
图表解读:小脑疾病的临床和影像学表现
导读:小脑疾病,也称为小脑性共济失调
,通常被认为是一种复杂的疾病。本文主要对常见的小脑疾病的临床和影像学表现进行概述。
医脉通编译整理,未经授权请勿转载。
小脑疾病的概述
小脑疾病,包括散发性和遗传性共济失调。其核心临床特征包括共济失调和步态障碍,以及通常无法通过标准神经系统检查
发现的容易被忽略的认知和行为缺陷。
目前有两种认知/行为综合症:(1)小脑认知情感综合症,包括计划和工作记忆相关的执行功能障碍、视觉空间功能缺陷、语言障碍(如语法障碍)和不恰当行为;(2)后颅窝综合征,一种急性小脑认知情感综合征,主要见于儿童。
散发性共济失调包括卒中
、中毒
、免疫性共济失调、感染性/类感染性共济失调、创伤、肿瘤或副肿瘤综合征、影响小脑的内分泌紊乱,以及所谓的“退行性共济失调”(多系统萎缩
和散发性晚发性共济失调)。
遗传性共济失调主要包括四组疾病:常染色体
隐性小脑性共济失调、常染色体显性共济失调(脊髓小脑性共济失调和发作性共济失调)、线粒体疾病和X连锁共济失调。除生化检查和基因检测外,头颅影像技术是诊断和随访的基石。
解剖学背景
1. 小脑的细胞解剖学
小脑皮质有三层组织:内层为颗粒细胞组成的颗粒层;中间层为浦肯野细胞层;外层为抑制性中间神经元(篮状细胞和星形细胞)组成的分子层。Lugaro细胞和高尔基氏细胞是位于颗粒层中的抑制性中间神经元。Purkinje神经元投射到小脑核和前庭核,接收来自对侧下橄榄(攀缘纤维)和脑干核(苔藓纤维)的投射纤维。传入纤维通过小脑下脚(绳状体)、小脑中脚(桥臂)和小脑上脚(结合臂)进入小脑,而传出纤维主要通过上下脚离开小脑。
2. 小脑分叶和功能区
小脑可分为绒球小结叶、小脑前叶和小脑后叶;按功能可分为前庭小脑(原小脑或古小脑)、脊髓小脑(旧小脑),大脑小脑(新小脑)。小脑和大脑皮层之间形成多个环路,就皮层-核团投射而言,小脑蚓部投射到顶核,旁蚓皮层中间小脑皮质投射到间位核;小脑半球皮层投射到齿状核。
小脑性运动障碍(典型的小脑综合征)
典型的小脑综合征包括以下内容:
1. 眼动功能障碍
眼动功能障碍包括凝视不稳和眼球震颤
、扫视欠冲/过冲、扫视性跟踪、眼错位(眼偏斜)、前庭眼反射紊乱和视动反应。眼球运动的平滑和校准所涉及的关键结构是背侧蚓部、顶核、小脑绒球/绒球旁叶以及蚓垂和蚓小结。眼动功能障碍与小脑损伤
部位密切相关(表 1)。

2. 语言缺损
小脑损伤的言语通常较缓慢。随着疾病进展,言语变得难以理解。当出现吟诗状言语时更提示小脑共济失调。小脑蚓部附近小脑半球的内侧部分与语言障碍更相关。
3. 肢体运动协调性障碍
➤ 偏向病灶侧
辨距不良、轮替动作
障碍、运动和/或动作性震颤、运动分解、反跳试验
阳性。
➤ 姿势和步态共济失调
行走时两脚分开、步态蹒跚、左右摇摆(醉汉步态);小脑蚓部(中线)的病变可引起躯干性共济失调,患者跌倒的风险很高。
➤ 肌张力
减低
广泛小脑病变的患者会出现肌张力降低。儿童比成人更容易发生肌张力减退。小脑性痉挛
与伸肌肌张力的解除抑制有关。可发生于有后颅窝肿瘤、Chiari畸形和卒中的患者中,这些病变累及小脑皮质但核团功能保留。
认知/行为综合症
1. 小脑认知情感综合症(CCAS)
CCAS,也称为Schmahmann综合征,表现为执行功能(包括计划和工作记忆)障碍、视觉空间障碍、语言障碍以及不恰当行为。在两种显性遗传性共济失调:脊髓小脑性共济失调17型(SCA 17)和齿状核红核苍白球丘脑底核萎缩中可观察到智力下降。 CCAS是因连接前额叶、后顶叶、上颞叶和边缘结构(包括杏仁核、海马
和透明隔)的神经回路中小脑部分的破坏所致。行为改变更常见于小脑后叶和蚓部的病变,也可见注意力下降和视空间认知损伤,视空间认知损伤更常见于左侧病变。
2. 后颅窝综合症
该综合征主要见于儿童后颅窝手术后,大多数在手术后48小时内发生,典型表现为亚急性起病的缄默症,随后出现构音障碍
和行为障碍。也可见面-口失用症、冷漠和运动贫乏。关于后颅窝综合征的发病机制仍存在争议:一些作者认为是脑积水
和术后水肿
;而另一些人认为缄默症是由于小脑内部的病变所致。
散发性共济失调
表 2总结了日常实践中遇到的散发性共济失调的主要原因。表3列出了急性共济失调的原因。在大多数情况下,成人亚急性起病的共济失调与感染、免疫疾病或副肿瘤综合征有关。


所谓的“退行性共济失调”呈缓慢的渐进过程并且倾向于累及双侧。头颅磁共振成像
(MRI)特别有助于区分各种形式的散发性共济失调(表 4)。

当存在糖尿病
或高血压
等心血管危险因素时,血管原因可能是急性小脑综合征的主要原因(图 1),并且血管病变可导致小脑实质部分萎缩(图 2)。

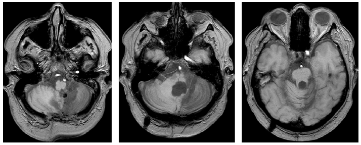
图 1 患有多种心血管危险因素的患者出现后颅窝多发性卒中。左:头颅MRI T2加权序列图像可见脑干和小脑实质存在高信号病灶(箭头)。中右:头颅MRI T1加权序列图像可见低信号病灶(箭头)。

图 2 血管性小脑病变。左:头颅MRI T2加权序列图像可见右侧小脑中脚急性血管病变。中:头颅MRI T2加权序列冠状位图像显示8年后同侧小脑半球萎缩。右:发病9年后随访的头颅MRI FLAIR序列图像显示小脑中胶异常信号和萎缩。
在成人中,泛小脑萎缩是在MRI上观察到的最常见的影像表现。图3显示的是由于副肿瘤性小脑综合征导致的小脑萎缩。该患者有亚急性小脑综合征病史,随后发现恶性胸腺瘤
。

图3 副肿瘤性小脑综合征相关的广泛小脑萎缩。左:头颅MRI T2加权序列冠状位图像。右:头颅MRI T1加权序列矢状位图像。
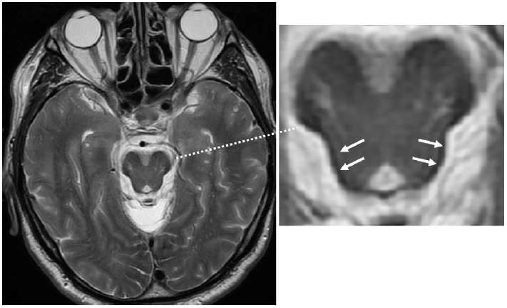
图4显示的是全身免疫疾病相关的小脑萎缩。特异的影像学征象,如T2加权图像中脑干周围的低信号边缘,见于表面铁沉积症(图 5)。

图 4 自身免疫性多内分泌腺综合征相关的小脑萎缩。左:头颅MRI T1加权序列矢状位影像显示蚓部萎缩。右:头颅MRI T2加权序列冠状位图像显示小脑沟增大。

图 5 表面铁沉积症患者表现为小脑性共济失调。头颅MRI T2加权序列图像显示中脑低信号边缘(箭头)。
切除原发性肿瘤后,不可逆的小脑后遗症很常见,结构成像可清楚地显示其程度(图 6)。

图 6 手术切除室管膜瘤后小脑和脑干的后遗症。图为头颅MRI T1加权序列图像。
同时存在小脑性共济失调和自主神经功能障碍的主要原因是多系统萎缩(图 7),典型表现是桥脑出现“十字征”(图 8)。

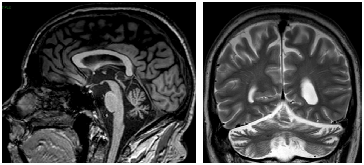
图7 小脑型多系统萎缩。头颅MRI T1加权序列矢状位图像显示明显的小脑萎缩。

图8 多系统萎缩的“十字征”。图为头颅MRI FLAIR序列图像。十字征高信号是脑桥中缝核和脑桥小脑纤维的神经元丢失所致。
遗传性共济失调
表5总结了四种遗传性共济失调,这四种遗传性共济失调均很常见小脑萎缩。图9显示的是痉挛性共济失调相关的小脑萎缩。图10显示的是线粒体疾病相关的小脑萎缩。运动障碍如震颤和Kayser-Fleischer环的存在应考虑Wilson病(图11)。大多数SCA可见进行性橄榄小脑萎缩(图12和13)。


图9 头颅MRI显示痉挛性共济失调(ARSACS
)相关的小脑萎缩。左:头颅MRI T2加权序列冠状位图像; 右:头颅MRI T1加权序列矢状位图像。

图10 线粒体疾病相关的小脑萎缩。图为头颅MRI T1加权序列矢状位图像。

图11 Wilson病患者头颅MRI 影像。头颅MRI FLAIR序列显示Wilson病中的顶盖和小脑中脚的高信号(箭头)。

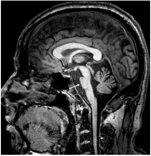
图12 患者头颅MRI 影像。头颅MRI T1加权序列显示脊髓小脑性共济失调2型(SCA2)相关的小脑萎缩。脑桥稍扁平(箭头,左侧)和小脑扁桃体保留(箭头,右侧)。

图13 患者头颅MRI 影像。头颅MRI T1加权序列矢状位图像显示脊髓小脑性共济失调2型相关的小脑和脑干萎缩。脑萎缩和脑桥扁平(箭头);可能的脊髓变细。
医脉通编译自:Manto M , Habas C . Cerebellar disorders: clinical/radiologic findings and modern imaging tools.[J]. Hand
book of Clinical Neurology, 2016, 135:479.