
熟悉的剧痛,陌生的瘫痪:一位主动脉夹层幸存者的二度危机丨医起推理吧
作者:王玉
伟
本文为作者授权医脉通发布,未经授权请勿转载。
01
起病
清晨六点半,六十岁的他从睡梦中醒来,习惯性地伸了个懒腰。
就在双臂舒展的瞬间,一阵熟悉而恐怖的撕裂样剧痛猛地袭上胸膛,宛如十年前那场梦魇重现。
他从30多岁起就患有“高血压
”,且血压一直控制不佳;10年前,他突然出现持续的撕裂样胸痛
,被诊断为“主动脉夹层
”,并接受了“主动脉支架植入”手术。
那次经历刻骨铭心,此后每一次胸痛都让他心有余悸,尤其当疼痛如此剧烈时,他总会怀疑是否夹层复发。
令他惊疑的是,这次剧痛仅持续了数秒便如潮水般退去。
他刚想松一口气,更可怕的事情发生了:他感觉双下肢无力、麻木,起初还能勉强扶着墙挪动几步,不过十几分钟,他已经无法站立;麻木感如无形的绳索向上蔓延,越过膝盖、大腿,直至双侧肋缘以下,仿佛将身体拦腰截断。
家人立即将他送往医院急诊科。
02
排查
经急诊医师查体,患者血压144/80mmHg,神志清楚,言语流利,心肺听诊无明显异常,双上肢肌力正常,双下肢肌力0级。
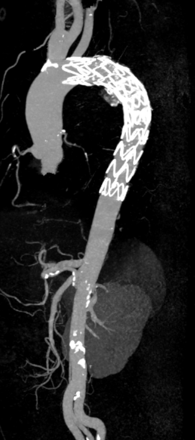
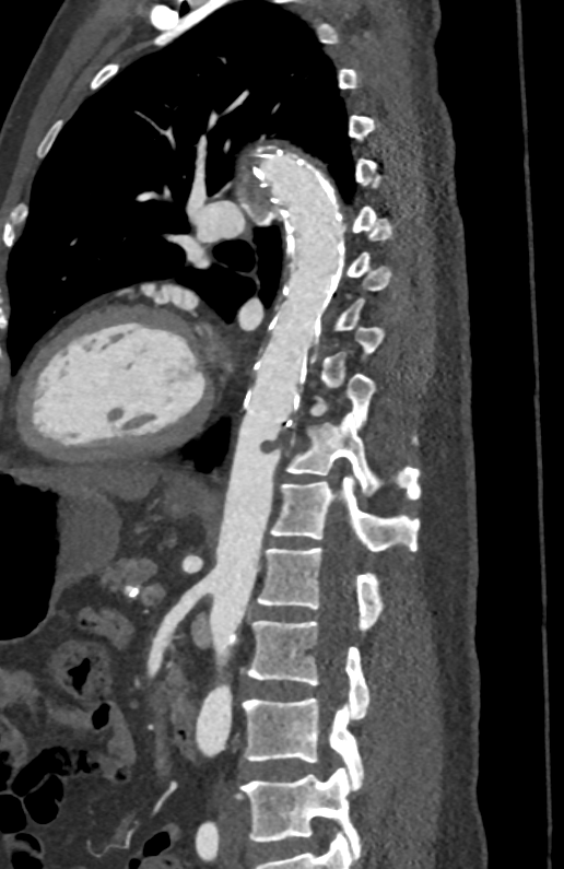
鉴于患者既往病史,首先需要排除动脉夹层复发并累及脊髓供血动脉的可能性,医院迅速开启绿色通道,立即安排主动脉强化CTA检查。
CTA显示:“胸、腹主动脉及双髂动脉粥样硬化
;主动脉弓降部支架术后;主动脉弓降部前方混杂密度灶,考虑假腔机化可能;降主动脉下段附壁血栓可能。请结合临床。”(见图1、图2)
图1
图2
报告并未明确支持新发的、活动的主动脉夹层,尤其是那种足以瞬间阻断多根脊髓根大动脉的广泛撕裂。同时,颅脑CT也未见急性出血或大面积梗死。
最危险的血管危机暂被排除,但患者的截瘫真实存在,诊断的焦点转向脊髓本身病变。
联系卒中中心医生会诊并收住院治疗,经专科查体发现患者T6脊髓节段水平以下痛温觉、触觉
明显减退,双侧巴氏征阳性。
这是一个典型的脊髓横贯性损害体征,提示病灶位于胸髓。加做胸椎+腰椎磁共振平扫
,仅发现广泛的退行性变和椎间盘突出,未见明确的脊髓肿胀、异常信号或占位性病变。(见图3、图4)

图3

图4
03
诊断
此时,距离发病已过去3小时,基于现有检查,一种罕见的中枢神经系统缺血性疾病可解释病情——急性脊髓梗死
(Spinal Cord Infarction,SCI)。
SCI病因主要包括血管源性(动脉粥样硬化、主动脉或椎动脉疾病、血管栓塞、血管急性、血管受压)、系统性疾病(心脏病
、血液高凝状态、低血压、减压病、中毒
)、医源性(主动脉瘤
修补、脊柱外科手术并发症)等,约1/3患者未发现明确病因。
患者多急性起病,12小时内脊髓损伤
快速进展,60%~70%以病变水平突发疼痛为首发症状,可能与神经根痛或病因(如纤维软骨栓塞、动脉夹层)有关。脊髓损伤可引起不同形式的感觉、运动及自主神经障碍,组成多种临床综合征。
SCI在急性期通常无增强表现,亚急性期可出现斑片状或线性增强,可能与血脑屏障破坏或反应性充血有关。T2加权像上的信号变化可能需要数小时至数天才会显现。(见表1)
表1 脊髓梗死的临床分型及其特点
目前SCI尚无统一诊断标准(见表2),因此鉴别诊断尤为重要,需综合起病速度、病程、MRI表现及其他临床特征进行区分:
1.脊髓出血:可有外伤、手术或抗凝药史,亦常以突发剧痛开始,,超早期T1加权成像示中央等信号或低信号,T2加权成像示边缘高信号;
2.视神经脊髓炎谱系疾病
:病前常有发热
、上呼吸道或消化道感染前驱症状;
3.多发性硬化
:好发于20~40岁女性,病程反复,MRI脊髓病变较短、轴位上部分不对称;
4.急性播散性脑脊髓炎
:多见于儿童,临床表现呈多灶性中枢神经功能异常,常伴有意识障碍
,脊髓MRI病灶较长,颅脑MRI常为弥漫性不对称病灶;
5.MOG抗体病:最常累及视神经,其次为脊髓和脑干,MRI多表现为长节段横断性脊髓炎。
表2 脊髓梗死的诊断方案
基于患者病史及MRI结果,仍诊断为SCI。SCI的治疗主要依赖于尽快改善缺血部位血流动力学的综合治疗、病因治疗和康复治疗。
医疗团队与家属充分沟通后,启动了阿替普酶
静脉溶栓治疗。
04
治疗
医生的判断非常准确,在静脉溶栓治疗后,患者的神经功能出现了令人欣喜的改善,这也印证了诊断的正确性。
次日,患者的双下肢肌力恢复到了4级,感觉平面从胸6下降至胸12水平。尽管双侧病理征依然存在,但运动的恢复是质的飞跃。
复查胸椎+腰椎MRI平扫+增强,除了原有的退行性变,还发现“T9/10椎间盘水平脊髓区边缘小片状弥散受限”(见图5),为急性脊髓梗死的诊断提供了影像学的有力支持。
图5
随后进入漫长的康复期。
SCI是一类具有潜在破坏性的疾病,长期病死率约9%~23%。多数患者症状可逐渐改善,但79%会出现慢性疼痛,仅1/3可恢复排尿功能,约2/3患者在随访期能恢复行走。
一周后,患者双下肢肌力已接近正常,感觉基本恢复。住院12天后出院时,他已能自主行走,四肢肌力与感觉大致正常,但仍存在排尿困难,需保留导尿管;双侧病理征阳性,作为中枢神经损伤的痕迹,可能长期留存。
回顾诊疗历程,初诊时患者与医生均被“撕裂样胸痛”这一深刻历史记忆所牵引,首先考虑主动脉夹层复发。
在该可能性排除后,迅速转换思路——快速进展的截瘫、明确的感觉平面、早期出现的尿潴留,均强烈指向脊髓急性横贯性损害。MRI未见出血或占位,结合患者主动脉手术史(脊髓缺血高危因素)与突发起病特点,相对罕见的急性脊髓梗死便成为首要考虑。
尽管脊髓梗死溶栓治疗的证据远不如脑梗死
充分,且风险不容忽视,但在充分评估与严密监测下,基于病理生理机制的积极干预,最终为患者赢得了宝贵的功能恢复时机。
参考文献:
[1] 姬洋,汪凯
,田仰华.脊髓梗死[J].国际脑血管病杂志,2020,28(07):541-546.