
临床精粹:主动脉夹层和主动脉瘤的诊疗思路
患者男性,28岁,既往没有病史,急性胸痛
2小时。大约2小时前,患者突然出现剧烈撕裂样疼痛(程度10/10)并放射到两肩胛之间的背部,以前没有发作过。无明显家族史,不吸烟、饮酒或服用违禁药物。
生命体征:心率120次/分,左上肢血压
100/40 mmHg,右上肢血压105/40 mmHg,呼吸:25次/分,体温37.2℃(98.96℉),吸氧2 L/min时血氧饱和度96%。身高2米,体重100kg。
体格检查:身材高,心脏检查:心动过速
,律齐,颈内静脉压力为9 cmH2O,胸骨左缘Ⅲ/Ⅳ舒张性杂音,无摩擦音。胸部检查:鸡胸和双肺少量湿啰音。神经系统检查
无阳性发现。其他检查发现轻度脊柱侧弯
、手指细长。
心电图
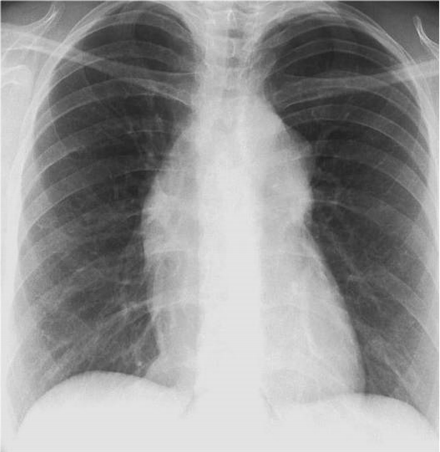
和X线胸片见图27-1和图27-2。除CK、CK-MB和TNI升高外,其他实验室检查均正常。

图 27-1 下壁导联ST段抬高

图27-2 患者胸片
▶ 最可能的诊断是什么?
▶ 下一步最佳检查是什么?
▶ 下一步最佳治疗措施是什么?
病例解答
• 最可能性的诊断:急性A型主动脉夹层
合并严重主动脉瓣反流及下壁心肌梗死
• 下一步检查:CT主动脉血管造影
• 下一步最佳治疗措施:外科急诊手术
年轻患者,突然出现剧烈撕裂样疼痛并放射到背部,这是急性主动脉夹层的典型表现。同时患者有马方综合征
的体格特征。马方综合征患者形成胸主动脉瘤
和夹层的风险较高。马方综合征是一种常染色体
显性遗传疾病,但他没有家族史,大约1/3的马方综合征是由原纤维蛋白1(FBN1)基因突变引起的,因而可无家族史。体检提示有A型主动脉夹层并发症,两上肢之间的血压无差别是因为夹层起源于升主动脉并累及右头臂干和左锁骨下动脉,胸片显示纵隔增宽。此外,患者存在下壁ST段抬高心肌梗死提示夹层累及右冠状动脉开口,伴有急性主动脉瓣闭合不全和下壁心肌梗死引起的急性心衰
症状:心动过速、临界性低血压、颈静脉扩张和双下肺湿啰音。因此,临床医生应警惕上述并发症,才能更好地进行下一步治疗。
虽然患者生命体征异常但相对稳定,下一步应行主动脉CT血管造影以明确主动脉夹层的类型、起源和累及血管,该患者应紧急会诊讨论心胸外科手术的问题。主动脉夹层累及升主动脉者死亡率为20%,此后48小时内每小时死亡率增加1%。手术前,如需要则可静脉给予β受体阻滞剂和扩血管药来控制患者的心率和血压。在应用血管扩张剂前应先给予β受体阻滞剂减少主动脉壁压力,将目标心率控制在55~65次/分。然而,因患者有严重主动脉瓣反流和急性心衰,所以β受体阻滞剂应用是相对禁忌的。
探讨:主动脉疾病诊疗思路
1.定义
升主动脉:主动脉根部到主动脉弓。
主动脉弓:位于升主动脉与降主动脉之间,头和上肢动脉(右头臂干,左颈动脉,左锁骨下动脉)均起源于这一部位。
降主动脉:左锁骨下动脉至膈肌角之间的主动脉。
腹主动脉:膈肌角以远的主动脉。
主动脉瘤:主动脉呈瘤样扩张,通常直径增大超过与年龄和性别相对应的50%以上。
主动脉夹层:血液从主动脉内膜撕裂口进入主动脉中膜,形成破坏主动脉及其分支完整性的假腔。
2.病理生理
主动脉夹层通常是主动脉内膜与中膜分离而形成假腔,少部分是由主动脉中层滋养动脉(供应主动脉壁血液的小动脉和毛细血管网)破裂产生血肿后压力过高撕裂内膜所致。主动脉内的高压力导致假腔沿主动脉长轴方向扩展,损伤真腔和分支血管,并导致终末器官损害。撕裂口发生于主动脉管壁病理性薄弱部位和应力最强部位。
3.危险因素
高血压
是主动脉夹层最常见的危险因素,75% 主动脉夹层患者合并高血压。其他常见危险因素有高龄、动脉粥样硬化
和吸烟。
遗传性疾病也是导致主动脉夹层的危险因素,年轻主动脉夹层患者应考虑这方面的因素。马方综合征是一种常染色体显性遗传病,与调节细胞外基质和TGF-B的原纤维蛋白基因FBN1缺陷有关,除主动脉病变外还有眼和肌肉骨骼改变。Loeys-Dietz综合征是由编码TGF-B受体的TGFBR1或TGFBR2基因缺陷引起的常染色体显性遗传病,患者有眼距过宽、悬壅垂分叉(bifi uvula)和累及主动脉根部。Ehlers-Danlos Ⅳ型是由编码3型胶原蛋白的COL3A1基因缺陷引起的常染色体显性遗传病,临床表现为容易瘀伤和子宫破裂
。二叶主动脉瓣畸形、主动脉缩窄、Turner综合征
和法洛四联征等一些先天性疾病也与主动脉夹层的风险增加有关。主动脉夹层的其他危险因素包括可卡因滥用和胸部创伤,包括手术或手术器械造成的损伤。主动脉组织的炎症,包括感染如梅毒
性、血管炎
如多发性大动脉炎
、巨细胞动脉炎和Behçet病也可导致主动脉夹层。
4.分型
根据其解剖特点主动脉夹层有几种分类方法(见图27-3)。起病<2周为急性主动脉夹层;其余则为慢性。

图27-3 主动脉夹层的Stanford和De Bakey分型。(Reproduced, with permission, from Doherty GM. Current Diagnosis & Treatment: Surgery, 13th ed. New York:McGraw-Hill Edu-cation, 2010. Figure 19-16.)
5.临床表现、诊断和治疗
治疗主动脉夹层的措施详见表27-1。

6.主动脉瘤临床处理方法
主动脉瘤分为胸主动脉瘤(TAA)、腹主动脉瘤
(AAA)或胸腹主动脉瘤(TAAA)。主动脉瘤的Crawford分级系统见图27-4。

图27-4主动脉瘤的Crawford分级系统 (Reprinted, with permission, from Edmunds LH Jr, ed. Cardiac Surgery in the Adult. New York: McGraw-Hill; 1997).
(1)腹主动脉瘤
病理生理学:主动脉的病理性扩张是由于主动脉壁的变性和炎症引起弹性丧失后呈瘤样扩张。根据Laplace定律,动脉瘤越大,其扩张速度越快。动脉瘤直径>6 cm,破裂风险每年>20%。较小动脉瘤直径(5~6 cm),破裂风险每年约6%。破裂最常发生在腹膜后间隙和包裹。
流行病学:腹主动脉瘤比胸主动脉瘤更常见。在所有报道的主动脉瘤中,75%为腹主动脉瘤。在超过65岁的患者中,大约 5% 男性和 1%~2%女性患者有主动脉瘤。95%的腹主动脉瘤位于肾动脉以下,动脉瘤破裂患者死亡率很高。腹主动脉瘤破裂存在“四分法则”:1/4到达医院前死亡,第二个1/4是手术前死亡,第三个1/4是围术期死亡,破裂后生存率大约25%。
病因和危险因素:主动脉瘤的危险因素有高龄、吸烟史、男性、高血压、高脂血症
和其他血管动脉粥样硬化。大约1/4患者的一级亲属有腹主动脉瘤,腹主动脉瘤患者的一级男性亲属患腹主动脉瘤的风险增加12倍。沙门菌和金黄色葡萄球菌
感染可以引起真菌性动脉瘤。大血管炎如多发性大动脉炎、巨细胞动脉炎,或Behçet综合征也可导致动脉瘤的形成。同夹层一样,粗暴的医源性损伤也可导致本病。
临床表现:大部分腹主动脉瘤无症状,只是在常规医学或影像学检查时偶然发现。通常大动脉瘤或快速进展时出现症状。患者可有突然、持续的锐或钝痛,并可能会放射到腿部或臀部两侧。休克
、面色苍白、腹胀和终末器官损伤的表现均可能是动脉瘤破裂的征兆。腹主动脉瘤的并发症包括:腹主动脉瘤和下腔静脉间形成动静脉瘘、腹主动脉瘤和小肠间形成瘘道而导致胃肠道出血,这些均是外科手术的指征。
体格检查:大动脉瘤患者可触到搏动的腹部肿块。大动脉瘤患者要避免深部触诊,以防动脉瘤破裂。听诊可发现腹部血管杂音
,其他部位血管杂音也很普遍,因为这些患者通常有多个大动脉粥样硬化。无脉或肢端冰冷可能是动脉瘤附壁血栓引起远端栓塞的征兆。
诊断性检查:腹部超声是最常用的筛选腹主动脉瘤的工具,因它无辐射和不需要静脉注射对比剂而得到广泛应用,对直径4.5cm以上动脉瘤来说它是最经济和准确的,因此常用它来筛查腹主动脉瘤。然而,腹部超声不能评估主动脉分支,因此手术前应用影像检查明确主动脉解剖结构是必要的。CT主动脉造影提供了动脉瘤的大小、形状及分支,对于直径大于4.5cm的动脉瘤优于超声,而且它可评估血管外出血量和破裂程度。磁共振血管造影
可准确评估动脉瘤大小及病理,非常适合评估是否影响肾上腺和髂股动脉。常规主动脉造影是侵入性的检查,如果有附壁血栓可低估动脉瘤大小。
筛查:美国预防医学会建议对有吸烟史、65~75岁男性应进行腹主动脉瘤常规筛查,血管外科学会推荐对有腹主动脉瘤家族史的男性和女性进行筛查。
治疗:治疗策略是由患者的症状、动脉瘤大小、并发症或终末器官受累情况决定(详见表27-2、表27-3和表27-4)。



(2)胸主动脉瘤(TAA)
病理生理:TAA最常见的是主动脉中层囊性退行性变引起的,中膜的弹力膜和平滑肌丧失,由充满嗜碱性黏液性物质的囊取代,呈现囊性外观。它与腹主动脉瘤一样也可由
主动脉壁的动脉粥样硬化和炎症引起。基因疾病也可导致本病如产生胶原、前胶原、TGF-B的信号通路缺陷。
病因和危险因素:胸主动脉瘤的危险因素有高龄、吸烟史、男性、高血压、高脂血症和其他血管动脉粥样硬化;基因疾病如马方,Loeys-Dietz和 EhlersDanlos Ⅳ综合征也是危险因素;梅毒等感染影响主动脉根部或真菌性、细菌性动脉瘤也可引起胸主动脉瘤的形成。大动脉血管炎、创伤和慢性主动脉夹层也是胸主动脉瘤的危险因素。
临床表现:大部分胸主动脉瘤无症状,只是在常规医学或影像学检查时偶然发现。通常动脉瘤巨大或破裂时出现症状:突发剧烈的胸或背痛,通常破入左胸腔,但也会破入心包造成心包堵塞或破入食管引起吐血,巨大动脉瘤也可压迫胸廓内其他器官,它可引起上腔静脉压迫综合征、食管受压造成吞咽困难
、喉返神经受压造成嘶哑、气管或主支气管受压造成呼吸困难
和咳嗽
、巨大主动脉根部动脉瘤导致严重主动脉瓣闭合不全而心衰,压迫冠状动脉导致心肌梗死,也可引起主动脉夹层。
体格检查:体检通常不能发现胸主动脉瘤,偶尔能感觉到胸骨上搏动性包块。详细的心血管系统检查可评估胸主动脉瘤的并发症如:主动脉反流、心脏压塞
或血栓栓塞现象。医生必须进行全身体检
来发现由胸主动脉瘤引起的终末器官损害的体征。
诊断性检查: 胸部 X 线检查可显示纵隔增宽、气管或支气管位移或异常的主动脉迹象。CT和磁共振血管成像对评估胸主动脉瘤有很高的敏感性和特异性,CT血管成像
最常用,磁共振血管成像可更好地评估主动脉根部、主动脉瓣膜和心包。
治疗:胸主动脉瘤的治疗详见表27-4和表27-5。

临床精粹
▶ 主动脉夹层表现为严重胸部疼痛并向背部放射。
▶ A型主动脉夹层是外科急诊,B型主动脉夹层应药物治疗,仅在出现破裂或终末器官损害时外科手术。
▶ 主动脉瘤通常无症状,只是在偶然的情况下发现。无症状主动脉瘤应定期复查直瘤体直径>5.5 cm时行外科手术,有症状患者应行外科手术。
▶ 血管内主动脉修补术(EVAR)同随机对照试验中的外科手术一样,围术期死亡率低,长期死亡率相似,但是血管内主动脉修补术有特定的适应证条件,只能应用在30%~60%的患者中。
▶ 建议有吸烟史、65~75岁男性患者行腹部超声筛查腹主动脉瘤。
本文内容节选自《心血管病例精粹解析》(天津科技翻译出版有限公司出版)。医脉通已获得出版社授权。欲了解更多内容,请阅读原版书籍。