
这种疼痛,难道以前都被误诊为颈动脉夹层了?
1927年Fay等首先描述了颈动脉痛,其特征为颈动脉分叉处压痛和疼痛。1988年国际头痛
分类中把颈动脉痛分类为特发性颈痛,2004年认为这是一类特殊疾病。实际上,颈动脉痛的两个症状既没有特异性也不是不变的,其他原因的颈痛也表现为相同的临床症状。1994年Biousse和Bousser认为颈动脉痛只是一个传说。
不过,自从2000年以来几个病例报道发现颈动脉分叉处压痛和疼痛的患者存在影像学异常。这些影像学技术包括超声、MRI、CTA、18F氟脱氧葡萄糖
PET,显示颈动脉周围软组织异常、劲动脉壁增厚,特别是分叉处。颈动脉痛的鉴别诊断包括颈动脉夹层、甲状腺炎
、血管炎
、头颈炎症或占位、涎腺炎或颈关节病等。因此,作者认为特发性颈动脉炎症可能是颈动脉痛的病因。

例1:超声(图A-D)显示颈动脉分叉处血管周围偏心浸润(短箭头),伴随内膜斑块(长箭头),管腔轻度狭窄。随访超声(图E)显示血管周围浸润明显减轻(短箭头),内膜斑块完全消失。

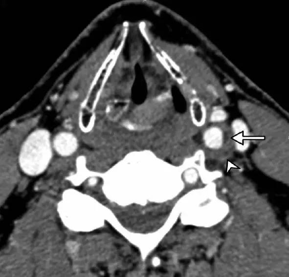
例2:CTA显示左侧颈内动脉周围后外侧偏心血管周围浸润(短箭头),以及明显低密度为内膜软斑块(长箭头)。

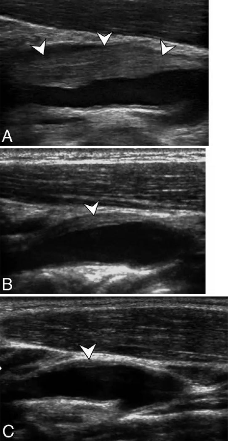
例3:下图A为首次超声,B为14天随访超声,C为6个月超声。显示颈动脉分叉处颈内动脉血管周围浸润(短箭头),14天时病变迅速减轻,6个月时仅遗留薄层异常病变。


例4:增强前(图A)和增强后(图B)脂肪抑制3D T1 以及3D T2加权(图C)MRI显示颈动脉分叉处短T1和长T2血管周围浸润(短箭头),可见强化。颈动脉后部可见内膜软斑(长箭头)。右侧ICA矢状位曲面重构增强T1(图D)显示右侧颈动脉分叉以及颈总动脉末端和颈内动脉近端可见血管周围浸润(短箭头)。颈总动脉和颈内动脉其他部分未见血管或血管周围异常信号。
2017年7月来自法国的A. Lecler等在AJNR上公布了他们的研究结果,探讨颈动脉痛的影像学特点。
该研究共纳入2009年到2016年间10个中心共47例表现为急性颈痛或压痛的患者,并且至少一项影像学发现未分类(unclassified)的颈动脉异常。
这些患者平均年龄48岁。所有患者皆表现为急性颈痛,8例存在短暂性神经系统症状。所有患者的影像学皆发现颈动脉周围偏心浸润(eccentric pericarotidian infiltration)。16例患者发现存在内膜软斑,其中1例发现管腔轻度狭窄。平均13天内所有患者的疼痛都完全缓解。3个月随访影像学显示8例患者血管异常完全消失,其他患者也明显改善。
最后作者提议应该将这种情况命名为短暂颈动脉周围炎症(TransIent Perivascular Inflammation of the Carotid artery, TIPIC)综合征,这项研究改善了对这种未分类、临床放射学特征的描述。
另外,作者提出了TIPIC的诊断标准:
4项主要诊断标准: ➤ 颈动脉上面急性疼痛 ➤ 影像学发现偏心型血管周围浸润 ➤ 影像学排除其他血管或非血管疾病 ➤ 14天内自发或抗炎治疗治疗后改善 1项次要标准: ➤ 内膜软斑自行消散 |
文献出处:
AJNR Am J Neuroradiol. 2017 Jul;38(7):1391-1398. doi: 10.3174/ajnr.A5214. Epub 2017 May 11.
TIPIC Syndrome: Beyond the Myth of Carotidynia, a New Distinct Unclassified Entity.
转自:“脑血管病及重症文献导读”微信号
作者:杨中华 首都医科大学附属北京天坛医院