
脑淀粉瘤?脑肉芽肿性病变?这个影像傻傻分不清楚丨病例探究
医脉通编译整理,未经授权请勿转载。
淀粉样蛋白是不可溶性原纤维蛋白的病理性聚集,可以发生于系统性也可以局限于特定器官。颅内淀粉样蛋白最常见的形式是Aβ蛋白,该蛋白沉积在血管壁内,引起脑淀粉样血管病
并伴有颅内出血或形成神经斑。大脑孤立性肿瘤活性淀粉样蛋白沉积物被称为脑淀粉瘤。脑淀粉瘤可以模仿原发性中枢神经系统肿瘤,既往研究报道了几例脑淀粉瘤病例,其中大多数为实质性占位病变。本病例在影像上模仿脑肉芽肿性疾病并累及下丘脑。

病例描述
患者为56岁男性,因疲劳诊断为继发性甲状腺机能减退而进行MRI检查。其他垂体激素正常,脑脊液(CSF)分析正常。头颅MRI显示数个小的增强性结节病
灶,主要集中在右下丘脑区域,病灶周围可见T2高信号,第三脑室侧壁可见轻度占位效应(图1)。结节的增强模式为实性和环状,部分增强的结节呈T2低信号,ADC值增加;右侧豆状核内侧可见SWI低信号。沿延髓深静脉未发现SWI低信号。最初认为该表现提示淋巴瘤或肉芽肿性炎(如结节病)或肉芽肿性感染(如分枝杆菌)有关。PET-CT显示头部、胸部、腹部或骨盆的FDG摄取无病理性增加。CT未显示与病变相关的明显钙化。为了明确诊断,患者接受了右下丘脑病灶立体定向活检。

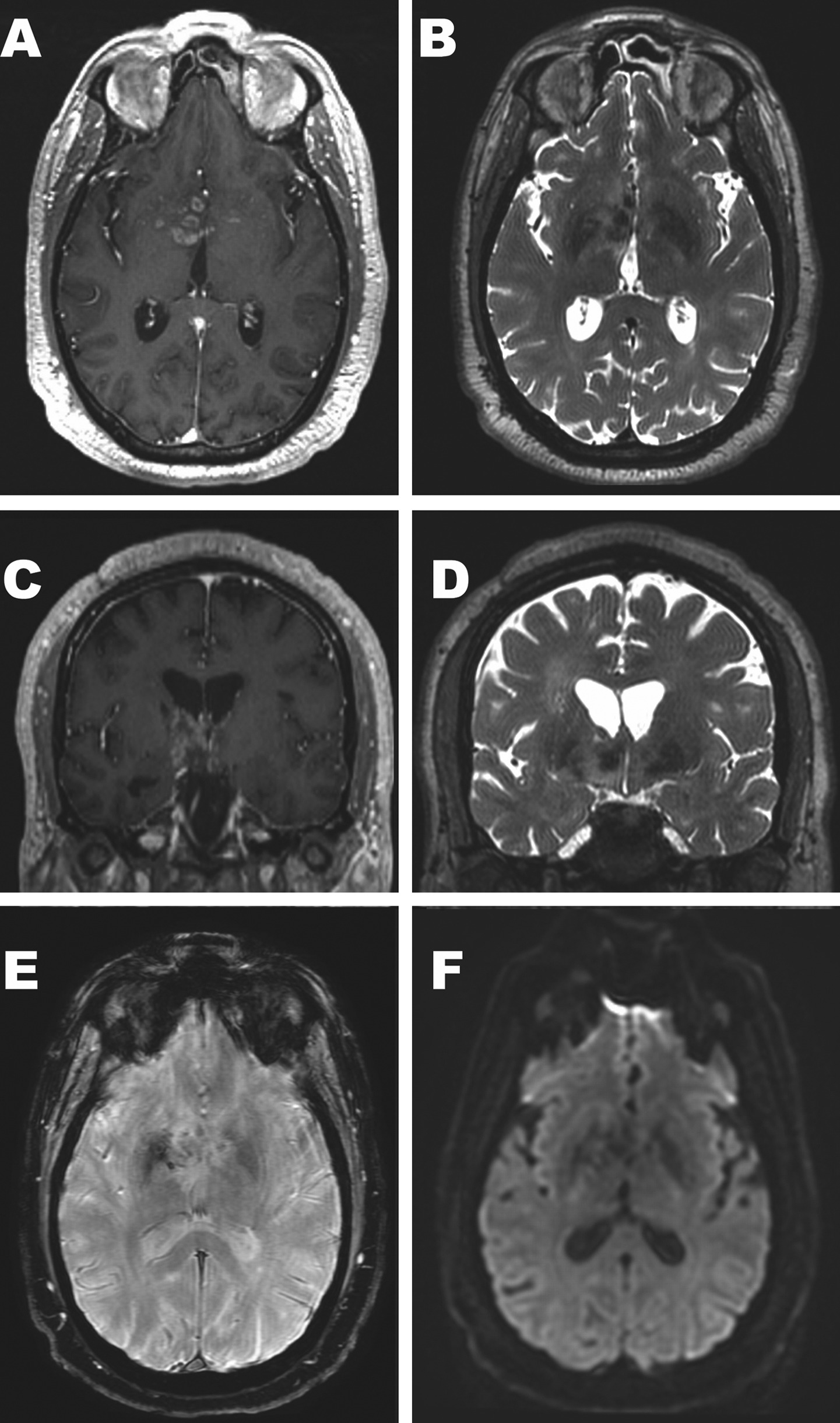
图1 患者头颅MRI影像结果。
轴位T1增强(A),轴位T2加权(B),冠状位T1增强(C)和冠状位T2加权(D)图像显示数个小的结节状T2低信号病灶,伴环形或实性增强,病灶主要分布在右下丘脑,少数在右侧腹侧丘脑和左下丘脑。第三脑室前部右侧可见轻度的占位效应。轴位SWI图像(E)显示右侧豆状核内侧不对称低信号,同一区域可见微小增强血管(A)。该区域的小血管在病理上钙化严重。弥散加权图像(F)没有显示出弥散受限。
术中涂片
显示不规则的团块状嗜酸性物质(图2A)。背景为低细胞性,仅可见散在的巨噬细胞和反应性胶质增生。未见神经胶质或造血肿瘤的特征,也未发现肉芽肿性炎症。在永久性切片上(图2B-C),常规染色证实为无细胞性球状浅色嗜酸性物质,其周围含有钙化的血管,伴有胶质增生。除散在的巨噬细胞和少数巨细胞外,病灶缺乏明显的炎性细胞成分,且未见明显的浆细胞
群。嗜酸性物质刚果红染色阳性,偏光显微镜呈苹果绿色双折射(图2D)。κ和λ轻链免疫组化染色显示λ轻链淀粉样蛋白染色强阳性,而κ轻链(图2E)和甲状腺素蛋白(未显示)染色很弱,考虑为非特异性背景染色。κ和λ轻链的原位杂交未显示出轻链聚集的浆细胞。电镜显示直径为7-11 nm的纤维状物聚集(图2F)。最终病理诊断为淀粉瘤,λ轻链型。考虑到该病变与淋巴样或造血肿瘤的相关性,建议进行血液学随访。血清蛋白电泳
、骨髓活检和脂肪垫活检均正常。患者接受了一个疗程的地塞米松
治疗,活检后13个月进行了MRI检查,发现病变的大小略有减小。该患者继续接受地塞米松治疗,并接受临床和影像检查。

图2 患者组织活检结果。
(A)H&E显示出形态不固定的嗜酸性物质,其背景为低细胞性和反应性神经胶质增生;比例尺= 50μm。(B-C)永久切片显示胶质增生和无细胞性蜡状嗜酸性物质的聚集,可见散在炎性细胞和严重钙化的小血管;B和C的比例尺分别为200μm和50μm。(D)刚果红染色为阳性(左图),偏振光可见苹果绿色双折射(右图);比例尺= 50μm。(E)不固定形态沉积物λ轻链免疫组化染色强阳性,而κ轻链(插图)仅为弱染色;比例尺= 100μm。(F)电子显微镜可见纤维状物质的大量沉积,直径范围为7-11 nm;比例尺= 50 nm。
讨论
中枢神经系统淀粉瘤很少见,但由于临床和影像学表现可模仿原发性神经胶质瘤
,因此及时识别至关重要。淀粉瘤在中枢神经系统的不同部位都有报道,最常见是位于幕上薄壁组织,很少见于硬脑膜。文献中报道最多的是孤立性外生性或浸润性占位病变,延伸到侧脑室壁。某些病例在占位病灶边缘观察到细微的不规则放射线样病变,其为沿血管的病理性沉积。
研究显示淀粉瘤的MRI特征多种多样。在T1加权图像上,可为低信号、等信号和高信号。T2信号强度通常为混合性,包括低信号的结节与较高信号区域的混合,可能是由于淀粉样蛋白沉积不均匀所致。T1增强通常显示为弱或强增强。据推测,病灶周围增强可能与淀粉样蛋白在血管壁的沉积和血脑屏障的破坏有关。此外,SWI低信号也可见,可能与出血或沿小血管的钙化存在有关(如该患者病理标本所见)。考虑到图像分辨率的限制,这些微钙化可能不够稠密,无法在脑部CT上显示。脑血管造影
可以正常或因淀粉瘤的占位显示血管移位。该患者具有不同的影像学表现,由围绕第三脑室的几个环形或实性增强性结节组成。最初认为影像学表现提示淋巴瘤或肉芽肿病变,可能是血管周围分布。但是,活检结果提示淀粉瘤。据我们所知,文献中没有报道过具有这种影像特征的病例。
大多数脑淀粉瘤是轻链λ亚型。在最近的一项包括7例原发性CNS淀粉瘤患者的系列研究中,Hess等人发现了所有病例中都有单克隆B细胞群的证据,这与之前有关CNS淀粉瘤和低级别B细胞瘤形成相关的报道相一致。在本报告中,我们鉴定了λ亚型淀粉瘤,但没有克隆性淋巴细胞群的证据。此外,该患者淋巴瘤或骨髓瘤的系统评价为阴性。
总之,中枢神经系统淀粉瘤通常临床病程稳定和预后良好,但应密切临床随访。
原文索引:Radmanesh A, Wood MD, Bollen AW. Cerebral amyloidoma: A mimicker of granulomatous disease on brain MRI. J Neuroradiol. 2019 Sep;46(5):336-339. doi: 10.1016/j.neurad.2019.02.009. Epub 2019 Mar 7.