸收好转。


图3 胸部CT示右上叶尖段斑片结节影伴有空洞形成,右上叶后段大片实变影

我的问题是该患者肺结核诊断能否成立?T—SPOT在结核病诊断中的价值?


谢汝明:该患者胸部CT示右上叶尖段斑片结节影伴有空洞形成,右上叶后段肺实变影,从影像表现首先考虑肺结核,结合穿刺物病理结果为肉芽组织,肺结核诊断成立。


林明贵(解放军309医院):我同意诊断肺结核,该患者肺内大片实变的相应支气管开口阻塞,除了口服抗结核药物治疗外,还需要积极进行支气管镜介入治疗,尽早改善阻塞的支气管,使其引流通畅,这样可以缩短疗程。


刘国梁(中日友好医院):该患者无结核病典型症状,结核相关检查亦为阴性,不支持结核诊断,按机化性肺炎(COP)治疗更合适。COP可以是实变、团块、病变可以沿胸膜走行。


牟向东:COP是细支气管腔内和肺泡腔内的肉芽组织,肉芽组织和肉芽肿病理表现不同。该患者存在诸多征象支持结核诊断,如影像上表现为树芽征和空洞、ESR增快、PPD阳性、TB—SPOT阳性以及支气管色素沉着。COP是细支气管病变,不会影响到大气道,该患者肺不张累及支气管,恰恰能用结核解释,同时,抗结核治疗病变明显缩小,所以肺结核诊断成立。另外,COP和结核的治疗恰恰相反,COP需用激素治疗。


邵池(北京协和医院):我同意牟大夫的意见,我认为该患者是一个慢性炎性疾病,支气管黏膜炭末沉积,可能是陈旧结核病变。慢性疾病形成肉芽肿的很多,只要被巨噬细胞吞噬并能在胞内生长的病原体,经过一段时问的慢性感染都可能形成肉芽肿。利福平是一种广谱抗生素,抗结核治疗有效不排除利福平发挥其抗菌作用。因此,该患者结核诊断依据不足,但一定是慢性感染性疾病。


陈效友:我同意诊断结核,另外还需要说明几个问题:第一,PCR阴性不能除外结核,同样痰菌阴性亦不能除外结核,因此,这些结果的阴性不是除外结核的有力证据。第二,影像上肺体积没有缩小,实变影不能仅用肺不张解释。第三,抗结核治疗明确有效。关于T—SPOT在结核病诊断中的价值,其阳性仅仅说明机体存在MTB感染,就目前的文献报道,尚不能诊断活动性结核。


梁瀛(北京大学第三医院):病例5:女性患者,31岁,因“反复发热伴淋巴结肿大10余年,再发10余天”入院。患者于10余年前出现发热,最高体温39.7℃,伴寒战,颈部、腋窝及腹股沟淋巴结肿大、压痛,淋巴结活检病理报告:坏死性淋巴结炎,激素治疗后好转。3年前再次出现上述表现,淋巴结活检病理报告:坏死性淋巴结炎。抗感染治疗后好转。10余天前受凉后出现发热,最高体温39.4℃,伴咳嗽、咳痰,血常规:白细胞2.1×109/L,B超示颈部及右侧锁骨上窝淋巴结肿大,皮髓结构不清。胸部CT示纵隔多发淋巴结肿大,部分融合、液化坏死。外院予盐酸头孢吡肟+甲泼尼龙(40 mg,2次/d),体温正常,甲泼尼龙减量(40 mg,1次/d),患者再次出现高热。辅助检查:T—SPOT、痰抗酸染色阴性。结缔组织病相关检查未见明显异常。ESR为57 iron/1 h,铁蛋白升高(1 638 ug/L)。PET—CT右锁骨上窝及纵隔多发摄取增高的淋巴结。抗感染及激素治疗不理想。TBNA病理:大量坏死伴多量中性粒细胞,未见肉芽肿形成及明显组织细胞增生,抗酸染色阳性,结核PCR阳性。支气管黏膜活检病理抗酸染色可见大量抗酸染色阳性的杆菌。诊断:淋巴结核。


问题:(1)前两次坏死性淋巴结炎能否诊断?能否用一个疾病来解释?如果前两次为坏死性淋巴结炎,与本次结核性淋巴结炎有何关系?几次起病是否存在关联?(2)对不明原因发热,临床上细菌感染证据不突出时,诊断性抗感染的药物选择?疗程?是否都需要用到顶级抗生素?


谢汝明:该患者前两次病理诊断为坏死性淋巴结炎,而近期影像表现为纵隔多组淋巴结肿大,PET—CT代谢增高,提示近期的淋巴结肿大为增殖性病变。因此,我认为前两次淋巴结肿大与近期的淋巴结肿大不是同一类疾病。既往应用激素治疗好转,近期淋巴结肿大可能系激素治疗后机体免疫力降低,继发淋巴结核可能。


刘国梁:发热待查尽可能不用抗生素及激素,除非有充足的感染或病原学证据。坏死性淋巴结炎可能是反应性的,不一定是结核。


闰巍(北京大学第三医院):病例6:男性患者,40岁,主因“鼻塞、流涕20 d,伴发热10 d”收住院。患者于20 d前受凉后出现鼻塞、流涕,为黄脓涕,无发热、咳嗽、咳痰。x线胸片示右肺中外野片状高密度影,诊断为“肺炎”,给予左氧氟沙星(400 mg/d)静脉滴注5 d,症状无明显好转。10 d前患者出现午后及夜问发热,体温波动于37.3~37.8 ℃。血常规正常,胸部CT示双肺多发大小不等高密度影,考虑双肺炎性病变可能入院。既往史:2007年3月低热、盗汗,发现双肺结节,在北京肿瘤医院行CT引导下经皮肺穿刺活检,病理报告:坏死性肉芽肿性炎伴部分干酪性坏死,诊断“肺结核”,规律抗结核治疗1年,病变痊愈。2008年8月复查X线胸片发现病变进展,再次规律抗结核治疗1年后痊愈。辅助检查:血常规正常,ESR为23 mm/1 h,C反应蛋白为24.75 mg/L(0~3)。痰涂片:G+(++),G(++),痰抗酸染色涂片阴性,结核抗体阴性,TB—SPOT阴性,感染相关检查均为阴性,血清肿瘤标志物检测正常,免疫相关检查阴性。经皮肺穿刺病理报告为纤维结缔组织呈坏死性肉芽肿性炎,未见肿瘤性病变,抗酸染色找到1个可疑抗酸杆菌,PCR检测结果阴性,转北京胸科医院确诊肺结核。


问题:患者共有3次出现肺内病变,每次肺内病变团块均为多发,前2次均经过规律抗结核治疗,病变完全吸收。该患者肺内病变未出现空洞性病变,病变形态不典型,病理检查抗酸染色仅找到1个抗酸杆菌,能否诊断结核?


谢汝明:该病例诊断相对困难,影像表现为双肺多发团块,结核征象不典型,建议行增强CT,如果病变不强化,再结合临床表现,可以诊断结核。如果病变强化,结核需要进一步除外,单从影像表现该患者诊断困难。


牟向东:病变反复出现与前一次类似,考虑是一种疾病的可能性极大,该患者胸部CT表现为多叶多段多形态改变,符合结核影像特征,结合病理表现为肉芽肿伴坏死,组织中抗酸染色阳性的意义很大,当然,需要除外污染可能,我认为结核可以诊断。


陈效友:首先,该患者影像学表现有一些结核的特征,建议行胸部增强CT,如果病变无明显强化进一步支持结核诊断;其次,该患者T—SPOT阴性不能完全除外结核的诊断,文献报道T—SPOT敏感度为62%~95%;最后,该患者组织标本中找到1个抗酸杆菌意义非常大,肉芽肿性病变中的结核菌的数量远比痰标本中结核菌的数量少,同时获取的组织标本体积有限,抗酸染色阳性支持诊断。因此,该患者结核诊断可以成立。


刘国梁:该患者病变进展有没有可能是类赫反应?


陈效友:类赫反应的发生机制是结核菌在短时问内被大量杀灭,被杀灭的结核菌体成分作为抗原引起机体的过敏反应,可以表现为原有病变的进展,相应引流区的淋巴结肿大,甚至出现胸腔积液,继续原方案治疗,病变会好转。其前提是有利福平这类杀菌药物的参与治疗,而且在短时问内出现,一般抗结核治疗2周可以出现,多见2~8周之问,文献报道最长可以出现在抗结核治疗后3个月,超过3个月者极罕见。该患者的情况不属于类赫反应。


林明贵:我今天介绍的病例属于结核病活动性的判断,因为有时结核诊断明确,但是否需要抗结核治疗,疗程多长难以确定。


病例7:男性患者,50岁,2009年2月因“咳嗽、咯痰并低热1个月”,胸部cT示肺部多发病变,并伴空洞,痰菌阳性,诊断“肺结核”,给予抗结核治疗1年后复查胸部CT肺内病变无明显变化,继续抗结核治疗3年,痰菌阴转,各项化验如ESR、C反应蛋白等均正常,但肺内病变的影像变化不大,停药。2014年起逐渐出现声嘶、咳嗽、咯痰,无低热、全身乏力等症状,2014年2月经喉镜检测并活检证实为喉结核,入我院后痰菌检查阳性,肺部CT示双肺病变增多,证实结核活动。


病例8:男性患者,30岁,自2009年起问断咳嗽、咯痰,无低热、盗汗、咯血、消瘦等症状。胸部CT示双上肺结节及斑片影,病变密度较高,PPD阳性(+),ESR、C反应蛋白均正常,痰菌阴性,未予抗结核治疗,患者自2014年2月起咳嗽、咯痰明显加重,1个月后出现胸闷、胸痛,偶有低热、盗汗,复查胸部cT示病变明显增多,伴空洞形成,同时出现右侧胸腔积液。


以上2份病例提示结核病变的活动性判断有时非常困难,过早停药可能会导致疾病再次活动。


谢汝明:从胸部影像角度,国内外文献判断结核病变活动性主要集中于3点:(1)渗出性病灶;(2)是否伴有空洞形成;(3)播散性病变的影像存在,如树芽征等。从病例7停药时的肺部CT可见斑片结节阴影,有树芽征表现,同时有空洞存在,停药时的病变存在活动眭病变。


牟向东:按推论影像学出现新发病灶、与原来病灶有相似之处,而且如影像支持结核诊断的话,我觉得结核有活动,应该动态观察。


胡艳:第2个病例要不要提早治疗?刚开始发病肺内病灶确实较陈旧,临床亦无结核活动证据,辅助检查指标阴性,有可能是结核菌处于休眠状态。此时给予抗结核治疗可能效果不佳,与其抗结核治疗,不如让患者好好休息、增加营养。由于我国结核病患者多,药物性肝炎时常发生,过度治疗可能会出现药物不良反应。


陈效友:有关肺结核肺内病变活动性判断,作为临床医生需要依据如下几点来综合判断:(1)临床症状的有无,如发热,尤其是午后低热、乏力、盗汗等全身症状以及咳嗽、咯痰、咯血、胸痛及呼吸困难等呼吸道症状。(2)影像学评价:重点是观察病变的形态、密度、有无病变的进展、是否有可吸收病变及空洞的发生、发展及动态变化。(3)细菌学证据:痰菌是否阳性,核酸扩增是否阳性等。其实肺结核病变的活动性评价与停药时机的把握紧密相关,停药的时机需要在上述几点均具备的基础上,同时抗结核治疗的疗程完整。当然,部分病例病变的活动性难以准确判断,是否治疗还需要结合患者既往是否治疗或是否规律治疗、是否存在或短期内可能存在一些导致结核病变活动的危险因素,如首次发现、老年、儿童、营养不良、合并相关疾病以及近期需要的治疗会引起免疫功能低下等来综合分析。


结核病,尤其肺结核不仅是结核病专科医师需要天天面对的问题,同时也是综合医院呼吸科医师经常会面临的问题,希望大家一起携起手来,对结核病及早地发现、尽早地进行合理治疗,对控制结核病、预防耐药结核病的发生至关重要。