
气胸与张力性气胸的病因、影像学表现总结|以影识病
医脉通编译整理,未经授权请勿转载。
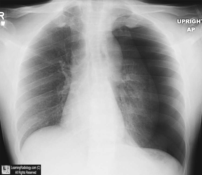
患者男性,23岁,被刺后出现刺痛,胸片如图1。最可能的诊断是什么?

图1
A. 肺挫伤
B. 张力性气胸
C. 肺撕裂伤
D. 嗜酸性肉芽肿
E. 单纯性气胸
诊断:张力性气胸
气胸与张力性气胸的病因、临床表现和影像学表现又有哪些呢?
解剖和病理生理学
(1)解剖学
①脏胸膜附着在肺表面;
②胸膜腔内通常没有空气;
③空气进入胸膜腔将脏层与壁层胸膜分开;相反,在阻塞性肺不张
中,脏层和壁层胸膜通常不会分离。
(2)病理生理学
①脏层胸膜破裂
②或壁层胸膜外伤
临床表现与病因
1. 气胸表现为突然出现下述症状:胸膜炎性胸痛
、呼吸困难
(80%-90%)、咳嗽
、背部或肩部疼痛。
2. 气胸的病因:
(1)穿透创伤
(2)闭合性损伤:可能因肋骨骨折、胸内压升高所致。可能引起支气管破裂。具有 “肺坠落征”(垂肺征)。
(3)医源性
①气管切开术
②尝试或插入中心静脉导管
③机械通气
➤维持PEEP的患者中多达25%可能发生
➤可能是双侧或处于张力状态
④胸腔放射
(4)自发性气胸
自发性气胸是最常见的病因。好发年龄为20~40岁,男女比例为8:1,吸烟者、瘦高体型的人容易发生。

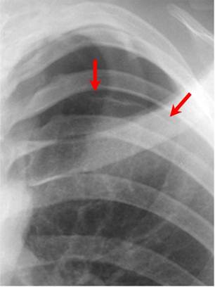
图2 白色胸膜线(红箭头),这是气胸的唯一最佳指征
治疗方法包括:简单抽吸(成功率> 50%)和胸腔穿刺术
(90%有效)。预后:同侧复发率30%,对侧复发率10%。
(5)气胸的其他原因
①新生儿疾病:包括胎粪吸入,呼吸机治疗肺透明膜疾病。
②恶性肿瘤:原发性肺癌;肺转移,特别是骨肉瘤
的转移;胰腺、肾上腺、肾母细胞瘤。
③肺部感染:结核,坏死性肺炎,球孢子菌病,包虫病,百日咳
,急性细菌性肺炎,葡萄球菌败血症,艾滋病
(卡氏肺孢子虫,结核分枝杆菌,非典型分枝杆菌)。
④肺纤维化的并发症:组织细胞增生症X、特发性、囊性纤维化
、结节病
、硬皮病、嗜酸性肉芽肿、间质性肺炎、类风湿肺、特发性肺含铁血黄素沉着症
、肺泡蛋白沉积症
、胆汁性肝硬化
⑤哮喘或肺气肿
⑥“月经性气胸”:是一种周期性自发性气胸,发生在月经期间,与子宫内膜异位症有关。多数出现在右侧,左侧及双侧气胸也有报道。
⑦马凡氏综合征
⑧埃勒斯-当洛综合征
⑨肺梗死
⑩淋巴管肌瘤病
和结节性硬化症
:在淋巴管肌瘤病和组织细胞增生症X中,气胸的发生率特别高。
气胸的类型
1. 闭合性气胸
2. 开放性气胸
3. 张力性气胸
(1)由于空气自由进入和排出有限,胸膜腔内空气积聚
(2)病理生理学:
呼吸或吸气相时,胸膜腔内压大于大气压。
(3)频率
➤3-5%的自发性气胸患者发生
➤气压伤(机械通气)较高
➤存在任何可导致气胸的诱因或原来气胸患者临床症状突然恶化时均应考虑张力性气胸的出现
➤心肺复苏的患者在出现呼吸困难时也应考虑张力性气胸的出现
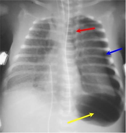
图3 左侧张力性气胸(蓝箭头)压迫心脏和纵隔结构右移(红箭头);此病例,左侧有一个深沟征(黄箭头)。有潜在的透明膜病。
气胸的影像学表现
1. 可见脏胸膜白线,其厚度与皮肤皱褶不同,脏胸膜白线远端或周围无肺纹理。无足够的证据表明只有无肺纹理时,才是气胸:
(1)大疱性疾病不会出现肺纹理
(2)大疱线凹面朝向侧胸壁
(3)气胸常是凸面朝向胸壁
2. 纵隔和/或前联合线移位
3. 深沟征
(1)正面观,侧面肋膈隐窝比对侧更大
(2)在深沟征一侧,横膈膜可能反转
4. 全部/部分的肺塌陷
5. 由于全身静脉回流减少和心输出量减低而导致SVC或IVC塌陷
6. 张力性气胸
(1)内脏胸膜清晰可见
(2)纵隔移位至对侧
(3)直立胸片,胸膜腔液气平面
诊断注意与预后
1. 皮肤皱褶:比脏胸膜白线更粗
2. 胸壁和手臂空气滞留:可看到透明区而不是脏胸膜白线
3. 预后:气胸每天的吸收率为1.25%(通过增加吸入氧气浓度加速)
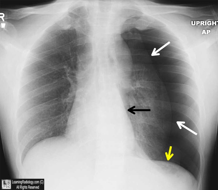
图4 张力性气胸。胸部X线片显示左侧张力性气胸(白箭头),心影右移(黑箭头)和左侧横膈膜凹陷(黄箭头)。
医脉通编译整理自:http:// learningradiology.com/