
阴茎表皮样囊肿一例 | 罕见病例
医脉通编译整理,未经授权请勿转载。
导读
阴茎表皮样囊肿是一种少见的囊肿,目前仅有少数病案报道。本文报道一32岁男性患者,因阴茎系带处活动性结节,在局麻下行手术切除。术后病理检查
显示为表皮样囊肿。
相关背景
表皮样囊肿是最常见的皮肤囊肿,可发生于人体任何部位。然而,位于阴茎的表皮样囊肿却并不常见。该病变通常不会出现任何症状。其病因尚不清楚,可能是先天或后天获得。据目前所知,本病案是印度尼西亚有文献记载的第一例阴茎表皮样囊肿。
个案报道
患者男,32岁,阴茎系带处结节缓慢生长10年。既往病史包括尿路感染、排尿困难、血尿
、外伤等,但均不严重。查体可见阴茎系带右侧腹一活动、有弹性的无痛结节(图1)。阴茎超声显示一直径约3cm的囊性结节,囊肿组织与海绵体及尿道分离。其他检查,如血常规
、肝肾功、尿常规
及尿培养
均正常。初步诊断:阴茎表皮样囊肿。

图1 阴茎系带表皮样囊肿临床表现(图片已脱敏处理)
治疗过程
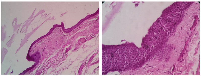
术者在局麻下完整切除囊肿,并根据患者意见行包皮环切术。切除的标本经细胞培养显示为阴性。从外观上看,标本呈透明胶状;显微镜下可见标本内衬有角化层鳞状上皮细胞。病理报告证实阴茎表皮样囊肿的诊断。此外,亚上皮细胞病理结果显示纤维-胶原结缔组织间质充满淋巴细胞(图2)。

图2 标本病理学结果(H&E,A:x10;B:x40)
发病原因
阴茎表皮样囊肿病因目前尚不清楚。根据先前研究显示,可能由胚胎期中缝异常闭合所致,也可能由外部实体组织种植所致,如表皮碎片种植。部分文章报道,中缝囊肿与表皮样囊肿的存在位置不同。此外,中缝囊肿是胚胎发育断层的后遗症(特别在男性生殖器发育过程中)。根据囊肿位置判断,本病案并非中缝囊肿。
临床特点
阴茎表皮样囊肿大小、直径不一,多呈单发性,也可多发。鉴别诊断包括脂肪囊肿、皮样囊肿、畸胎瘤、尿道瘘管和尿道憩室。虽然罕见,但已有囊肿扩展至骨盆的报道。目前尚无阴茎表皮样囊肿恶变的报道。
彻底的体格检查和放射学检查是必要的,以确定诊断和排除其他病变。尿路梗阻、继发感染、性交疼痛或美容因素均为治疗适应证。最佳治疗方法是完全切除囊肿,因为抽吸、单纯引流,甚至部分切除都可能导致复发。
医脉通编译整理自:
Tirtayasa PMW, Mastika NDAH. Epidermoid cyst on frenulum of the penis: A case report. Urol Case Rep. 2018 Sep 4;21:56-57. doi: 10.1016/j.eucr.2018.08.021. eCollection 2018 Nov.