
肺炎旁胸腔积液的诊断和管理│临床必备
医脉通编译整理,未经授权请勿转载。
胸腔积液
是肺炎患者的常见表现。超过40%的细菌性肺炎和60%的肺炎球菌肺炎发生肺炎旁积液。虽然抗生素治疗可使大多数患者缓解,但一些患者可出现纤维蛋白反应,产生脓胸。
分类
根据积液特征,将肺炎旁胸腔积液分为3大类。可反映胸腔积液的严重程度和自然病史。
➤单纯性肺炎旁胸腔积液:以中性粒细胞为主,液体可能轻微浑浊,甚至澄清,革兰氏染色或培养未检测到任何微生物。适当的抗生素治疗肺炎可缓解。
➤复杂性肺炎旁胸腔积液:中性粒细胞数量增加、葡萄糖
水平降低、乳酸脱氢酶(LDH)水平升高。积液通常是浑浊,通常引流才能缓解。
➤脓胸:胸膜腔内脓液明显积聚。脓液见于胸腔穿刺或任何胸膜腔引流操作后,一般表现为浓稠、粘稠、不透明。
病因
几乎任何类型的肺炎(例如细菌、病毒、非典型)均可伴有肺炎旁胸腔积液。但肺炎旁胸腔积液的相对发生率因病原体而异。约20%的病毒性肺炎和支原体肺炎
患者可见少量胸腔积液。70%的脓胸患者病因是细菌性肺炎。既往手术并发症也可引起脓胸,约占30%。
在胸水培养物中,肺炎链球菌
和金黄色葡萄球菌
约占需氧革兰阳性培养菌的70%。目前,需氧菌分离频率略高于厌氧菌,米勒链球菌也变得更加普遍。克雷伯氏菌、假单胞菌、嗜血杆菌属是3种最常见的需氧革兰氏阴性菌。拟杆菌属和消化链球菌属
是2种最常见的厌氧微生物。目前,脓胸最常与吸入性肺炎
(含需氧菌和厌氧菌的混合菌)有关。既往手术并发症引起的脓胸常见微生物是金黄色葡萄球菌。
肺炎旁胸腔积液的演变包括渗出期、纤维脓性期和机化期。脓胸的危险因素包括年龄(儿童和老年人),乏力,肺炎需要住院和有合并症,例如支气管扩张、类风湿性关节炎,酒精中毒,糖尿病和胃食管反流病
。
影像学检查
1. 胸片检查
胸部X线片常显示有大量的胸水。对疑似肺炎旁胸腔积液的患者。

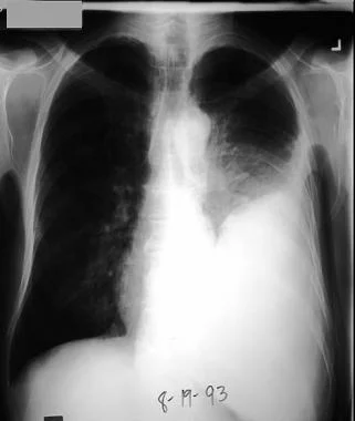
图1 抗生素治疗肺炎球菌性肺炎4天,出现左侧胸腔积液。患者发热
、左侧胸痛
和呼吸困难
加重。胸腔穿刺培养显示为肺炎链球菌。

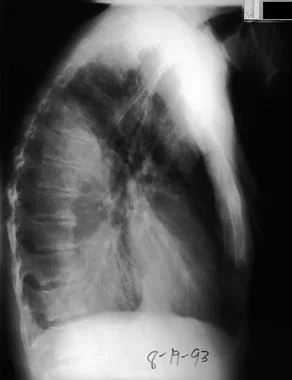
图2 侧位胸片显示,左侧有较多积液。
2. 胸部CT扫描
胸部CT增强扫描可增强胸膜表面,有助于描绘积液位置。

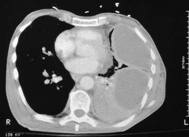
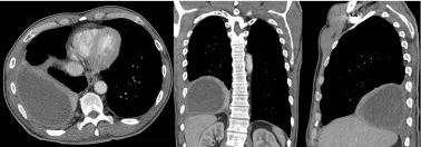
图3 胸部CT扫描显示左侧包裹性胸腔积液和脏层胸膜对比增强,表明病因可能是脓胸。

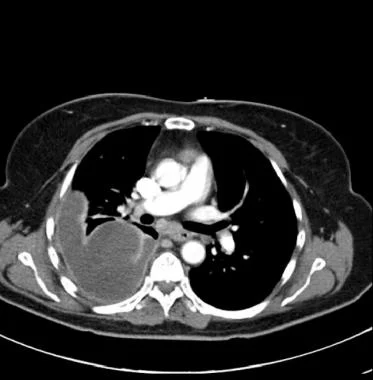
图4 吸入性肺炎导致米勒链球菌和厌氧菌的脓胸患者。对比增强CT显示胸膜增厚、胸腔积液密度高、分房和分隔。胸腔穿刺出现恶臭脓液。
胸膜增强可见于活动性炎症和严重胸膜肺感染的患者,可能是复杂性胸腔积液或脓胸的一个征象。胸部增强CT示胸膜分裂征,常见于脓胸,被积液分隔的双侧胸膜增强,如下图所示。

图5 胸部对比增强CT 显示,酗酒男性患者厌氧脓胸,出现胸膜分裂征。
胸部CT也可有助于发现气道和实质异常,如支气管内阻塞或存在肺脓肿
。
超声检查
超声检查可用于胸腔穿刺定位。复杂性积液(脓性或粘稠)可能有更高的密度,有时可见胸水中漂浮纤维蛋白条索。如果怀疑包裹性胸腔积液,建议行超声检查诊断,并标记胸腔穿刺区。
其他检查
虽然对于肺炎旁胸腔积液没有可用于诊断的实验室血清学检查,但应检测血清总蛋白和乳酸脱氢酶 (LDH)水平,确定胸水是渗出液还是漏出液。
胸腔积液pH值<7.20提示为复杂性胸腔积液。提示复杂性胸腔积液或脓胸的其他实验室检查:包括(1)LDH>1000 U/L,(2)葡萄糖水平<40 mg/dL。
抗酸杆菌和真菌感染也可引起胸腔积液或脓胸,很难在积液中培养检测这些微生物。
胸水CRP>100 mg/L 或血清CRP>200 mg/L复杂性肺炎旁胸腔积液的可能性增加,而且可以预测是否需要引流手术。但胸水降钙素
原数据一致性较低,尽管在很多实验室被使用,但是基于系统综述和荟萃分析,其敏感性不高。
管理
肺炎旁胸腔积液的初始治疗主要涉及到两方面:①使用合适的抗生素,以覆盖可能的病原体。②是否需要引流。
初期治疗选择抗生素时,通常需要考虑患者是社区获得性肺炎
还是医院获得性肺炎
,以及患者疾病严重程度。对于社区获得性肺炎患者,除大环内酯类药物外,推荐第二代或第三代头孢菌素。对于因重症社区获得性肺炎住院的患者,初始治疗应使用大环内酯类药物和具有抗假单胞菌活性的第三代头孢菌素。如果明显或怀疑有误吸,还应覆盖厌氧菌。
卧位胸片胸水厚度<10 mm的积液大多可通过适当的全身性抗生素缓解。侧卧位X线片>10 mm的胸腔积液应进行诊断性胸腔穿刺术
,除非存在手术禁忌症。如果诊断性胸腔穿刺检测发现脓液,说明患者患有脓胸,明确需要引流。如果胸水不是脓液,则应结合胸水革兰氏染色或培养结果、pH值和葡萄糖水平以及是否存在包裹性胸腔积液,根据指南推荐治疗指导。
对所有急性细菌性肺炎患者,应考虑是否存在肺炎旁胸腔积液。肺炎旁胸腔积液患者不良结局风险,可分为以下4个类别:
➤ 1 类(风险极低):积液较少(卧位时厚度<10 mm)且可自由流动。积液较少未进行胸腔穿刺,未知其细菌学和化学表现。
➤ 2 类(低风险):积液为少量至中等(≥10 mm 且<半侧胸部的一半),且可自由流动,培养和革兰氏染色阴性,不考虑既往是否使用抗生素 ,pH≥7.20。
➤ 3 类(中等风险):积液符合以下标准之一,大量(≥半侧胸部的一半)、包裹性积液、对比增强 CT示胸膜增厚、革兰氏染色或培养阳性或pH<7.20。
➤ 第4类(高风险):胸腔积液由脓液组成。
不良结局风险为1、2类的肺炎旁胸腔积液患者可能不需要引流。建议对3或4类肺炎旁胸膜腔积液患者进行引流管理。
单独使用治疗性的胸腔穿刺术或管状胸廓造口术似乎不足以治疗大多数3类或4类肺炎旁胸腔积液患者。但对个别患者可能有效。
纤维蛋白溶解剂、电视辅助胸腔镜手术(VATS)和外科手术是治疗 3 类和 4 类肺炎旁胸腔积液患者可接受方法,有数据表明这些干预措施与病死率最低有关,并且需要二次干预。
医脉通编译整理自:Parapneumonic Pleural Effusions and Empyema Thoracis Treatment & Management- medscape