
气管食管瘘,如何预防?
作者:宁静致远
本文为作者授权医脉通发布,未经允许请勿转载。
患者女性,44岁,无吸烟史,明确诊断右肺腺癌伴脑及全身多处转移5年,长期服用靶向抗肿瘤药,2018年底住院期间因误吸导致吸入性肺炎、呼吸衰竭而转入ICU。给予气管插管机械通气、抗感染、抗肿瘤、脱水和肠内营养等综合治疗,肺部感染逐渐得到控制。但多次尝试脱机,都以失败告终。
12月25日,患者突然出现腹胀,听诊肠鸣音存在,考虑可能与消化不良有关,胃肠减压后腹胀缓解,呼吸机潮气量较前无明显变化,吸痰过程也是顺利的。
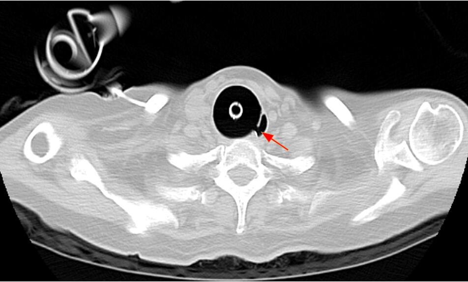
12月26日查房时可听到患者喉部有“呼噜声”,并再次出现腹胀,呼吸机报警潮气量低,分钟通气量仅3.0-3.5L,此时上级医师考虑可能出现了气管食管瘘。当时检查气管插管气囊压力,比鼻尖还软一点,可拿气囊测压表一测,大家都惊呆了,测压器显示此刻压力达到了80.3cmH2O!这远远超过了正常压力范围。为证实气管食管瘘,当天下午我们就给患者做了床边胃镜及胸部CT。
胃镜下清晰可见食管壁有一巨大的破口,气囊和气管插管“突破”重重阻碍到食管了。胸部CT和定位片都可明显看出来。

图1 12月26日胃镜检查时可见1.5cm*4.0cm的瘘口,气管插管清晰可见

图2 发生气管食管瘘的胸片与之前的胸片对比

图3 12月26日胸部CT平扫
对临床医生来说,如果能做到预防或在早期发现气管食管瘘,显然比病情严重后狼狈收场更为重要。发生气管食管瘘的原因可能是气管插管时间长,气管插管型号大小不合适,气囊压力过高等,另外与患者烦躁不安,头部经常活动,频繁吞咽、咳嗽及全身营养状态差也有关。上述种种原因可导致气管壁缺血,引起黏膜坏死、脱落,气管软化、扩张,最后出现气管穿孔、破裂。那么,如何才能预防或早期发现气管食管瘘呢?下面谈谈我的几点想法。
气囊压力凭感觉靠谱吗?
一般认为,气管插管气囊内压力在25-35cmH2O范围是比较合适的,注入5-8mL气体,气管插管不会脱出或漏气即可。医生们得出的经验是:这时连接气囊的末端小球囊的硬度跟你按压鼻尖的硬度差不多。但是凡事不是绝对的,有些管子由于制作材料的不同,手感可不同,而且气管插管时间长了,材料的手感也可能会发生变化。比如此患者气管插管的小球囊硬度比鼻尖还软一些,按理说气囊压力不会太高,但是测压表测出的气囊压力却达到了80.3cmH2O。这就给医务人员挖了个坑,以为压力不够,所以漏气、潮气量低,继续往气囊打气,导致气囊压力远远超出控制范围。这件事也给了我深刻的教训,气囊压力光凭感觉判断不一定靠谱,如果有条件,最好还是通过测压表监测囊内压力,这样更客观。
气管插管尺寸如何选择?
对体型一般的男性,选7.5号管应该就可以了,女性则可以选稍微小一点的,比如7号管。如果选择较细的气管插管,势必需往气囊内打更多气才能保证不漏气,这样气管壁产生的压力也相应增加,同时也增加了气管食管瘘发生的风险。另外,如果考虑患者需长期机械通气,应选用组织性能较好的硅胶插管。
护理细节不容忽视
对烦躁不安、频繁吞咽、多动的患者可适当镇静,防止气管插管气囊反复摩擦气管壁,导致气管壁的损伤;另外,可适当将呼吸机管道托起,减轻其对气管后壁的重力性压迫。
及时调整插管位置
如果呼吸机报警提示潮气量低、漏气量增加,需要增加气囊内的注气量才能减少漏气,说明此时可能已出现气管扩张或软化。这时应该及时拍个床旁胸片或做支气管镜检查明确,如果确定有上述情况,可将气管插管往外拔出或插进一点重新固定,只要保证不漏气就行,避免长期压迫同一位置。
注重患者营养供给
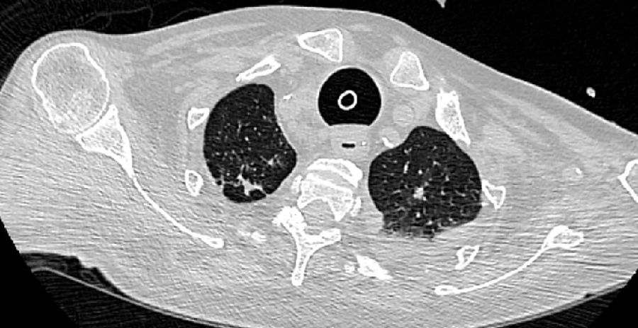
此例发生气管食管瘘的患者十分消瘦,气管-食管间软组织薄弱,当气管软化、破裂后很容易就累及到临近的食管,导致气管食管瘘。如果患者营养状况良好,气管-食管间软组织较厚,也许会是另一个结果。下图是另一位长期气管插管患者的胸部CT平扫图,可见气管已经出现了明显的扩张,但由于气管-食管间组织较厚,还未发生气管食管瘘。

图4 一名肥胖患者的胸部CT平扫图
保持气道湿润
在使用机械通气时一定要给予气道适当的温化和湿化,避免呼吸道黏膜干燥导致分泌物的储潴留干结。可采用生理盐水加药缓慢气道内滴注湿化气道,必要时超声雾化吸入,每日吸入4次,每次20-30分钟,有利于稀释痰液,同时可以抗感染。也可以气管滴药和气道冲洗交替进行,稀释痰液并及时吸出,但注意要避免反复多次吸痰对气管壁的损伤。
要不要适时放气?
对于是否应该适时放气这个问题。有学者提出可定时放松气囊,使受压部位恢复血流。但大多数学者认为,定期监测和控制囊内压力,调整气囊内注气量,则没必要常规地按时放气。而且,若气管黏膜已经受到损伤,就算放气1小时受压部位黏膜血流也难以恢复。
其实预防气管食管瘘最根本的方法是尽早脱机、拔管,在脱机之前要注意以上细节,最大限度避免气管食管瘘的发生。
参考文献:
[1] 董秋信.气管食管瘘的预防及护理[J].临床医药实践,2003,12(3):218-219.
[2] 连亨宁, 肖贞良, 田坤, et al. 气管套管气囊压迫所致气管食管瘘的诊治[J]. 西南军医, 2011, 13(5):850-850.
[3] Kumar PD, Rainey J,Kotton B.Tracheoesophageal fistula and massive pneumoperitoneum after prolonged mechanical ventilation[J].South Med J.2001,94(10):1027-9.