
5道题,测测你对步态异常的掌握情况
导读:运动是一个复杂的协调过程,正常神经通路中的任何损伤都可能导致异常步态的发生。步态障碍可能由各种神经系统和肌肉骨骼病引起,多数神经系统疾病都可能表现出特殊的步态,这有助于医师做出诊断。本文将通过几个病例的形式,测试一下大家对步态异常病因的掌握情况,一起来试试吧。
医脉通编译整理,未经授权,请勿转载。
病例1
12岁男性,由于渐进性步态障碍3年而就诊。患者的饮食习惯较差,家族史无特殊。体格检查发现患者脸色苍白,感觉检查显示下肢无振动感和本体感觉,闭目难立征
阳性。小脑检查显示共济失调
,深腱反射消失,双侧Babinski征均为阳性。
可能的诊断是?
A. 腓骨肌萎缩症
B. 遗传性共济失调
C. 维生素B12
缺乏
D. 脑白质营养不良

维生素B12缺乏引发脊髓亚急性联合变性
,是少数几种可以观察到闭目难立征和感觉性共济失调步态的疾病。其他可能的疾病还包括脊髓痨、遗传性共济失调、某些形式的脊髓小脑变性,以及一些感觉性多发性神经病,这些疾病以本体感觉和振动觉的损害为特征。患者的步态表现为宽基底、步幅短而不规则,脚在运动过程中贴在底面上。
闭目难立征是维生素B12缺乏引起的脊髓亚急性联合变性的典型特征,嘱患者双足并拢站立,两手向前平伸,若闭眼后出现身体倾斜易倒的征象即为阳性。患者在站立时视觉线索一旦被排除,共济失调将变得更加明显。
病例2
20岁男性,足弓高(如图所示),由于近期行走困难、脚趾频繁碰到地面导致跌倒而就诊。患者家族中也有过类似症状的亲属,患者的兄弟的腿有类似鹤腿状的表现。体格检查中,患者姿势和步幅都是正常的,然而在行走过程中,由于足部下垂,足部的过度抬高显而易见。
患者的足部下垂最有可能因为哪种原因导致?
A. L5神经根病变
B. 腰骶神经丛病变
C. 深部腓神经病变
D. 腓骨肌萎缩症
E. 坐骨神经病

腓骨肌萎缩症是最常见的遗传性神经系统疾病。腓骨肌萎缩症1型是一种脱髓鞘性神经病,表现为慢性进展性远端无力、肌肉萎缩和感觉丧失。2型为轴索型,发病通常较晚,肌萎缩症状及出现部位与1型相似,而程度较轻。
在此类患者中,典型的步态异常是跨阈步态和足下垂,姿势和步幅是正常的。试图走路时,患者必须把腿抬高以让脚离地,脚随后以拍打的方式撞击地面。通常在腓神经病变或L5神经根损伤的情况下可以观察到单侧足下垂。双侧足下垂可以见于严重的多发性神经病和前角细胞疾病,如脊髓性肌萎缩
。
病例3
53岁女性,因行走困难而就诊。患者称自己行走时像小鸭子一样摇摇摆摆的,并且经常绊倒。此外,患者还报告称有腰痛
,沿着右侧大腿外侧、腿前外侧和脚背都有神经根性症状。
患者以上症状的最佳解释是?
A. 儿童期脊髓灰质炎
B. 腰椎神经根病
C. 关节炎
">类风湿关节炎
D. 髋关节骨性关节炎
E. 臀上神经病变

上述所有选项都是导致臀中肌步态(鸭步),但只有腰椎神经根病能够解释患者发作的时间和疼痛症状。腰骶神经根病发生在约3%~5%的人群中,男女患病比例相似,40余岁的男性和50余岁的女性最容易患此类疾病。患有这种病症的患者中有10%至25%发生持续6周以上的症状。上图显示的是临近右侧L5神经根旁的腰椎间盘突出
。
病例4
14岁男性,由于行走功能恶化而到医院就诊。体格检查显示,患者由于多年膝关节屈肌痉挛
,导致严重膝关节屈曲挛缩。行走时,患者表现为蹲伏步态,即双侧膝关节在支撑和摆动时都保持着屈曲状态。
在患者的病史中,以下哪一项最值得注意?
A. 幼年型类风湿性关节炎
B. 股骨头缺血性坏死病
C. 成骨不全
D. 脑瘫
E. 脊髓发育不良

蹲伏步态和剪刀步态都是痉挛性脑瘫的特征性表现。由于髋关节屈肌痉挛和股四头肌薄弱,患者在行走时表现为髋关节和膝关节屈曲,可表现为过度的脚踝跖屈,伴有早期脚跟抬高或过度背屈。痉挛性双侧脑瘫患者也可能表现出髋关节屈曲、内收、内旋,足下垂及内翻,行走时双膝互相摩擦,即剪刀步态。慢性固定膝关节屈曲畸形可能导致撕脱伤的发生。
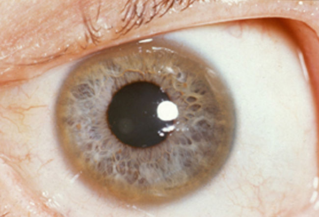
病例5
18岁男性,由于躁狂发作、异常运动和步态障碍就诊。体格检查中可见患者巩膜轻度黄染,裂隙灯
显示双侧角膜与巩膜的内表面上可见K-F环,面部肌肉、手指、手臂和腿部有不规则运动,右臂也有短暂的肌张力障碍
姿势。
可能的诊断是?
A. 小舞蹈病
B. Wilson病
C. 亨廷顿病
D. 系统性红斑狼疮

Wilson病通常在年轻患者中发病,其特征在于精神病学症状、神经病学症状、肝脏症状的单一或多种组合。患者的非自愿运动表现复杂,包括震颤
、舞蹈病、手足徐动症和肌张力障碍,行走时每一步都有不同的抽搐和扭曲,累及四肢、躯干、颈部。患者的步态不稳,可呈木偶状,部分患者可表现为冻结步态或慌张步态。
本文测试的答案依次是C、D、B、D、B,您都答对了吗?
医脉通编译自:Sumaira Nabi. Gait Disorders: When the Patient Can't Walk the Walk. Medscape. September 7, 2017.