
奇怪的“奶茶样胸水”,不要漏诊这种细菌│临床心得
作者│蔡丽婷 东南大学医学院附属江阴医院 呼吸与危重症医学科
本文为作者授权医脉通发布,未经授权请勿转载。
“菜花样肿物,豆渣样白带,干酪样坏死,巧克力囊肿……”,医学中,便于形象描述,往往会使用我们日常生活中的食物加以比喻。接下来要讲的这个比较特殊的病例,如果能用一个适合的比喻,那么我想是“奶茶样胸水”。其胸水颜色呈现棕色,像极了原味奶茶。

图1 医学中常见的形象比喻(来源于网络)
患者表现出奶茶样胸水,见图2。

图2 患者胸水呈棕色(左),具有“奶茶样”表现
此例患者是一位57岁的中年男性。因“咳嗽
咳痰伴左胸痛
8天”来我院东南大学医学院附属江阴医院呼吸与危重症医学科住院。8天前无明显诱因下出现咳嗽,咳痰,白色黏液痰,伴左侧胸痛,咳剧时明显。在当地医院查胸部CT:左侧大量胸腔积液
呈包裹性,左肺膨胀不全。后至我科住院进一步诊治。既往有“高血压病1级(低危组)、心律失常(窦性心动过速、室性早搏)”病史。查体:胸部左侧语颤减弱,左肺叩诊浊音,左肺听诊呼吸音低。入院后安排超声引导下胸腔小导管穿刺引流,引流出大量如前所述的“奶茶样胸水”,伴恶臭,留取胸水送检。胸水常规:淋巴细胞百分比2.7%,中性粒细胞百分比80.3%,单核细胞百分比17.0%,颜色乳白,透明度明显浑浊,李凡他试验
阳性,白细胞计数106151.00uL,凝固性不自凝,红细胞计数45000.00uL。胸水生化:氯97.0mmol/L,葡萄糖
0.02mmol/L,总蛋白5.8g/L,乳酸脱氢酶1183.0IU/L,腺苷
脱氨酶148.2IU/L。胸水CEA:1.0ng/mL。后胸水厌氧菌培养+药敏: 星座链球菌,对左氧氟沙星
、环丙沙星
、万古霉素
、利福平
敏感,对氨苄西林
中介,对红霉素
、庆大霉素
、克林霉素
耐药。至此,患者明确诊断为:左侧星座链球菌脓胸。
图3 患者微生物检测报告
星座链球菌的特点
星座链球菌是草绿色链球菌群,咽峡炎链球菌属
(又称米勒链球菌菌属)的一个菌种。与其同在一个菌属的还有咽峡炎链球菌和中间型链球菌。星座链球菌有三个亚种,分别是星座链球菌星群亚种、星座链球菌咽炎亚种,以及星座链球菌亚种。星座链球菌是革兰阳性球菌,成双链或短链排列,在血平板上可形成灰白色,针尖大小,凸起,圆形,光滑湿润,边缘整齐,有明显β溶血环的菌落。其广泛分布于自然界,在人体体表、口腔和肠道等部位均有分布,通常为条件致病菌,在机体免疫力低下常可引起化脓性感染。
星座链球菌感染在国外于20世纪70年代末期有报道,在国内是1999年首次报道,其后报道较少。主要原因有两点。一是因为该菌群要放置在5%CO2或厌氧环境才能促进其生长,在需氧环境中生长不良,导致临床实验室容易忽略此类菌群的检测;再就是,当前存在滥用抗生素,而该菌群对大部分抗生素敏感,导致其培养阳性率低。
星座链球菌脓胸的治疗
脓胸最关键的治疗是控制原发病灶,根据致病菌对药物的敏感性,选用有效抗生素;彻底排净脓液,促进肺组织尽快复张。此例患者入院后就及时行超声引导下胸腔小导管穿刺引流,并不断冲洗脓腔,一方面缓解了患者临床症状,另一方面得以留取标本及时送检。
星座链球菌对多种抗生素敏感,特别是青霉素
及其衍生物有较高敏感性。因此,选择药物治疗上往往将青霉素类药物作为首选,其次是第一、二代头孢菌素类、克林霉素、左氧氟沙星和万古霉素等。在临床实际工作中,在未取得药敏结果前,可参考上述经验性用药,同时参考当地的流行病学特点。如果有合格的药敏结果,则需要根据结果调整现有用药。此例患者使用的左氧氟沙星药敏是敏感的。另外,考虑到不排除厌氧菌感染可能,联合使用了吗林硝唑。予以左氧氟沙星(0.5g,qd)+吗啉硝唑
(500mg,bid)抗感染治疗14d,同时尿激酶
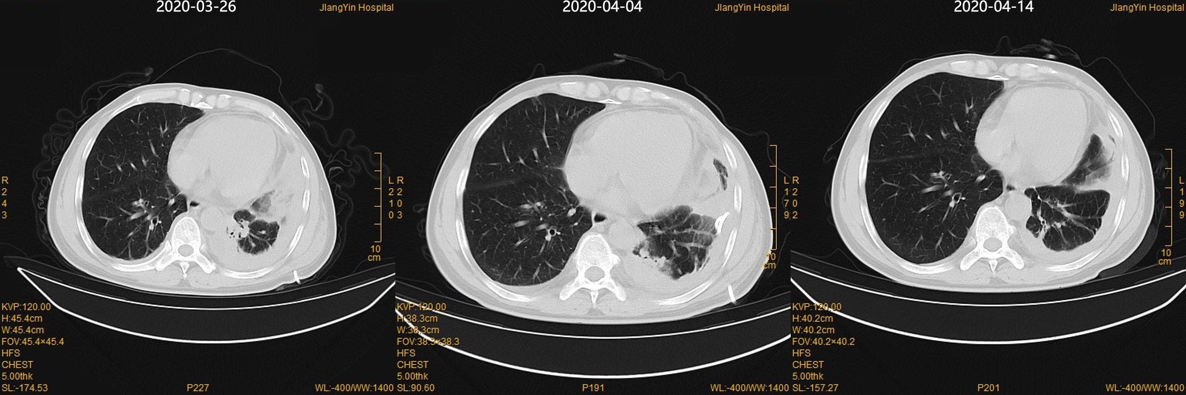
10万u+生理盐水50ml胸腔冲洗。复查CT较前好转。

图4 住院期间胸部CT对比
综上所述,临床医生应提高临床思维和对致病原的认识,重视病人的病情特点;微生物实验室也应提高相关技术水平和认识,不要全依赖设备,要积极发挥“人脑职能”,以减免培养中出现漏检;微生物实验室和临床应多相互交流沟通,以正确及时的留取并送检标本,提高培养的成功率,为临床用药提供重要价值的依据。
参考文献
[1] 江银玲, 雷祖宝, 杜方兵, 等. 星座链球菌脓胸1例分析 [J]. 安徽医药, 2013, 17: 628-9
[2] 杨春玲, 倪语星. 30株星座链球菌的分离鉴定及抗生素敏感性试验 [J]. 上海医学检验杂志, 2002, 17: 354-,7
[3] CLARIDGE J E, 3RD, ATTORRI S, MUSHER D M, et al. Streptococcus intermedius, Streptococcus constellatus, and Streptococcus anginosus ("Streptococcus milleri group") are of different clinical importance and are not equally associated with abscess [J]. Clin Infect Dis, 2001, 32(10): 1511-5.