
胸痛伴ST段抬高,反复造影却阴性,又逢室速……当谜底揭开时,你是否感到意外?
作者:何金山
北京大学人民医院
本文为作者授权医脉通发布,未经授权请勿转载。
胸痛
+ST段抬高这对组合太过深入人心,但凡没有十足的把握除外急性心肌梗死
,在冠脉造影日渐成熟的今天,造个影总是免不了的。但今天的这个病例却有点奇怪,典型胸痛伴ST段抬高,却反复冠脉造影阴性,本次又发作了室速。怎么回事呢?
患者是一名老年男性,66岁,既往有高血压
和高脂血症
病史,本次因“突发胸骨后紧缩感伴心悸
、大汗和呼吸困难
”就诊。急诊心电图
提示为宽QRS波心动过速
(图1A),心率200次/分左右,患者当时血压尚在正常范围,考虑其宽QRS波心动过速为室速可能性大,予普鲁卡因胺
100 mg静推,后改为静推,患者宽QRS波心动过速终止,转为窦性心律(图1B)。
图1 患者急诊心电图提示为宽QRS波心动过速(A),室速可能性大,静推普鲁卡因胺后转为窦性心律(B),可见V4-V6导联ST段抬高0.2~0.5 mv。
所谓一波未平,一波又起。复律后心电图提示V4-V6导联ST段抬高0.2~0.5 mv。结合患者胸痛、心悸、呼吸困难的症状?难道又是急性心梗
这个老朋友到访了?立即安排了急诊冠脉造影,结果显示冠脉造影阴性,未见明显冠脉狭窄;急查的TNI回报也是阴性。
再次追问患者病史,发现在最近的7年内,患者类似的胸痛发作10余次,前后做了3次冠脉造影,结果均为阴性。其既往心电图和本次的窦律图类似,均表现为V3-V6导联ST段抬高,多导联的T波倒置和双向,前后变化不大(图2A和图2B)。


图2 患者既往的心电图检查,也发现了V3-V6导联ST段抬高,伴多导联的T波倒置和双向,和本次窦律图相比,前后变化不大
看到这里,反应快的同学可能已经意识到,持续的ST段抬高,前后没有动态变化,这不是室壁瘤吗?假设存在室壁瘤,这个室壁瘤产生的原因又是什么呢?心梗后室壁瘤吗?那为什么患者V4-V6导联ST段抬高,却没有病理性Q波?为什么前后3次冠脉造影均没有发现明显狭窄?这个“心梗”很奇怪,来无影去无踪,除了明确的ST段抬高和可疑的室壁瘤,什么也没有留下。
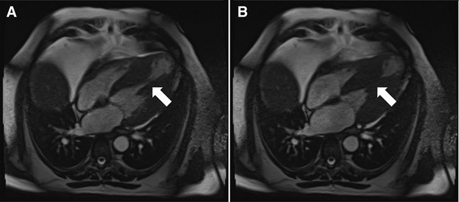
为了解答这些疑问,安排了心脏MRI检查。心脏MRI显示(图3),室间隔明显增厚,收缩期左室腔消失,同时我们注意到,心尖部室腔在收缩期未向内收缩,而是向外扩张,证实了的心尖部室壁瘤的存在。

图3 心脏MRI
至此谜底呼之欲出,患者为肥厚型心肌病
,合并心尖部室壁瘤,室壁瘤可能来自于心肌肥厚后出现的纤维瘢痕,而室壁瘤则构成了室速的基质,围绕着室壁瘤的折返是室速发作的原因。再回头去看图1A的心电图,发现除了aVR和aVL外其余导联的QRS波均为负向,说明激动起源自心尖部,传向心底,和室壁瘤的位置是吻合的。这也解释了为什么患者V4-V6导联没有病理性Q波,以及反复冠脉造影的阴性结果。
对于持续的ST段抬高,怀疑室壁瘤,而在ST段抬高的导联又没有病理性Q波时,高度怀疑肥厚型心肌病合并室壁瘤的可能。
在肥厚型心肌病患者中,<5%合并心尖部室壁瘤。合并室壁瘤的患者,容易发生血栓栓塞事件,猝死
风险更大,每年猝死风险可达10.5%。合并室壁瘤的患者,40%~50%可记录到持续性室速。与此相反,心尖部肥厚的患者,预后则要好得多。
对于该患者,器质性心脏病
合并持续性室速,为ICD猝死预防的I类指征。虽然患者室速为单形性室速,且考虑机制为折返,能够通过导管射频消融进行治疗,但不能够保证100%的成功率,也不能够保证其他部位不发展为新的室速基质,因而ICD仍为猝死预防的首选。在植入ICD后如仍合并反复的室速发作,ICD反复放电,可考虑射频消融减少ICD放电次数,改善患者的生活质量。药物治疗上可选用β受体阻断剂、CCB、胺碘酮
等减轻患者胸痛症状,减少室速发作频率。
胸痛伴ST段抬高不都是心梗,室壁瘤也不都来自于心梗后,怀疑室壁瘤而ST段抬高的导联没有病理性Q波时,不要忘记肥厚型心肌病合并室壁瘤的可能!
参考文献:
[1] Christina A. Zauner, J. Warren Holshouser, Laszlo Littmann. Ventricular tachycardia and electrocardiographic ST-segment-elevation myocardial infarction without coronary artery disease. Circulation. 2018; 137(12): 1287-1289.
[2] Maron MS, Finley JJ, Bos JM, Hauser TH, Manning WJ, Haas TS, Lesser JR, Udelson JE, Ackerman MJ, Maron BJ. Prevalence, clinical significance, and natural history of left ventricular apical aneurysms in hypertrophic cardiomyopathy. Circulation. 2008; 118(15): 1541-1549.