
刘煜敏:纤维肌发育不良与脑血管介入治疗|ISS2018
医脉通整理报道,未经授权请勿转载。
对于介入医生来说,动脉纤维肌发育不良并不是一个新鲜的话题。但是系统地认识这一疾病对于早期诊断、避免恶性血管事件的发生,是非常有意义的。在第14届国际脑血管病高峰论坛上,武汉大学中南医院神经科刘煜敏教授就纤维肌发育不良与脑血管介入治疗相关问题进行了介绍与讨论。
概论
纤维肌发育不良(FMD)是一种非炎症性、非动脉粥样硬化
性、节段性、多灶性动脉血管病。1938年首次报道。主要累及全身中等大小的动脉,可导致动脉狭窄、闭塞、迂曲、动脉瘤
或夹层,是青年人群高血压
及卒中
的重要原因之一。
1. 疾病特点
➤ 主要累及肾、颈部动脉,但也可累及全身各处动脉;
➤ 累及各年龄阶层,但以20-60岁多见;
➤ 中年女性更多见;
➤ 目前病因尚不明确,可能与环境、遗传和雌激素
有关。
2. 流行病学
目前缺乏基于社区人群的FMD流行病学资料,在1862例潜在的肾捐赠者的肾动脉造影研究中,FMD的发生率为3.8%,另外一项716例的类似研究提示FMD发生率为6.6%。
随着影像学技术的发展,更多的无症状性FMD被检出。在FMD患者中,75%累及肾动脉,>35%累及双侧肾动脉。一项最近的研究显示,在肾动脉FMD中,伴有肾动脉瘤者占9.8%;既往的研究显示在FMD患者中,20%-30%累及颈动脉;椎动脉FMD相对少见,占7%-19%;在颈动脉或椎动脉FMD中,合并颅内动脉瘤
者占22%。
3. 临床表现
FMD患者会出现高血压
、头痛
、耳鸣
、头晕、颈痛等非特异性的表现,通过影像学检查可进一步早期诊断。较为多见的其他临床表现包括腹痛、卒中、黑矇、体重减轻、Horner综合征、肾动脉夹层等。
病理-生理
1. 病理分型
不同的病理分型决定了不同的DSA表现。根据受累肌群不同,主要分为3类:
➤ 内膜纤维组织增生型(占10%):胶原在血管内膜沉积,形成环状或管状狭窄;
➤ 中膜纤维组织增生型:①中膜发育不良,占80%,中膜增厚和变薄区域交替出现,DSA呈串珠样改变;②中膜外纤维组织增生型,占10%;③中膜过度增生,少见;
➤ 外膜纤维组织增生型:少见,占1%。
注:后两类仅能病理证实。

图1 内膜纤维组织增生型

图2 中膜纤维组织串珠样改变(肾动脉、颈动脉)
2. 病理表现
➤ FMD病灶没有炎症、坏死、脂质聚集及钙化等炎症或动脉粥样硬化的病理表现;
➤ 很多FMD患者合并有动脉夹层。FMD与15%的自发性颈动脉夹层有关;
➤ FMD患者很多合并动脉瘤。
3. 颈动脉蹼(Carotid artery web)
➤ 动脉腔内隔膜状突出物(有时班瘤样扩张),多出现在颈动脉球部,为非典型的内膜下棘状细胞纤维增生物,不伴内皮的增生,无炎性细胞浸润,无脂质浸润;
➤ 多发生在颈动脉(颈动脉球附近),也可见于椎动脉;
➤ 引起血管狭窄;在蹼的远心面形成血流的滞留区,从而产生血栓;
➤ CTA上可见血管腔内充盈缺损,DSA上尚可见到造影剂滞留。

图3 颈动脉蹼
影像学特征
动脉血管造影
是诊断FMD的影像学金标准,主要有3种形态:串珠样、平滑管状、憩室
型。

图4 FMD病灶的三种形态
➤ 内膜纤维组织形成的典型表现——环状或管状狭窄

图5
➤ 内膜纤维组织形成的典型表现——向心性环状狭窄

图6
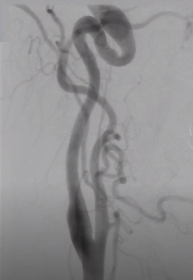
➤ 中膜纤维组织增生的典型表现——串珠样狭窄改变

图7 55岁女性,表现为难以控制的高血压,肾动脉和颈内动脉中-远段呈串珠样狭窄改变,串珠直径大于正常血管腔
➤ 腔内隔膜伴瘤样扩张

图8
➤ 颈动脉体瘤合并FMD

图9 一位54岁女性,因为颈动脉体瘤而行术前DSA检查,显示并存的纤维肌发育不良
➤ 颈动脉蹼

图10
➤ 严重的血管迂曲

图11
诊断和鉴别诊断
1. 诊断
➤ 金标准DSA,建议涵盖肾动脉;
➤ CTA/MRA:对颅内血管的评估较为方便;
➤ 多普勒超声:非侵袭、便于随访;
➤ 如果有特殊症状、血管影像学检查范围涵盖上下肢动脉及肠系膜动脉。
2. 鉴别诊断
➤ 动脉粥样硬化性狭窄或斑块
FMD的狭窄常发生在动脉的中-远段,PTA可以很好地解除狭窄(图12);而动脉粥样硬化性狭窄常发生在动脉分叉起始段,PTA常遗留残余狭窄(图13)。

图12

图13
➤ 动脉炎
受累器官组织缺血症状,全身症状,炎性指标;影像学上广泛受累,向心性狭窄,管壁均匀强化,代偿增生。

图14
治疗策略
1. 内膜型纤维肌发育不良的介入治疗体会
➤ 仔细评估,无明显症状、侧支代偿良好者,慎行介入治疗,控制血压,定期复查;
➤ 侧支失代偿者,预先球扩(球囊直径为80%的病变端正常管径),有效者,置入自膨支架,即刻造影,随时准备后扩;
➤ 必须使用球扩支架时,应仔细测量血管参数,尽量选择接近管径的支架,缓慢扩张,以两端贴壁,狭窄段扩张到不低于70%则可。
2. 颈动脉FMD自发性动脉夹层和/或闭塞,造成急性卒中的治疗体会
➤ 按脑埂塞的急性期标准指南处理,静脉溶栓、血管内治疗;
➤ 注意勿使导丝导管误入假腔;
➤ 对于过度迂曲冗长的ICA血管,建议使用Naïve导管;
➤ 对典型的ICA串珠样狭窄病变,使用单纯球囊扩张;
➤ 对于重度ICA狭窄,建议球囊扩张后,使用自膨支架。
3. FMD合并动脉瘤的介入治疗体会
① 颅外段:脑栓子保护下的:
➤ 单/双高金属覆盖率自膨支架(如Wallstent);
➤ 单开环自膨支架+弹簧圈填塞;
➤ 带膜支架,过0.035导丝,无法实施远端保护,不建议。
② 颅内段:
➤ 支架辅助下的弹簧圈填塞;
➤ Pipeline,直径5.0mm以下血管可考虑。
4. 脑动脉FMD治疗策略
➤ FMD的整体预后尚可;
➤ 无症状的脑动脉FMD可每6个月随访一次,并予以阿司匹林
81mg/天;
➤ 合并无神经系统症状或TIA的夹层者,华法林
抗凝3-6个月;经抗凝治疗后症状复发,或继而出现动脉瘤者,需要支架置入治疗;
➤ 症状性脑动脉FMD首选经皮球囊扩张术,球扩后残余狭窄仍大于30%、或继发“夹层”,则置入支架。
点击进入>>>第十四届国际脑血管病高峰论坛专题报道