
娇艳美妇丨医学微小说
本文为作者授权医脉通发布,未经授权请勿转载。
《屌丝医生王小鹏》系列小说有大量的专业知识,每个章节都是一个病例,有疑难病例,也有普通病例。本书目的是希望大家在繁忙的工作之余,休闲阅读,放松身心,若能对专业有所启发,更是善莫大焉。

唐强,一个年轻力壮的小伙子,刚好18岁,因为高考落榜,自觉也不是读书的料,于是干脆在哥哥唐文开的水果店帮忙。
唐强的嫂子叫袁春雨,成熟性感、妖娆妩媚,男人们迎面碰到,都忍不住回头多看两眼的女人,也是四婶五婆嘴里的狐狸精、潘金莲。
一日唐强和唐文开车出去送货,遭遇车祸,唐文颅底骨折,所幸唐强无恙,带哥哥去医院做了手术,手术很成功,唐文住院期间,医生们在病房里都见过这位妖艳的美妇,出院时特异嘱咐唐文:避免剧烈运动,包括性生活。
出院1周,唐文一直谨遵医嘱在家休息,然而一个美少妇整日在身边晃荡,唐文被撩拨的欲火难耐,终于忍不住一番云雨。
霎那间,甘霖入旱地、烈火遇干柴。正所谓对垒牙床起战戈,两身合一暗推磨。菜花戏蝶吮花髓,恋蜜狂蜂隐蜜窠。粉汗身中干又湿,去鬟枕上起犹作。此缘此乐真无比,独步风流第一科。
一时间精虫上脑,短暂的快活风流之后,唐文很快就后悔了,因为次日他就出现了咳嗽
、打喷嚏、流清鼻涕、头痛
的症状,袁春雨和唐强都觉得他是感冒了,唐文自己也这样认为,但就是隐约感觉似乎跟那次性生活有点关系。
因为基于第六感的担心,唐文到乡下父母家里住下了,禁欲了一段时间。
这一下,袁春雨有点受不了,半月的独守空房,让她欲火中烧,这时候浑身上下散发着男性青春荷尔蒙气息的唐强进入了她的视野。
她暗送秋波,尽显狐媚勾引之术,年纪轻轻的唐强哪里受得住这些,三下五除二就被轻松拿下。
于是唐文不在的这段时间,唐强、袁春雨二人日日颠鸾倒凤,正所谓携手揽腕入罗苇,含羞带笑把灯吹,鸳鸯被里成双夜,一树梨花压海棠,但求今日赛神仙,哪管明朝东窗发。
然还未等奸情被发现,老天爷就送来了报应,一日二人行房时,唐强的左手、左脚突然无法动弹,而且还伴有左侧偏身的麻木,他停下来休息了几分钟却不见好转,袁春雨也害怕了,穿好衣服,拨打了“120”。
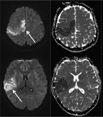
医院急诊CT未见异常,头部MRI提示右侧大脑中、大脑前动脉供血区域弥散受限(见下图)。

急诊科医生给予了常规的静脉溶栓治疗,然效果不佳,请介入科的桥接取栓,手术没有成功,血管未再通。
唐文在乡下身体一直未见好转,但听到弟弟病了,还是匆匆赶往医院,一激动,他的头痛也加重了,而且清鼻涕也多了。
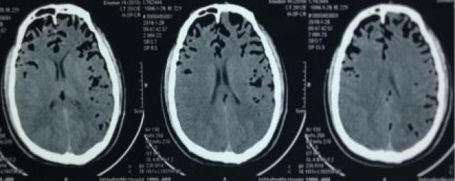
神经内科和脑外科在一层楼上,一天唐文碰到了他的主治医生陈灿,陈灿问起他的病情,唐文详细的说了一遍,陈灿感觉不妙,担心清鼻涕是脑脊液鼻瘘,建议他马上做个CT,并给他开具了检查单,检查结果不出所料(见下图)。

唐文颅内有大量气体,颅底若有骨质破坏,脑膜破损,不仅会有脑脊液从硬脑膜渗出,当患者用力排便、剧烈运动(包括性生活)等,还可以有大量气体进入颅内,出现头痛、恶心呕吐、脑脊液漏。
唐文如实交代了那次性生活的事,陈灿苦笑不语,没办法,还得住院操刀做修补术。
一时间,兄弟二人都成了住院病人。
唐文手术顺利,恢复良好。唐强毕竟也年轻,中风后康复治疗的效果也比预想的好,但是唐强一直对自己的发病时的情况讳莫如深。
“发病是几点,当时你在做什么?”
这句话从急诊入院开始,就有数位医生询问过,因为不管是疾病诊断还是治疗,这句问诊都异常关键。
病人不开口,医生也没办法,只能按照青年卒中的流程慢慢查,一日苏灿看袁春雨给唐强送饭,二人举止轻浮,像极了一对偷情男女。
事后苏灿将亲眼所见告知了王小鹏,姜还是老的辣,王小鹏似乎感觉到了症结所在,他快步走到唐强的病床旁,正好此刻家属都不在,唐强一人在病房,王小鹏关上房门,直截了当的问道:“发病的时候,你是不是在行房事?”
唐强没想到医生会如此直接,让他猝不及防,他支支吾吾的依旧不肯给出答复。
“这个答案对于找到你中风的原因非常重要!你放心,我们会对患者的隐私保密。”王小鹏又补充说。
“嗯...”唐强不情愿的点了点头,声音比蚊子还小。
青年卒中的病因中,颈动脉夹层和卵圆孔未闭发病率较高,卵圆孔未闭所致的卒中需要有一个前提,即右房的压力>左房压力,静脉血流速度慢,相比于动脉,静脉血里更容易形成细小的栓子,在做类似vasaval呼吸的动作时,如用力解大便、行房等,胸腔压力增加,右心的压力就会短时间内大于左心压力,右心静脉血里的细小栓子就会不经过肺循环的过滤进入左心。
方向明确了,就会省下很多繁琐流程,经过TCD发泡和经食道彩超,确诊唐强是PFO,考虑到患者年轻,为了避免以后再次中风,医生在取得家属同意后给他进行了手术封堵。
兄弟二人,均拜倒在娇艳美妇裙下,也不知三人今后将何去何从。