
杜兰特摘得NBA最有价值球员桂冠,心脏科让人烦心的MVP你知道吗?
作者:何金山
北京大学人民医院
本文为作者授权医脉通发布,未经授权请勿转载。
今年的NBA总决赛刚刚战罢,经历了一个赛季的拼搏和厮杀,最终勇士击败骑士问鼎总冠军,凯文•杜兰特凭借优异表现,再度当选总决赛最有价值球员(Most Valuable Player,MVP)。MVP是每一个球员的追求,代表着无上的荣誉和肯定。而我们今天要讲的却是一个让人烦心、并不讨人喜欢的MVP。
如果问到成人最常见的先天性心脏病
,可能有人会说房缺,有人会说室缺,而真正的答案却是我们今天的主角——MVP(Mitral Valve Prolapse,二尖瓣脱垂)。MVP的人群患病率可达2.4%~4%,是最常见的成人先天性心脏病。多数MVP是良性的,但部分患者可发生严重并发症,如感染性心内膜炎
、严重二尖瓣反流和心源性猝死
,尤其在运动员等特殊人群中,更需注意。
MVP的病因、分类及病理
MVP的确切病因不清,部分患者表现出家族遗传倾向。MVP可分为原发性MVP、粘液样变性MVP和继发性MVP。
原发性MVP不伴有其他导致MVP的原因,好发于年轻女性,常伴有体位
性低血压、心悸
等症状,多表现为良性病程,预后良好。
而粘液样变性MVP多发生于老年人,男性多见,为二尖瓣老年退行性病变,可合并瓣叶增厚、冗长,呈进行性发展,二尖瓣反流也逐渐加重,多需进行二尖瓣置换手术。
继发性MVP即其他疾病导致的MVP,常见如马方综合征
、Ehlers-Danlos综合征和肥厚型心肌病
等。
无论原发性还是继发性的MVP,均累及二尖瓣的瓣叶和腱索,大体病理上可见二尖瓣瓣叶增厚冗长,腱索被拉长,组织学检查可发现瓣叶及周围组织胶原纤维排列紊乱、断裂,以及粘多糖的累积。在粘液变性过程中,虽然二尖瓣前叶和后叶均能累及,但累及后叶者更为多见。
MVP的心脏杂音
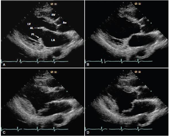
所谓的二尖瓣脱垂,指的是在心脏收缩期,二尖瓣脱入左心房(图1),多数的二尖瓣脱垂患者,于体检时发现收缩中晚期的敲击音,而后经心脏超声确诊。如在左室长轴切面,二尖瓣脱入左心房超过二尖瓣环平面2 mm,即可确诊MVP的诊断(图2)。

图1 A,左室收缩时正常的二尖瓣闭合;B,MVP时二尖瓣脱入左心房

图2 心脏超声可见左室收缩时二尖瓣脱入左心房,超过二尖瓣环平面2mm以上
二尖瓣脱垂的杂音很有特点。在收缩的中晚期,先出现非喷射性的敲击音,和二尖瓣脱入左房后突然停止及腱索突然被拉紧有关;而后由于MVP的存在,合并二尖瓣反流,便会在敲击音后出现逐渐增强的收缩期杂音。二尖瓣反流轻时,收缩期杂音出现的晚;二尖瓣反流重时,收缩期杂音出现的早,甚至为全收缩期杂音。
而且MVP的收缩期杂音可发生动态的变化,当左室射血阻力减小,心肌收缩力增强或左室舒张末期容量减小时,如处于站立位,可使敲击音和收缩晚期杂音提前;当左室射血阻力增大,心肌收缩力减低或左室舒张末期容量增大时,如平卧位,可使敲击音和收缩晚期杂音后移(图3)。

图3 MVP杂音示意图
MVP的临床表现及治疗
MVP的临床表现多种多样,多数患者无任何临床症状,但合并不典型胸痛
和心悸者也不少见。有的患者可合并眩晕
、呼吸困难
、焦虑、反应迟钝等,但这些症状是由MVP引起,还是其伴随症状,尚不能确定。
对于伴有症状的患者,首先应告诉他们多数的MVP预后良好,消除其焦虑、紧张心理至关重要。胸痛的患者需仔细明确胸痛性质,并与心绞痛
、心肌梗死
等进行鉴别。对于主诉心悸的患者,β受体阻断剂可能有效。
二尖瓣反流对MVP的预后和治疗有着重大的影响,合并中重度反流的患者,即使没有症状,也需定期复查心脏超声,如合并EF值下降或左心增大,即需考虑行二尖瓣修补或置换手术。
合并中重度二尖瓣反流的患者,存在发生感染性心内膜炎的风险,在进行口腔科等高危操作时,建议应用抗生素预防感染性心内膜炎。
合并二尖瓣反流者,常合并左房增大,房颤
是左房增大后常见的心律失常
。如果把中重度二尖瓣反流合并EF<50%作为MVP的一级危险因素,轻度二尖瓣反流、左房>40 mm、二尖瓣连枷叶、房颤、年龄>50岁作为次级危险因素,分析后发现,无论总体预后还是心源性预后,具有一级危险因素者最差,次级危险因素越多预后越差(图4)。

图4 MVP的预后危险因素,具有一级危险因素者预后最差,具有越多的次级危险因素,预后越差
最近发表在Circulation上的一个研究也发现,7449名运动员中,215名合并MVP(2.9%),在为期8年的随访中,共发生了8次房颤、栓塞和猝死事件,年发生率为0.5%,其中合并室性心律失常和二尖瓣反流者房颤、栓塞、猝死的风险最高(图5)。

图5 同时伴MR反流和室性心律失常的MVP,心血管事件风险越大
追求着MVP的同时,可能也面临着自身MVP的烦恼,知晓MVP的发生、风险和治疗,管理好引起烦恼的MVP,做生活中真正的MVP!
参考文献:
[1] Basso C, Perazzolo Marra M, Rizzo S, De Lazzari M, Giorgi B, Cipriani A, Frigo AC, Rigato I, Migliore F, Pilichou K, Bertaglia E, Cacciavillani L, Bauce B, Corrado D, Thiene G, Iliceto S. Arrhythmic mitral valve prolapse and sudden cardiac death. Circulation. 2015;132:556–566.
[2] Perazzolo Marra M, Basso C, De Lazzari M, Rizzo S, Cipriani A, Giorgi B, Lacognata C, Rigato I, Migliore F, Pilichou K, Cacciavillani L, Bertaglia E, Frigo AC, Bauce B, Corrado D, Thiene G, Iliceto S. Morphofunctional abnormalities of mitral annulus and arrhythmic mitral valve prolapse. Circ Cardiovasc Imaging. 2016;9:e005030.
[3] Stefano Caselli, MD, Federica Mango, John Clark, Natesa G. Pandian, Domenico Corrado, Camillo Autore, Antonio Pelliccia. Prevalence and Clinical Outcome of Athletes With Mitral Valve Prolapse. Circulation. 2018;137:2080–2082.