
及时识别、正确处理中枢性卒中后疼痛
作者:邱树卫 黄渤 易昕
本文为作者授权医脉通发布,未经授权请勿转载。
得益于技术和材料的进步,缺血性脑血管病介入治疗突飞猛进,临床研究层出不穷,脑血管病大夫更多地关注脑梗死
超早期血管开通及二级预防,而对于卒中
后难搞的症状不甚重视,比如卒中后疼痛、脑高级功能障碍、心理障碍等等。
卒中后疼痛发生率不低,10%~55%卒中患者可能罹患卒中后疼痛[1, 2],包括复杂区域性疼痛综合征(肩手综合征)、中枢性卒中后疼痛(CPSP)、紧张性头痛
、痛性肌痉挛
、肌筋膜痛综合征。这些疼痛综合征,严重影响卒中患者康复进程,导致不良预后和生活质量下降。理应得到神经科、疼痛科以及康复科医生的关注。
此处要介绍的是中枢性卒中后疼痛,属于卒中后疼痛范畴,是一种中枢性神经病理性疼痛
。
先从一例简单的病例说起吧
48岁男性患者,因“左侧肢体麻木疼痛8个月”就诊。8个月前突发左侧肢体无力伴麻木、疼痛,当地医院诊断“脑梗死”,经治右侧肢体无力好转,但遗留左侧麻木、疼痛,严重影响睡眠。既往有糖尿病
与吸烟史。
入院查体:生命体征平稳,内科查体未见明显异常,NS:神清语利,左侧肢体肌力5-级,左侧偏身痛、触觉
明显减弱,左侧腱反射亢进,余正常。
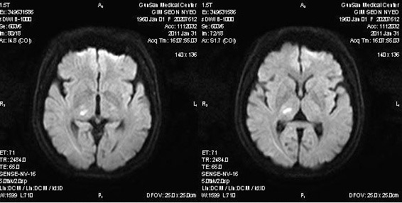
头颅MRI:右侧丘脑梗死(图1)。

图1 头颅MRI DWI像显示右侧丘脑梗死(来自网络课件,中山大学彭福华教授病例)
诊断:中枢性卒中后疼痛。针对患者疼痛麻木治疗方案:丙戊酸钠
0.2 tid,普瑞巴林
75 mg qd,逐步加量150 mg Bid;10天后患者肢体麻木、疼痛好转出院。门诊随诊,逐步减量丙戊酸钠 0.2 tid、乐瑞卡
75 mg Bid,效果稳定。
该病例很诊断简单、明确,也就是大家熟知的丘脑痛,但是治疗却很棘手,各位神经科大夫总会碰上一两例。丘脑痛只是CPSP一种,当然,也是最常见的类型。
中枢性卒中后疼痛的诊治
1. 中枢性卒中后疼痛定义
中枢性卒中后疼痛(central post-stroke pain,CPSP)归类于神经病理性疼痛。依据《神经病理性疼痛诊疗专家共识2013》[3],神经病理性疼痛是指由躯体感觉系统的损害或疾病导致的疼痛。因此,CPSP是指中枢神经系统感觉传导通路上由于脑血管性病灶直接导致的疼痛,属于中枢性神经病理性疼痛。脑血管性病灶与疼痛存在因果关系。
损伤病灶不局限于丘脑,只要累及感觉传导系统,均可导致引起CPSP。临床上,丘脑与延髓背外侧病灶卒中后CPSP最常见。
2. 流行病学
CPSP发生率大约1%~12%,各家临床研究报道异质性很大。这可能是因为,卒中患者往往合并言语、认知障碍
,无法正确表述,或者合并焦虑、抑郁障碍
,或与其他卒中后疼痛正在共同存在,导致诊断困难。这提示我们,应当及时、准确尽早识别CPSP。CPSP与年龄、性别和病灶侧别无明确相关性。
3. 临床表现
CPSP症状通常自发出现,亦可诱发出现,性质表现为烧灼感、刺痛感、电击样疼痛,合并麻木感、针刺感或瘙痒感。体查常表现感觉减退、痛觉
减退。症状可持续存在或呈发作性。
自发性疼痛、异常感觉、痛觉过敏、痛觉超敏与感觉倒错通常称为阳性症状,而麻木、痛觉减退、痛觉缺失、感觉减退或感觉缺失谓之阴性症状。阳性症状与阴性症状共存是CPSP的特征性表现。尤其是自发性疼痛、痛觉过敏、痛觉超敏是CPSP的高度提示特征(图2)。

图2 CPSP的特征性表现
4. 诊断和鉴别诊断
LANSS量表、DN4与ID pain量表可用于评估神经病理性疼痛。LANSS评分,可参考医脉通推文:《神经病理性疼痛:如何进行有效的个体化治疗?》。
CPSP诊断通常分为三步:
(1) 疼痛或异常感觉是否为神经病理性疼痛;
(2) 损伤病灶是否为卒中;
(3) 两者是否相关或存在因果关系。
鉴别诊断前文已有所述及,比如肩手综合征、痛性痉挛、肌肉筋膜痛等。只要留意,CPSP诊断不难。
5. 治疗
《神经病理性疼痛诊疗专家共识2013》详细指导了神经病理性疼痛治疗。目前一线推荐是两大类药物:抗癫痫药物与抗抑郁药物,前者常用加巴喷丁
与普瑞巴林,后者常用三环类抗抑郁药阿米替林
和文拉法辛
、度洛西汀
。
不推荐非甾体抗炎药;鸦片类不作为一线药物;不推荐局部用药如利多卡因
等麻醉剂及肉毒毒素A。
然而,2015年STROKE发表一项meta显示,目前所有的CPSP治疗药物均无效[1],说明CPSP 治疗依然任重道远。
需要提一下的是,尽管临床上,我们常常尝试卡马西平
或奥卡西平
治疗CPSP,但是国内外指南共识均不推荐它们用于CPSP治疗。
同时,我们应当认识到,药物治疗只是CPSP治疗的一部分,目前对于电、磁等研究如火如荼[4],比如运动皮层电刺激、经颅磁刺激、深部电刺激(DBS)等显示未来应用的良好前景。

图3 神经病理性疼痛治疗指南与共识
√:推荐,但未注明为几线;×:不推荐;○:不确定; -:未提及;*仅限三叉神经痛
,#仅限周围神经,Ɨ限PHN
小结
中枢性卒中后疼痛(CPSP)属于神经病理性疼痛,卒中后患者不少见,应当及时识别。目前推荐的治疗药物是抗癫痫药物和抗抑郁药物,前者包括加巴喷丁与普瑞巴林,后者包括抗抑郁药物阿米替林、文拉法辛和度洛西汀。卡马西平通常无效。物理治疗预示良好的应用前景。
参考文献:
[1] Finnerup NB, Attal N, Haroutounian S, McNicol E, Baron R, Dworkin RH, Gilron I, Haanpaa M, Hansson P, Jensen TS et al: Pharmacotherapy for neuropathic pain in adults: a systematic review and meta-analysis. Lancet Neurol 2015, 14(2):162-173.
[2] Treister AK, Hatch MN, Cramer SC, Chang EY: Demystifying Poststroke Pain: From Etiology to Treatment. PM R 2017, 9(1):63-75.
[3] 神经病理性疼痛诊疗专家组: 神经病理性疼痛诊疗专家共识. 中国疼痛医学杂志 2013, 19(12):705-710.
[4] Hosomi K, Seymour B, Saitoh Y: Modulating the pain network--neurostimulation for central poststroke pain. Nat Rev Neurol 2015, 11(5):290-299.