
这名患者心梗的原因你想得到吗?竟不按套路出牌!
作者:何金山
北京大学人民医院
本文为作者授权医脉通发布,未经授权请勿转载。
患者为70岁女性,既往有高血压
、糖尿病
、高脂血症
和房颤病史,平素口服氯吡格雷
75mg Qd抗血小板治疗。1小时前休息时突然出现心前区闷痛,持续不能缓解,伴大汗,于急诊就诊,立即完善心电图
,提示房颤伴V4-V6导联ST段抬高0.1-0.2 mv(图1、图2)。

图1 患者急诊心电图提示房颤,V2导联QS型

图2 可见V4-V6导联ST段抬高0.1-0.2 mv
老年女性,具有高血压、糖尿病、高脂血症等多个冠心病
的危险因素,出现持续性胸痛
,心电图提示V4-V6导联ST段抬高,高度指向心肌梗死
">急性心肌梗死的诊断。而至于急性心肌梗死的原因,无非是已经形成的动脉粥样硬化
斑块发生破裂,继发血栓形成,导致冠脉闭塞(图3)。

图3 动脉粥样斑块破裂,继发血栓形成,导致心肌梗死
这就是我们所熟知的冠心病和急性心肌梗死发病机理套路啊,没有什么特殊的。但是,不要忘了,这名患者既往还有长期的房颤病史。房颤只是心肌梗死的一个伴随因素,还是两者之间掺杂着其他的恩怨纠葛?
考虑患者急性心肌梗死可能性很大,未等待TNI检查结果,立即予患者阿司匹林
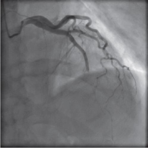
300mg嚼服,联系心内科导管室。转入导管室后行急诊PCI,冠脉造影发现前降支中段完全闭塞(图4),和预想的一样,但观察其闭塞部位类似树枝折断样的改变,考虑为血栓栓塞所致,立即行导管抽吸,抽出新鲜血栓(图5)。

图4 冠脉造影提示前降支中段闭塞

图5 导管抽吸发现新鲜血栓
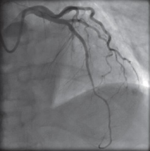
这就和预想的不一样了,说好的动脉粥样斑块破裂的,说好的冠脉狭窄的,这画风转变的有点突然啊!抽吸后前降支血流恢复至TIMI3级(图6),未见冠脉狭窄,患者胸痛症状缓解,未行支架植入术。

图6 抽吸后前降支血流恢复正常
房颤导致心梗的三个原因
房颤和心肌梗死之间千丝万缕的联系,早已得到广泛关注。2014年JAMA发表了“房颤和心肌梗死风险”的文章,研究纳入房颤和无房颤患者分别为1631名和22297名,发现房颤患者的心梗风险较非房颤患者的心梗风险升高了1倍多,并且女性房颤患者较男性房颤患者发生心梗的风险更高。
其中的原因是:(1)房颤患者的心房血栓脱落,堵塞冠状动脉,引起心肌梗死(发生几率相对较低);(2)房颤时心室率加快,造成心肌需氧量增加、冠脉供需失衡;(3)部分房颤患者存在左室肥厚,这进一步加剧了快速房颤时冠脉和心肌之间的供需不平衡,而左室肥厚更常见于女性,这也是女性房颤患者心肌梗死风险增加更为明显的原因。
看来,发生几率相对较低的房颤导致心肌梗死的原因——心房血栓脱落、阻塞冠脉,发生在了这个患者身上。
既往的研究发现,接近3%的急性冠脉综合征
由冠脉栓塞导致,导致冠脉栓塞的原因有卵圆孔未闭
、感染性心内膜炎
、医源性栓塞和房颤等,其中以房颤最为常见。而且发生了冠脉栓塞的急性心肌梗死患者,5年死亡率相比“普通”的心肌梗死患者,增高近1倍。
本该抗凝,却酿成大病……
该患者术后完善经胸超声心动和经食道超声心动,提示左房扩大,未见卵圆孔未闭,未见左房内血栓。回顾患者的病例,我们发现,患者明确房颤病史,70岁女性,高血压、糖尿病,CHADS2积分为3分,CHADS2-VASc积分≥4分,具有抗凝指征,而患者仅服用氯吡格雷抗血小板,未服用任何抗凝的药物,这可能是患者发生血栓栓塞事件最重要的原因。用阿司匹林或氯吡格雷抗血小板代替房颤的抗凝治疗,这是房颤治疗中最大的错误!
而该患者后续治疗中,除了冠心病危险因素的控制,抗凝治疗是最重要的一环。患者当前存在强抗凝指征,无抗凝禁忌,在密切监测出血风险的前提下,华法林
+氯吡格雷口服1年后,改为单用华法林终生抗凝。
要点回顾
临床中,心肌梗死常见,房颤常见,房颤合并心肌梗死没有那么常见,而由房颤直接导致的心肌梗死则更为少见。
房颤和心肌梗死“共享”了很多危险因素,房颤有多种方法导致或加重心肌梗死,过快的心室率、心肌肥厚、氧供和氧需的失衡……不要忘记,房颤最常见的并发症是栓塞,冠脉栓塞也是情理之中。下次碰到房颤合并急性心肌梗死的病例,要多想到一种急性心梗的原因!
参考文献:
[1] Claire E. Raphael, John A. Heit, Guy S. Reeder, et al. Coronary Embolus: An Underappreciated Cause of Acute Coronary Syndromes. JACC: Cardiovascular Interventions. 2018; 11: 172-180.
[2] Shibata T, Kawakami S, Noguchi T, et al. Prevalence, Clinical Features, and Prognosis of Acute Myocardial Infarction Attributable to Coronary Artery Embolism. Circulation. 2015; 132: 241-250.