
抽丝剥茧、大卸八块,全面学习面神经
导读:面神经含有多种神经纤维成分,还在颅内、颅骨内、颅外走行弯弯曲曲。本文将面神经“抽丝剥茧”、“大卸八块”,结合临床,好好认识下面神经那个磨人的蛇精病。
作者:陈小慧
本文为作者授权医脉通发布,转载请务必于文首注明作者和来源“医脉通”。
抽丝剥茧
脑桥内有三大核团,接受面神经两大运动传出纤维和两大感觉传入纤维:运动核(特殊内脏运动传出,司面部表情肌)、上泌涎核(一般内脏运动传出,司唾液腺、泪腺)、孤束核(感觉传入,舌前2/3味觉)。特殊内脏运动纤维在脑桥内要先向后内侧行,绕过脑桥后才与上泌涎核、孤束核发出的纤维聚集,一同出脑桥。

图1
大卸八块
面神经分段解剖。废话不多说,先直接上图。

图2
从上图可见,面神经出脑桥时,于脑桥小脑三角处与前庭蜗神经伴行,图中黄线即为面神经颅内段,为内听道段。后由内听道进入面神经管,续为迷路段(紫线)。迷路段为最狭窄的一段,但含有面神经所有四大纤维,“路窄车多”,非常容易因肿瘤、神经炎症等发生面神经压迫。迷路段的末端为膝状神经节(绿色)。膝状神经节后即分出岩浅大神经(蓝线)和面神经运动纤维。面神经运动纤维先后通过鼓室段(又称水平段,红线)和乳突
段(垂直段,黄色),其转弯处分出鼓索(感觉纤维)和镫骨肌神经。
面神经出茎突孔后会经过腮腺,最终分为五支,支配面部所有表情肌;岩浅大神经内含一般内脏感觉纤维,走行于翼腭管,至翼腭神经节(上后窦后上方,图2中蓝色标记),最终至泪腺、唾液腺,支配其分泌;关于翼腭神经节,在《三叉神经解剖——被四大核团掌控的一双胖子手》一文中提及,这个结构还是很重要的。图2用不同颜色标注了面神经的走行及分段。
再从图3巩固一下,图3黄线表示特殊内脏运动纤维(司头面部肌肉运动),紫线为一般内脏运动纤维(腺体分泌),蓝、绿线表示感觉纤维。

图3
下面停下来,想象一下面神经在颅内和颅骨内的走行
在颅内走向前、外方向,经内听道,到迷路段突然变瘦,继续往前外,到了膝状神经节又胖了。膝状神经节基本上是迷路段与鼓室段的交点,这里出来一个岩浅大神经,是管泪腺和舌下腺分泌的。余下的面神经纤维向后、外走,基本呈水平走行通过鼓室段,最后基本垂直通过乳突段,在这两段转弯的地方分出鼓索和镫骨肌神经。余下神经纤维出了茎突孔后在腮腺里做客,最后分成五支,支配面部表情肌。
怀疑面神经在颞骨内病变时还需要拍颞骨CT薄扫轴位+冠状位,毕竟MRI对骨性结构看得不清楚。在颞骨CT骨窗下,神经和其他软组织看起来密度是差不多的,所以主要通过骨性结构辨别神经。脑子里有了面神经走行的大致位置,CT上辨认面神经就比较简单了,见图4加强一下。

图4
a是向外前走的颅内段(内听道段)。b所在冠状位是a向前一个冠状位,b是突然变瘦的部分,也就是迷路段。再向前的冠状位可见,c、d小孔里的是膝状神经节,其中c里貌似有两个孔,内侧的那个就是分出来的岩浅大神经。e所在冠状位是a向后的冠状位,e是水平走行的鼓室段,所以冠位上是一个点。f是乳突段,垂直走行,冠状位成向下垂直线。面神经走行就是这么蛇一样弯弯曲曲。
根据面神经走行,在不同部位损伤面神经后会出现不同的临床症状。
➤ 1. 茎突孔后损伤:周围性面瘫(仅累及茎突孔后的运动纤维),镫骨肌神经、鼓索(感觉纤维:舌前2/3味觉)、腺体分泌(一般内脏运动纤维)和前庭蜗神经不影响;
➤ 2. 鼓室/乳突段损伤:除1以外,因累及鼓索引起舌前2/3味觉减退(感觉纤维);此外,镫骨肌神经受累引起听觉过敏。
➤ 3. 膝状神经节受累:除1、2以外,因岩浅大神经受累引起腺体分泌障碍。
➤ 4. 迷路段、颅内段受累:除1、2、3外,因前庭窝神经常同时受累,引起听力下降。
下表总结了不同部位受累的不同症状:

此处单独提一提“亨特综合征”。亨特综合征(Ramsay Hunt综合征
),即膝状神经节炎,以膝状神经节受累为主要表现+耳部剧痛和外耳道
疱疹,当然,炎症向上蔓延尤其是侵犯“路窄车多”的迷路段也会影响听力。亨特综合征是因为水痘
-带状疱疹
病毒感染后在膝状神经节潜伏,因为免疫下降等原因引起病毒复发所致。
面神经这个磨人的蛇精病总会殃及他人,除了在脑桥受累殃及展神经、颅内段受累殃及前庭蜗神经外,与三叉神经关系也很密切,比如角膜反射、瞬目反射和头痛">丛集性头痛
。
丛集性头痛引起流泪、唾液分泌等面神经亢进的症状可能与翼腭神经节有关。如果又忘了翼腭神经节见图3。翼腭神经节过度放电,可能通过三叉神经引起丛集性头痛。同时,翼腭神经节与面神经相连,所以还可以出现流泪、唾液分泌等面神经亢进的症状。颈内动脉交感神经受累,因此丛集性头痛还可以出现血管搏动、不完全Horner征等自主神经症状。So,临床上,根据这种病理生理特点,有用翼腭神经节阻滞、消融、电刺激治疗丛集性疼痛和其他类型头痛。
翼腭神经节所在的翼腭窝与上颌窦相连,鼻咽癌
常常通过这种解剖关系,引起周围性面瘫、鼻咽癌相关三叉神经痛
、不全Horner征等症状。爷爷患鼻咽癌,不久前去世了,这三个浸润性症状都有经受。
最后,书上有提到的中间神经是膝状神经节之前面神经的感觉和副交感纤维,紧临面神经运动纤维,单独叙述貌似没有特别意义,故没有特别强调。另外面神经还有一般本体感觉纤维,也没有特殊临床意义。但为了严谨和完整,在这里说明一下。
面神经病变除了最常见的Bell麻痹以外,肿瘤、炎症、感染、外伤、血管事件、先天病变等都可以有。其中,“路窄车多”的迷路段更易受累。正常人迷路段不强化,但膝状神经节可有轻度强化。
下面放几个文献里的图来结束

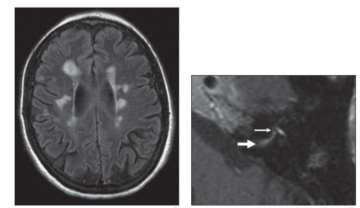
图5,多发性硬化
患者,左:FLAIR;右:T1增强,面神经迷路段异常增强,膝状神经节正常增强

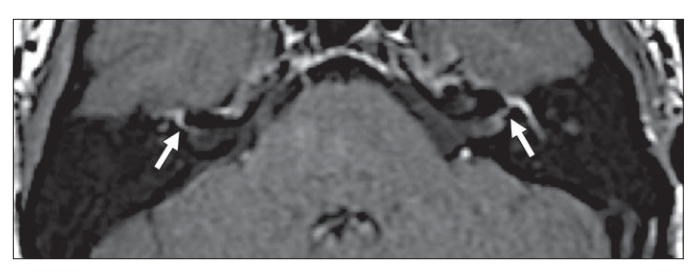
图6,T1增强,慢性炎性脱髓鞘多神经病患者右侧迷路段、膝状神经节异常增强,可以看到右侧膝状神经节信号较左侧明显

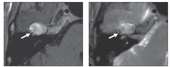
图7,施万细胞瘤,还是膝状神经节和迷路段受累

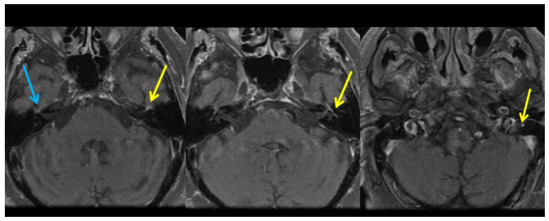
图8,T1增强,Bell麻痹患者,左侧面神经颅内段、迷路段、膝状神经节、鼓室段、迷路段较对侧均明显增强

图9,T1增强,中枢神经系统淋巴瘤,右侧面神经颅内段异常强化(终于不是迷路段和膝状神经节了)

图10,T2相,面肌痉挛
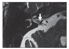
患者可见血管压迫面神经,以小脑前下动脉多见
参考文献:
1. Pathology of the facial nerve: A pictorial review.
2. Mai-Lan Ho, Amy Juliano, Ronald L. Eisenberg, Gul Moonis, Anatomy and Pathology of the Facial Nerve, American Journal of Roentgenology, 2015, 204(6):W612-W619