
小测试:不容忽视的胃肠诊断
医脉通编译整理,转载请务必注明出处。
腹痛是患者急诊就诊的常见症状。不幸的是,往往难以确定胃肠道症状的确切病因。如果不及时治疗,诊断和治疗的延误可能会导致严重后果。你能准确诊断胃肠道症状中潜在的危及生命的疾病吗?来检验一下吧!
1.女,82岁,有房颤史,未经治疗,因餐后腹痛就医。患者自述疼痛严重,体格检查显示腹部柔软,无反跳痛和腹壁紧张。血乳酸
水平升高。无腹部手术史。可能的诊断是什么?
A.急性胰腺炎
B.急性肠系膜缺血
C.消化性溃疡
D.肠梗阻

答案:B.急性肠系膜缺血
这名患者有急性肠系膜缺血,由肠道供血不足所致。栓塞事件约占所有临床病例的50%。心房颤动
引起的心房血栓、心内膜炎以及斑块通常相关联。由于其较高的流动率和较低的角度,肠系膜上动脉常受影响。栓塞引起的急性肠系膜缺血往往表现为继发于急性阻塞性事件的突然发作的疼痛。

常出现恶心和呕吐。实验室检查是非特异性的,对比增强CT或血管造影
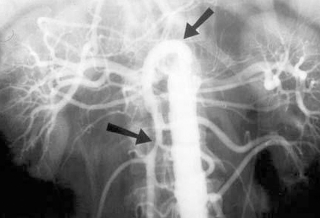
通常是必要的。阻塞性缺血通常经手术治疗,腹膜炎患者需要立即进行手术评估。图像显示的急性静脉肠系膜缺血(左)的CT扫描,显示肠壁增厚,腹腔积液,手术证实肠系膜充血(右)。肠系膜缺血与高死亡率有关(75%)。
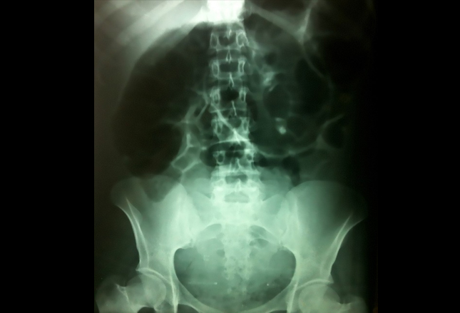
2.男,61岁,因右上腹疼痛和发烧就诊。否认恶心或呕吐症状。既往糖尿病和冠心病史。,他报告说,他经历了多次自限性腹痛发作。进行腹部X线检查(如图)。通过X线检查能发现何种危重疾病过程?
A.肠缺血
B.腹主动脉瘤
破裂
C.气肿性胆囊炎
D.肝包虫囊肿

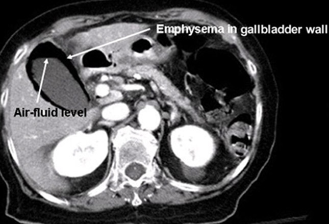
答案:C.气肿性胆囊炎
气肿性胆囊炎是由产气菌引起的胆囊壁感染。它可能是由继发于胆石症、免疫抑制或既往手术操作的血管损伤引起的。经典表现是老年糖尿病
患者右上象限疼痛和发烧。

X线片可显示胆囊壁内空气,可经CT成像确认(如图)。气肿性胆囊炎是外科急症,有15%-20%的死亡率。
3.男,32岁,急性呕吐发作90min后就诊,呕吐引起严重胸痛
。呼出气体有酒精味。 其经朋友陈述,患者呕吐前无身体异常。他的血压是95/50mmHg。心电图
(ECG)显示窦性心动过速,心率130/min,无ST段改变。口腔温度为37.7℃,空气条件下氧饱和度为98%。胸部X光显示如图,最可能的诊断是什么?
A.急性心肌梗死
B.食管穿孔(布尔哈夫综合征)
C.左侧脓胸
D.胃穿孔性溃疡

答案:B.食管穿孔(布尔哈夫综合征)
布尔哈夫综合征,食道全层穿孔,常在大量饮酒,突然、有力呕吐后发生。这一疾病有很高的死亡率,需要紧急外科会诊。

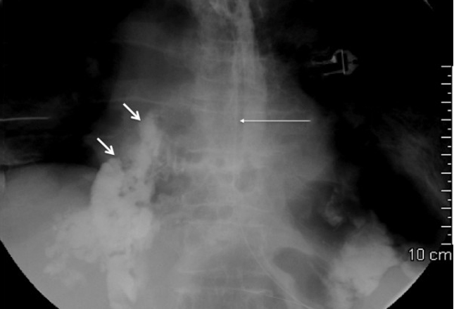
前图胸片显示泛影葡胺
对比材料泄露(短箭头)进入胸膜腔的左后外侧,说明食管穿孔(指向胃管的长、细箭头)。左侧胸腔积液
是布尔哈夫综合征患者最常见的影像学表现。这种综合征的疼痛通常是剧烈的,严重的,并且弥漫于腹部到颈部的所有位置。患者可以快速发生心动过速,呼吸急促及低血压,导致休克。也可发生纵隔炎;胸部听诊,能听到“Hamman crunch”(一种噼里啪啦的声音,与每次心跳相符合)。胸部CT研究通常能确定布尔哈夫综合征的诊断;也可能显示起源于食管的错误通道(箭头)。
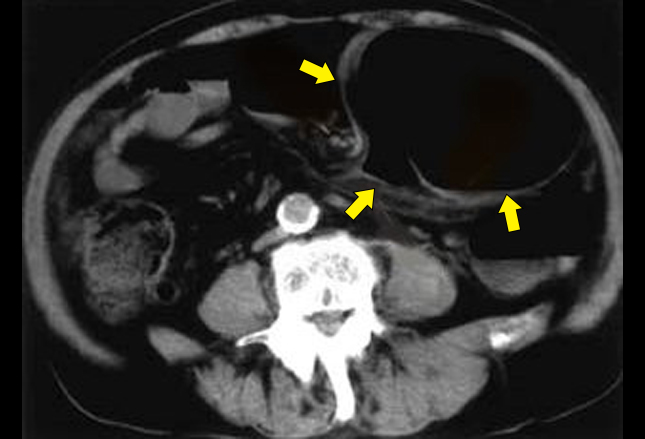
4.患者,男,81岁,患有晚期帕金森病
,因“痉挛性”腹痛1天,由疗养院转至医院。中度疼痛,主要位于左下腹。患者自述感觉胃部比平时更加“臃肿”。长期便秘
;入院前最后一次大便是2天前。体格检查,生命体征正常,脐周触诊有中度压痛,无腹壁紧张和反跳痛。直肠检查没有发现粪便。胸部X光如图,最可能的诊断是什么?
A.肠套叠
B.股疝
C.粪便嵌顿
D.乙状结肠扭转

答案:D.乙状结肠扭转
通过CT检查
,可以看见近端结肠正常表现,乙状结肠扩张(如下图箭头所示)。长期卧床患者和精神障碍患者的风险最大,因为精神药物可以减缓肠道蠕动。冗余乙状结肠(乙状结肠延伸,导致一个冗余环路)也是风险因素。患者一般表现为急性腹痛
、痉挛、腹胀和便秘。

通过静脉(IV)输液和广谱抗生素使用,患者病情初步稳定。对病情不稳定的患者,手术是最佳疗法,但对病情稳定的患者,内镜减压可能是合适的初始方案。
医脉通编译自:Can't-Miss Gastrointestinal Diagnoses,Medscape,September 13,2016