
童心协例病例分享 | 多学科综合治疗治愈肝母细胞瘤肺转移晚期患儿
撰稿:黄俊廷 审核:甄子俊 刘钧澄
中山大学肿瘤防治中心儿童肿瘤科
病例简介
1.基本情况:
患者,女性,5岁。
主诉:体检发现肝占位4个月。
2.现病史:
患儿2011年6月因口腔疱疹看病,B超检查发现肝内占位性病变,无腹痛、恶心、黄疸
等不适,家属未予重视。
2011年10月2日在深圳市儿童医院行上中腹部CT
示:右侧腹部巨大占位性病变,约9.8×9.0×8.6cm。
3.既往史:无肝炎等病史。
4.家族史:无特殊。
5.体格检查:
右侧腹部可及一约10cm×9cm巨大包块,质硬,肝右肋下约6cm,肝向左移位至左肋下约3cm。余检查未见异常。
6.相关检查结果:
血常规
、生化常规、尿常规
、大便常规
、常规心电图
未见明显异常。
肿瘤标记物:甲胎蛋白(AFP)>121000ng/ml(0~25 ng/ml)。
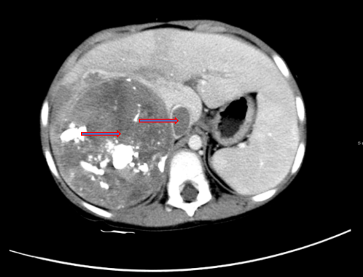
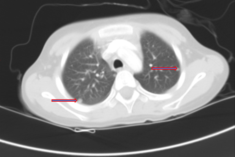
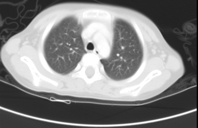
胸部+上下腹部CT检查:肝右叶增大,右后叶可见软组织影,约9.8×9.0×8.6cm,边界欠清晰,密度不均匀,其内可见钙化灶,增强扫描不均匀强化,考虑肝母细胞瘤;下腔静脉内低密度影,考虑瘤栓;双肺多发结节影,长径约2~11mm,边界清晰,考虑转移瘤;前纵膈软组织影,考虑未退化胸腺组织。


图1 胸部+上下腹部CT
7.诊断:
肝母细胞瘤伴下腔静脉瘤栓、肺转移(高危)
8.治疗计划:
新辅助化疗 → 手术→ 辅助化疗。
9.治疗过程:
本病人因肿瘤巨大,伴下腔静脉瘤栓,手术风险大,外科医生评估后暂不能做手术切除。予B超引导下肝脏病变穿刺活检术。
病理:肝脏占位性病变穿刺组织符合恶性肿瘤,考虑肝母细胞瘤。
此患者首选化疗:方案:AP( THP +DDP±VCR )

图2 化疗前后肿瘤标记物的变化
2程化疗后复查CT示:肝右叶病灶缩小,约7.1×8.0cm,肝右静脉、下腔静脉内病灶,双肺转移瘤病灶范围较前缩小。
4程化疗后于复查CT:肝肿物较前缩小,大小约6.2×6.9×7.7cm,右肺上叶尖段小结节,考虑转移瘤可能性大,疗效SD。

图3 两程化疗后复查CT
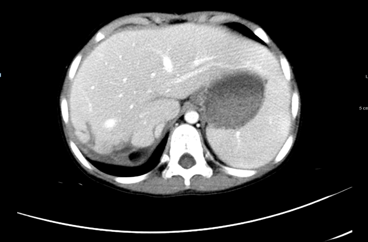
2011年1月19日于中山一院行“右半肝切除+下腔静脉瘤栓去除术”。
术后病理示:肝母细胞瘤。

图4 手术后CT
2012年2月14日继续予DDP+VCR+THP方案化疗1个程。
后考虑患儿已连续吡柔比星化疗6程,心脏累积毒性大,2012年3月6日~2012年4月11日改行CBP+VCR+5-Fu方案化疗2程。
末次化疗后全面复查CT肺部病灶消失。

图5 术后辅助化疗后肿瘤标记物的变化

图6 末次化疗后复查CT
10.随访:
该患者2012年5月起予Xeloda维持治疗半年,半年后停药观察。
治疗后患者定期返院复诊。
患者长期随访,无病存活至今。
点评
本例为晚期高危肝母细胞瘤瘤患者经综合治疗的成功案例,肝母细胞瘤对化疗敏感,化疗后肿瘤缩小进行手术切除,再予以辅助化疗,虽然晚期转移患者预后较差,总体仍有30%的无病生存率。
儿童腹部肿瘤中15%是原发性肝肿瘤,其中66%是恶性肿瘤,最常见的是肝母细胞瘤。由国际四大主要研究中心组成的儿童肝脏肿瘤国际合作中心(The Children's Hepatic tumors International Collaboration, CHIC)的一项研究中综合了4大研究中心的8个多中心研究里25年共1605例儿童肝母细胞瘤的数据,提出PRETEXT IV期、年龄>8岁、AFP<100ng/ml、远处转移、血管侵犯、多发肿瘤和初诊时肿瘤破裂是主要预后不良因素,定为高风险亚组,诊断时疾病广泛,治疗反应差,生存较差。
对于高危肝母细胞瘤,即便现有化疗方案的改进及肝移植
手术的成熟已大大提高这类患儿的生存率,5年生存率仍只有30%左右。SIOPEL近年来开展的临床研究确定由剂量强化型以顺铂
为基础的密集化疗,并在化疗后对这些患者采用手术治疗尽可能切除所有残存的肿瘤病变(如果需要的话也可以进行肝移植和转移瘤切除术)。结果生存有了较大的提升,3年无事件生存率为76%,3年总体生存率为83%。对于难治复发患者,则可考虑参加临床试验,接受靶向治疗等。
肝母细胞瘤早期症状不明显,通常有症状时肿瘤已经较大,最常见的体征是摸到腹部肿物,一旦发现腹部肿块需要及时就医。肝母细胞瘤的诊治需要手术和化疗的综合治疗,早期患者预后较好,晚期患者相对较差,但仍有部分能有治愈希望,建议咨询的儿童肿瘤专科,制定最适合的MDT多学科综合治疗方案。
