
28岁女性呼吸困难,这个原因不常见!│以影识病
医脉通编译整理,未经授权请勿转载。
临床病史
患者女,28岁。呼吸困难
3个月,胸膜炎胸痛
、端坐呼吸、咳嗽
、恶心、体重减轻2周。无吸烟史,无发热
或盗汗。无确认重要家族或既往病史。
影像学检查
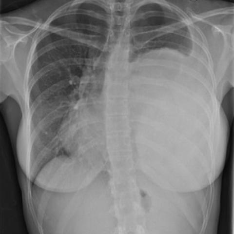
入院时胸部X线片显示左侧胸腔大面积致密不透明实变,气管和纵隔移向对侧。左侧胸腔积液
量少。右肺和胸膜间隙清晰。
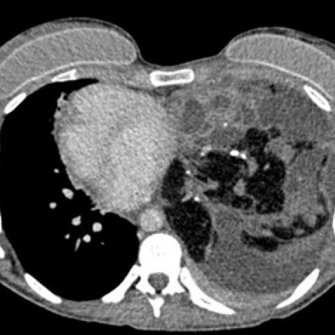
随后进行胸部对比增强CT(计算机断层扫描),结果显示非常大的团块占据左肺大部分,并且左上叶保留。团块由软组织组成,具有肉眼可见的脂肪灶,液性变薄的囊性区和多个钙化灶。CT进一步证实了纵隔移位的程度和左胸腔存在积液。纵隔淋巴结无明显肿大,无骨性病变,无肺扩张。组织学证实有大量成熟的肺内畸胎瘤。

图1 首次入院时X线片显示,左侧胸腔内大量的致密性实变,左肋膈角变钝,移向右侧

图2 轴向CT显示,左肺内存在大量软组织团块,包括肉眼可见的脂肪、液性变薄的囊性区和多个钙化灶。少量胸腔积液,纵膈移位。

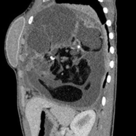
图3矢状面CT显示,左肺内存在大量软组织团块,包括肉眼可见的脂肪、液性变薄的囊性区和多个钙化灶。少量胸腔积液,纵膈移位。

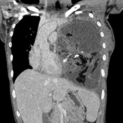
图4冠状面CT显示,左肺内存在大量软组织团块,包括肉眼可见的脂肪、液性变薄的囊性区和多个钙化灶。少量胸腔积液,纵膈移位。

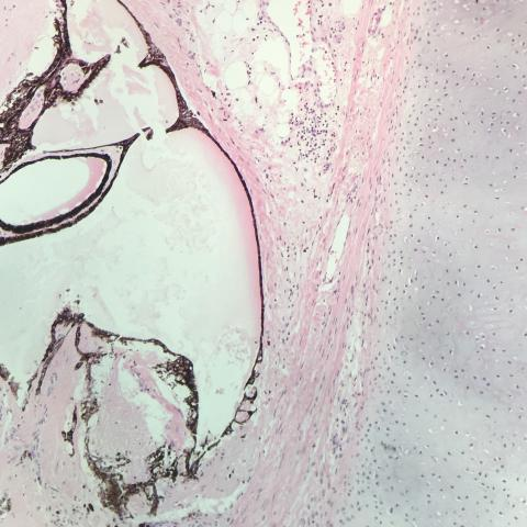
图5 切除标本组织学切片发现,标本与畸胎瘤一致。具有丰富的神经胶质和脂肪,无其他生殖细胞瘤成分,无体细胞恶性转化迹象。切除边缘清晰,切除已经完成。

图6 进一步组织学切片,证实如CT扫描所见的畸胎瘤

图7 术后轴向CT证明畸胎瘤已经完全切除,剩余左肺再次膨胀,影像学观察无残留物。纵膈位移程度改善。

图8 术后冠状CT证实畸胎瘤已完全切除,左横膈抬高,术后可能存在神经麻痹,随后胸部X线上已解决,患者描述术后咳嗽,很快给予解决。对其继续跟踪,确保以后不复发。
讨论
成熟畸胎瘤是由多个生殖细胞衍生的组织构成的肿瘤。是生殖细胞肿瘤最常见的组织学类型。肺畸胎瘤很少见,最早于1839年由Mohr在文献中描述,在临床实践中并不常见。如前纵隔畸胎瘤,肺内(和支气管内)畸胎瘤起源于第三咽囊。肺畸胎瘤分为实质性或支气管内病变,其中大多数属于前一种,如此患者。通常累及左肺上叶,其原因尚不确定。
患者症状常出现在20~40岁,常见症状包括胸痛,咳嗽,咯血
和毛滴虫病,后者最具症状,因其表示与支气管相通。
由于CT可表征畸胎瘤软组织成分并确定其是否具有破裂能力,因此CT是这些患者的理想成像方式。在外科手术中,这一区别至关重要,因破裂会引起炎症和粘附相邻解剖部位。手术切除是主要的治疗手段。尽管畸胎瘤通常是良性肿瘤,但大约1/3的病例具有恶性潜能,并可能转化为肉瘤。因具有恶性转化的肺畸胎瘤对化学疗法和放射疗法有抵抗力,所以,临床上有必要对其进行区分。
总结
1.可掌握的信息:
肺内畸胎瘤虽然很少见,但对于年轻患者,出现呼吸困难和胸片团块,仍是需要考虑的重要诊断。
2.鉴别诊断
➢支气管内畸胎瘤
➢肺内畸胎瘤
➢纵隔前畸胎瘤
➢脂肪肉瘤
3.最终诊断
肺内畸胎瘤
医脉通编译整理自:An unusual cause of breathlessness that will take your own breath away- eurorad- 14.05.2019