
10个导致老年人腹痛的原因(中)
医脉通编译整理,转载请务必注明出处。
急性非创伤性腹痛是老年患者急诊科(ED)救治的常见症状。前几日,医脉通整理了Medscape上发表的关于老年人腹痛的10个原因,并发布了前半部分内容,现将另一部分内容整理如下,这其中包括了前三个原因,后续会继续更新。
前情回顾》》》10个导致老年人腹痛的原因(上)
腹主动脉瘤
与腹主动脉瘤相关的发病率和死亡率随年龄而增加。2014年,一项研究显示,腹主动脉瘤破裂修复后有30%的死亡率,不管修复是通过手术还是介入。
破裂的腹主动脉瘤因部位和破裂方式不同而有不同的表现。腹腔破裂(20%)通常导致快速失血和死亡。幸运的是,大约80%的破裂腹主动脉瘤是腹膜后,导致下腔静脉或主动脉十二指肠瘘的百分比较小。腹膜后出血
可暂时填塞,或“封锁”几个小时,几天,甚至几个星期。患者可能会报告有持续几天或几周的症状,而不是急性发作。膜后破裂的患者提出的主诉范围可能从神经系统到腹股沟或睾丸依赖性血肿和/或疼痛,或阻塞性黄疸
。
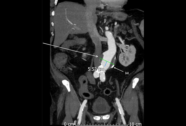
CT扫描对比揭示了无症状的老年男性中的腹主动脉瘤。动脉瘤壁上和远端主动脉(a)有钙化的动脉粥样硬化斑块。

低血压经典的“三联征”、背痛、腹部搏动性肿块只出现在25%-50%的患者。因此,保持对腹主动脉瘤的高度怀疑是很重要的,因为体格检查不可靠,并且由于延迟诊断,死亡率急剧升高。
疑似腹主动脉瘤破裂的不稳定患者需要紧急外科会诊,建立血管通路,和充足的备血。术前适当的低血压可能会导致更好的结果。
因为腹主动脉瘤的表现可能是多变的,并且风险随着年龄增加,从怀疑腹主动脉瘤的稳定老年患者中获得成像研究是非常必要的。床旁超声对腹主动脉瘤评估具有敏感性和特异性,可改善诊断时间;然而,这种方式并不是总能发现腹膜后破裂。CT血管造影
(CTA)可以用来评估稳定患者中的腹主动脉瘤破裂。

急性肠系膜缺血
急性肠系膜缺血是另一种血管急症,典型表现为腹痛,需要快速识别和治疗,以降低发病率和死亡率。肠系膜突然失去灌注,导致缺血或梗塞,通常是由于栓塞或血栓形成,但有时由于全身低灌注,如休克状态。这种情况少见但死亡率很高,在一些情况下可高于50%。急性肠系膜缺血在老年人中常见。一项纳入1100名患者的大型系统回顾发现平均发病年龄是66.2岁。
急性肠系膜缺血的典型表现是血栓栓塞风险患者(如有房颤或人工心脏瓣膜的患者)中的急性发作腹痛,但在与上述相同的系统回顾中,只有35.2%的患者有房颤史,3.1%有心脏瓣膜病史。腹痛、恶心、呕吐是非特异性主诉,因为疼痛的典型特征与检查结果不成比例。
图象显示急性肠系膜缺血患者肠系膜静脉血栓形成术前二维多层螺旋CT,冠状面(A),术中的图像(B)。

没有特殊的病史或体格发现,急性肠系膜缺血的诊断是一个挑战,特别是在中老年人中。一项研究表明,老年患者的发病率可能被低估。乳酸水平升高是另一个经典的关联,但它是肠系膜缺血的晚期发现。
大多数情况下CTA是研究的选择,需要动脉、静脉相对比作为肠系膜缺血的最佳评价。写入成像顺序中的临床怀疑已被证明能提高影像学诊断,因此,参考肠系膜缺血的鉴别诊断,与放射科专家讨论是很重要的。
肠系膜缺血的管理始终是介入性的。与任何缺血过程一样,明确治疗的时间是至关重要的。关于开放手术与经皮腔内血管成形术和支架置入术哪种是最佳治疗方式一直存在争议,但目前的共识似乎认为肠系膜缺血时,手术是最合适的。
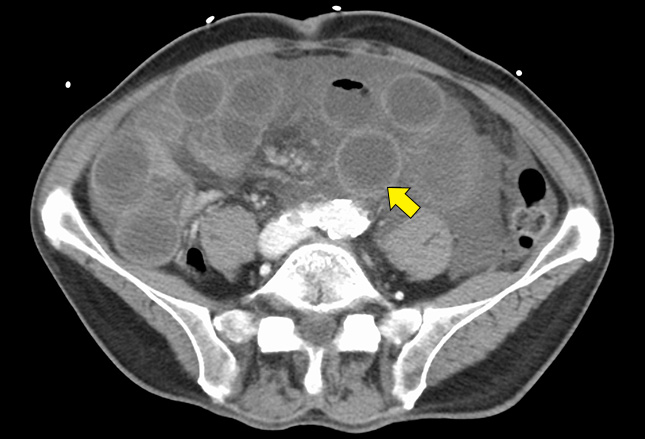
CT扫描描绘了肠系膜上静脉血栓形成的肠缺血。可见肠壁增厚(箭头)伴肠壁扩张。

阑尾炎
阑尾炎是一种经过充分研究的疾病,在中老年人中有不同的表现,常常导致诊断和治疗延迟。本病虽然在年轻患者中更常见,但在老年人群中并不少见,约占以腹痛为首发症状的老年患者外科疾病的10%。的确,阑尾炎是这一人群中第三常见的手术适应症。
老年阑尾炎患者比年轻患者穿孔率和死亡率高。比较高龄患者和那些60-79岁(“老当益壮”)患者预后的回顾性研究发现,高龄患者组有更严重的术后并发症率和死亡率。老年患者不仅在疾病过程后期出现症状,还伴有复杂性阑尾炎,包括脓肿或蜂窝织炎,这与更高的死亡率独立相关。在一项研究中,60岁以上的患者中有18%出现了复杂的阑尾炎,与年轻患者相比风险增加了12倍。

术中图像显示在盲肠底部较大的阑尾穿孔。
阑尾炎的典型表现是熟悉的:厌食、从脐周开始的腹痛迁移到右下腹。常见的症状包括恶心,呕吐,发烧。不幸的是,不是所有的阑尾炎患者出现这些典型症状;一些单中心的研究表明,老年患者表现较晚,且比年轻患者更典型。
老年患者中怀疑阑尾炎时获取成像研究是合理的,因为病史和体格检查不能完全地排除这种情况,且实验室检查结果可能是正常的,尤其是在早期阶段。虽然超声可能是评估胰腺炎疑似患者的有用工具,CT扫描更具敏感性和特异性,已被证明使阴性阑尾切除术明显减少。
在最初的管理中,所有急性阑尾炎患者应禁食(NPO)并由外科医生进行评价。关于单用抗生素在单纯性阑尾炎中治疗效用的研究正在进行,但许多这样的研究排除老年患者。在获得进一步数据之前,大多数急性阑尾炎患者,特别是中老年患者通常通过手术治疗(开腹或腹腔镜
)。

待续。。。。。。