
肺气囊、肺囊肿和肺大疱到底是哪跟哪?
医脉通编译整理,未经授权请勿转载。
1. 肺气囊(pneumatocele)
病理
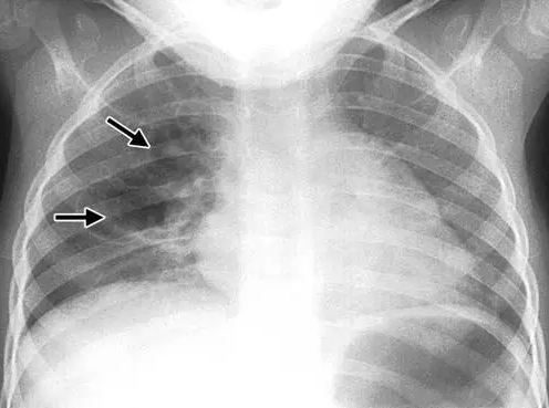
肺气囊是指肺内充盈气体的薄壁腔。通常由急性肺炎
、创伤、或烃流体吸入等引起,常为短暂性的。
胸片和CT表现
肺气囊表现为肺内类圆形的,薄壁的含气腔(图1)。

图1 胸部X线片显示肺气囊(箭头)
2. 肺囊肿(cyst)
病理
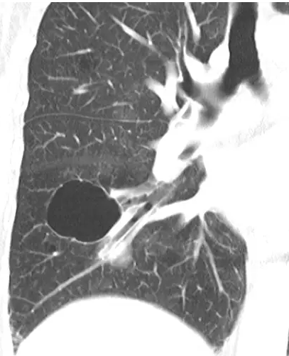
囊肿泛指圆形气囊,囊壁为上皮组织或纤维组织构成,壁薄厚不一。
胸片和CT表现
囊肿表现为圆形的肺实质透亮区或低密度区,与正常肺组织分界清楚。囊壁厚薄不一,但通常壁薄(<2 mm),且不伴有肺气肿
(图2)。肺里的囊肿通常含空气,但偶然也含有液体或固体物质。囊变这个词,常用作描述淋巴管平滑肌瘤病或朗罕氏细胞增多症患者肺内的增大的薄壁含气腔,壁较厚的蜂窝样囊状病变见于肺纤维化
末期患者。

图2 CT显示肺囊肿
3. 肺大疱(bulla)
病理
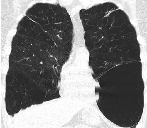
直径大于1cm的含气腔(通常为数厘米),肺大疱的邻近肺组织通常伴有肺气肿改变。
胸片和CT表现
肺大疱表现为圆形的局部透亮影或密度减低区,直径≥1cm,以薄壁为界(图3)。多发肺大疱很常见,并与其他肺气肿的征象(小叶中心气肿或小叶间隔周围肺气肿)相关。

图3
医脉通编译自:Hansell, et al. Glossary of Terms forThoracic Imaging1. Radiology. Fleischner Society, 2008,246(3): 697-722.