
老年女性曾诊断为干燥综合征,现出现呼吸困难,病因为何?| 病例挑战
医脉通编辑整理,未经授权不得转载。
原发性干燥综合征(pSS)是一种主要累及外分泌腺,尤其是泪腺和涎腺为特征的慢性炎症性自身免疫病,常有多系统受累。间质性肺纤维化和气道病变是pSS最常见的肺部病变表现。pSS很少伴有浆膜炎如胸膜炎或心包炎。本文报告一例诊断为干燥综合征相关胸膜炎的病例。
案例简介
患者,71岁,女性,8年前诊断为原发性干燥综合征,每天口服2mg强的松龙治疗。2011年,在胸部x片上偶然发现左胸腔积液
。因为患者没有呼吸道症状,所以未给予相关治疗,仅定期临床检测。2015年9月,患者因劳累而出现呼吸困难
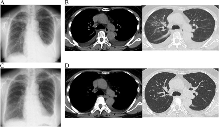
,胸部x片显示右肺野弥漫磨玻璃样影和左侧积液(图1A)。胸部计算机断层扫描(CT)显示双侧胸腔积液增加,右肺野出现新的磨玻璃样混浊(图1B)。

图1(A)胸部X光片显示右肺野弥漫性磨玻璃样混浊和左侧积液。(B)CT显示右肺野有磨玻璃样混浊及双侧胸腔积液。(C和D)类固醇治疗后的胸片和胸部CT图像:双侧胸腔积液和磨玻璃样混浊减少。
体格检查显示左侧进气量减少,口干和眼睛干燥。没有观察到雷诺现象和任何关节疼痛或肿胀。实验室检查:全血细胞计数
、尿液分析
、生化和凝血试验的结果正常。脑利钠肽水平为57.1 pg / mL(正常<18.4)。抗核抗体滴度为×40,具有均匀且有斑点的模式,而类风湿因子
水平为3.0 IU / mL(正常<15.0)。患者的抗环瓜氨酸肽抗体、抗SS-A / Ro抗体和SS-B / La抗体均为阴性。
胸腔积液浑浊,呈渗出性。胸腔积液中白细胞总数为1420/ ml(中性粒细胞5%,淋巴细胞95%)。腺苷
脱氨酶水平正常。渗出液中未见恶性细胞。右侧支气管肺泡灌洗液(BALF)淋巴细胞水平升高(59%),CD4/CD8比值为0.63。支气管肺泡灌洗液和胸腔积液标本抗酸性细菌阴性。由于经支气管肺活检
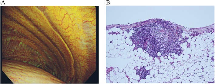
未见具体的发现,故在局部麻醉下行胸腔镜检查
,结果显示左侧胸膜腔未见异常表现(图2A)。活检显示淋巴细胞明显浸润,无淋巴瘤或恶性间皮瘤迹象(图2B)。所有积液、BALF和活检标本的培养均为抗酸杆菌和真菌阴性。根据病理结果,诊断为干燥综合征相关胸膜炎。

图2 (A)胸腔镜显示左胸膜未见异常。(B)胸膜活检标本显示淋巴细胞浸润(苏木精和伊红染色)。
明确诊断后,予以泼尼松
25 mg治疗,胸腔积液和磨玻璃混浊立即改善,如图所示(图1C和D)。
一起了解一下SS相关性胸膜炎吧
原发性干燥综合征(pSS)是一种进行性系统性自身免疫性疾病,其特征是泪腺和唾液腺等外分泌腺炎症性淋巴细胞浸润,导致组织破坏。临床表现为口干眼
干、腮腺肿胀、严重疲劳、广泛的肌肉骨骼疼痛和多发性关节炎。其患病率估计为0.5%--4%。除了眼干口干外,pSS还可累及多个器官,如肺部。pSS的肺部受累表现多种多样,包括气道疾病和间质性肺病等。
胸膜炎是pSS的一种罕见表现,既往文献中只有9篇报道胸膜炎是原发性SS的一种特殊并发症。这些病例的胸腔积液以淋巴细胞增多、SS-A/SS-B抗体水平升高和补体水平低为特征。
胸腔镜胸膜活检和类固醇治疗的快速反应有助于诊断SS相关性胸膜炎。原发性SS相关性胸膜炎的病理学表现尚不清楚。在本例中,淋巴细胞明显浸润胸膜,没有恶性肿瘤或结核的迹象。
结语
总之,本文报道了原发性干燥综合征并发胸膜炎的病例。临床医生应意识到,原发性干燥综合征患者在疾病进展中会出现胸腔积液。此外,胸腔镜胸膜活检和类固醇治疗的快速改善有助于诊断与干燥综合征相关的胸膜炎。
参考文献:
[1]Hosoda C, Hosaka Y, Ryu K, Kinoshita A, Saito K, Kuwano K. Pleuritis associated with primary Sjogren syndrome. Respirol Case Rep. 2017;6(2):e00285. Published 2017 Dec 22. doi:10.1002/rcr2.285
[2]Stojan G, Baer AN, Danoff SK. Pulmonary manifestations of Sjögren's syndrome. Curr Allergy Asthma Rep. 2013;13(4):354-360. doi:10.1007/s11882-013-0357-9