
胸痛+ TNI升高+ ST段抬高,也并不都是急性心梗!
作者:何金山
北京大学人民医院
本文为作者授权医脉通发布,未经授权请勿转载。
在以胸痛
为主诉的患者中,心肌梗死
、肺栓塞
和主动脉夹层
可以说是压在他们身上的“三座大山”。当然,确切的说,这“三座大山”是压在他们主诊医生的身上。因其高死亡率和高致残率,这“三兄弟”获得了极高的关注度,尤其是心肌梗死
">急性心肌梗死,发生率高,需要及时血运重建,延误治疗可能引起严重并发症,死亡率也随之明显上升,自然成为“三兄弟”中的老大。面对一个胸痛的患者,如果没有考虑急性心肌梗死,你都不好意思说自己进行了鉴别诊断。但是,当胸痛+ST段抬高,不是心肌梗死,你又能想到什么?
胸痛追因:是心梗
吗?
患者63岁老年男性,既往高血压
、糖尿病
、冠心病
、慢性阻塞性肺疾病
(COPD
)病史,本次因“突发胸痛伴呼吸困难
2小时”于急诊就诊。患者胸痛表现为胸骨后针刺样疼痛,深呼吸加重,Bp 90/60 mmHg,HR 110次/分,SPO2 90%(吸氧3L/min),心电图
提示V1-V4导联ST段抬高,伴下壁及侧壁导联ST段压低(图1)。

图1 心电图提示V1-V4导联ST段抬高伴下壁及侧壁导联ST段压低
下一步怎么办?
A.老年男性,有多个冠心病危险因素,既往冠心病病史,胸痛+ST段抬高,急性ST段抬高型心肌梗死
诊断明确,准备行急诊PCI
B.患者胸痛,SPO2降低,肺栓塞可能性大,患者已出现血压下降,考虑为高危型,准备进行溶栓
C.主动脉夹层不能除外
D.其他原因
各位如何考虑呢?
进一步完善了血常规
:WBC、Hb及Plt均在正常范围,血电解质正常,TNI 0.1 ng/ml(正常<0.04 ng/ml),D-dimer 450ng/ml。TNI高于正常范围,有胸痛症状,心电图ST段抬高,急性心肌梗死需要的诊断标准都具备了,心肌梗死诊断确定无疑,直接转入导管室进行PCI?
但患者临床情况有很多不能用急性心肌梗死解释。比如患者胸痛的性质,为针刺样,于深呼吸后加重;而心肌梗死的胸痛,常常和体力活动有关,于活动后加重。而患者SPO2的明显降低如果用急性心肌梗死解释,说明梗死的范围应该很大,但TNI却仅有轻微的升高,预估的大面积缺血和TNI升高的幅度不相符。
重新审视,揭晓答案
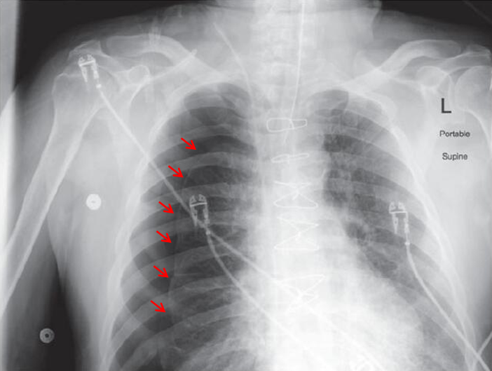
带着这些疑问,重新审视这个病例,肺部听诊时发现右肺呼吸音减低,心音清楚,心律齐,未闻及P2亢进,各瓣膜听诊区未闻及杂音。立即完善床旁胸片,提示右侧大量气胸
(图2)。完善超声心动,心脏结构及功能未见明显异常,未见节段性室壁运动异常,EF 56%。

图2 床旁胸片提示右侧大量气胸,红色箭头指示气胸线
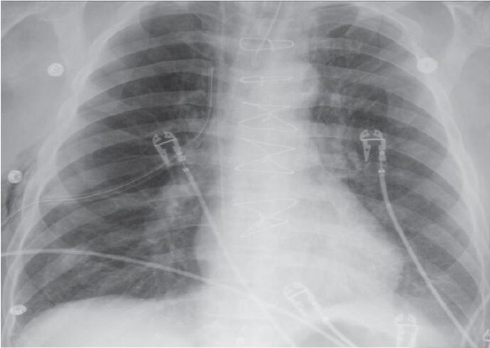
立即行胸腔闭式引流(图3),置入胸引管后,患者胸痛症状很快缓解,肺复张后,再次复查心电图,发现抬高的V1-V4导联已经回落至正常(图4)。再次复查TNI 0.15 ng/ml,较前无明显变化。因而,对于这例胸痛+ST段抬高的患者,诊断不是心肌梗死,不是肺栓塞,竟然是列入其他原因的气胸!

图3 闭式引流后,压缩的肺复张

图4 肺复张后,复查心电图,发现V1-V4导联抬高的ST段回落至正常范围
机制:再问一个为什么?
对于气胸后出现ST段抬高、酷似急性心肌梗死表现者既往已有相关的病例报道,认为其产生机制有如下几种可能:(1)气胸后导致低氧,引起心肌缺氧和损伤;(2)气胸后胸腔内压力增高,右心血流回流减少,前负荷降低,心肌灌注减少;(3)气胸后引起纵膈和心脏移位;(4)气胸后对右室直接产生压迫,造成右室损伤;(5)气胸后引起低血压、低氧和心动过速
,共同导致心肌氧供减少,造成心肌损伤。
下次碰到胸痛的患者,除了鉴别那著名的“三兄弟”外,不要忘记,做好患者整体情况的评估,做好体格检查,气胸也能产生胸痛+ST段抬高这样高度“迷惑”的表现!TNI升高+胸痛+ST段抬高,也并不都是急性心肌梗死!
参考文献:
[1] Feldman T. and January C. ECG changes in pneumothorax
: a unique finding and proposed mechanism. Chest, 1984; 86(1): 143-145.
[2] Price JW. Novel electrocardiographic changes associated with iatrogenic pneumothorax. Am J Crit Care, 2006; 15(4): 415-419.
[3] Sanders A, Froude A, Probst F. Do we intervene inappropriately for ST elevation? Emerg Med J, 2006; 23(2): e10.
[4] Krenke R, Nasilowski J, Przybylowski T, Chazan R. Electrocardiographic changes in patients with spontaneous pneumothorax. J Physiol Pharmacol, 2008; 59(Suppl 6): 361-373.