
疫情之下,16岁花季少年突发急性心梗,原因为何?
作者:李妍、张薇、马文帅 空军军医大学第二附属医院
医脉通编译整理,未经授权请勿转载。
2020年4月,在新冠疫情下,空军军医大学唐都医院心内科在凌晨03:00接诊了一名年仅16岁的患者,初三学生,因为疫情的原因,学校停课,居家隔离上网课,然而,这位少年躲过了新冠肺炎,却没躲过急性心梗,是何原因呢?
病例简介
16岁男性,在玩手机时突发心前区疼痛,向左肩放射,伴出汗,持续不能缓解,半夜来我院急诊就诊,此时距发病已10小时.
入院查体示,血压110/65mmHg,心率95次/分,律齐,心音略低,未闻及杂音,双肺呼吸音粗,未闻及干湿性啰音。行心电图
检查提示急性前壁心肌梗死(图1),急查心肌酶阳性,床旁心脏超声提示左室前壁运动幅度减低(图2),左室射血分数(LVEF)为45%。

图1 心电图示:窦性心律,V1-V5 ST段抬高

图2 心脏超声提示左室前壁运动功能减低
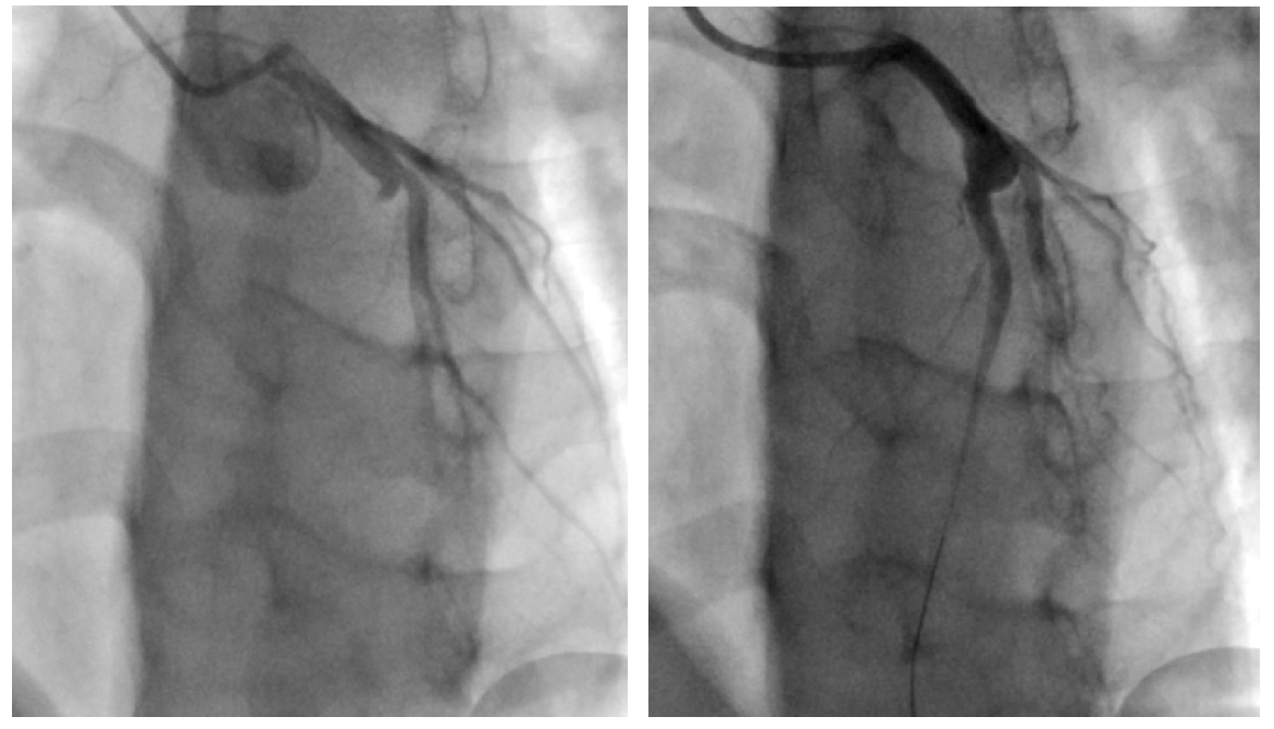
遂立即急诊行冠状动脉造影
检查,结果显示前降支自近段闭塞(图3左),在反复抽吸血栓,冠脉内给予尿激酶
、替罗非班
等药物后,冠状动脉血流得到改善,再次造影显示前降支近段存在一个巨大瘤样扩张(图3右)。行血管内超声
(IVUS)检查提示,冠状动脉并无粥样硬化斑块,前降支近段正常血管内径3.8mm(图4左),IVUS测量瘤样扩张血管内径约8.6mm(图4右),冠状动脉瘤诊断明确,未行支架置入术,安返病房。

图3左提示前降支自近段闭塞;图3右是反复抽吸、冠脉内给予溶栓药物后可见前降支近段有一个冠状动脉瘤

图4左 IVUS测量前降支近段正常血管内径,约3.8mm;图4右 IVUS测量瘤样扩张血管内径约8.6mm
术后给予抗血小板、营养心肌、抑制心室重构等治疗。追问父母无心脏病史及相关家属史,否认患者既往有川崎病
史。化验回报:C反应蛋白 2.27 mg/L (0-3mg/L),血沉(ESR) 20 mm/h(0-15 mm/h), NT-proBNP670 pg/ml,抗核抗体、ANA及相关免疫指标为阴性。术后5天完善冠脉CTA提示前降支近段冠状动脉瘤(图5)。

图5 冠状动脉CTA可见前降支近段瘤样扩张
心梗病因:冠脉血管瘤+活动量下降?
一个年仅16岁的学生为什么会得急性心肌梗死呢?患者及家属否认心脏病家族史,否认其他不良嗜好,体型偏瘦,唯一能找的原因就是梗死相关血管存在冠状动脉瘤。
冠状动脉瘤是心肌梗死的潜在病因,在成年人中冠状动脉瘤多与动脉粥样硬化相关,也有其他原因包括先天性冠状动脉畸形、川崎病、马凡综合征、艾滋病
、感染等所致。患者家属否认既往有川崎病史。术后抗核抗体等免疫相关检查结果也是阴性。冠状动脉瘤的确诊主要可以通过冠状动脉造影、冠状动脉CTA及血管内超声检查,血管内超声有助于判断瘤体的大小及其是否合并有冠状动脉粥样硬化。
冠状动脉发生瘤样扩张后,冠状动脉内血流动力学会发生相应改变,血流在冠状动脉瘤内会形成湍流,流速也会相应减慢,在久坐不动、血液粘稠、高凝状态等诱因下,容易血栓形成,诱发急性心肌梗死。在新冠疫情期间,户外活动减少、居家久坐不动,存在冠状动脉瘤的患者更易发急性心肌梗死,所以适当增加活动、长期有效的抗血小板或抗凝药物对于预防再次心梗的发生有着重要意义。