
产后10天,36岁女性出现严重头痛为何?丨临床推理
翻译:倒影无痕
医脉通编译整理,未经授权请勿转载。
近期Neurology杂志临床推理系列报道了一例36岁产后头痛的女性患者。我们一起通过该病例学习一下产后头痛的诊断和鉴别诊断思路吧。
36岁女性,产后10天严重头痛数小时
患者为36岁女性,体健,G2P2,“因产后10天严重头痛数小时”就诊。患者既往无偏头痛
史,也无使用药物或毒物史。头痛非姿势性;否认相关的神经系统症状或创伤。患者还述有胸痛
并放射至胸椎,无视觉改变、腹痛或下肢水肿
。血压为166/94mmHg,无发热
,精神状态正常。查体显示颈部轻度僵硬,无视乳头水肿或局灶性神经功能缺损;深肌腱反射对称且活跃。实验室检查未见贫血
、血小板减少、肝功能异常或蛋白尿
等异常。心电图
和胸部CT血管造影
(CTA)均正常。
由于分娩时胎儿心动过缓,患者于四年前接受了剖腹产。因其有两个中度先兆子痫的危险因素(年龄≥35和非洲加勒比血统),患者于此次妊36周时开始预防性阿司匹林
治疗。整个妊娠期间血压均正常。在妊39周时,患者于L2-L3硬膜外麻醉下剖宫产。
产后头痛的鉴别诊断有哪些?
研究显示产后头痛通常为继发性。产后妊娠高血压性疾病(先兆子痫和子痫)表现为BP> 140/90mmHg和器官功能障碍,其中包括神经系统症状和中重度头痛,并且对简单的镇痛药疗效不佳。神经血管疾病,如缺血性卒中、颅内出血、颈动脉夹层、脑静脉血栓形成、可逆性脑血管收缩综合征(RCVS)和可逆性后部脑病综合征(PRES),在产后更为常见。如存在仰卧位改善头痛,则提示硬脑膜穿刺后颅内低压。淋巴细胞性垂体炎和Sheehan综合征可伴有视力
减退和垂体功能减退。原发性产后头痛也有报道(偏头痛或紧张性头痛),可能因压力和睡眠不足所致。
由于新发高血压和反射活跃,该患者最初被诊断为产后先兆子痫,为此接受静脉注射拉贝洛尔
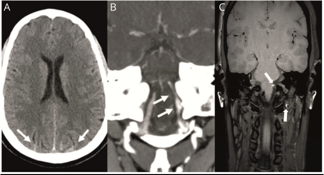
和镁制剂治疗并转诊。经治疗,胸痛缓解,但头痛仍持续。次日的大脑CT显示双侧顶枕蛛网膜下腔出血
(SAH)(图1-A)。头颈部CTA显示右侧颅外以及左侧颅内和颅外椎动脉夹层,没有纤维肌发育异常的证据(图1-B)。该患者在产后第10天未再述颈部疼痛。左颅内椎动脉夹层导致动脉狭窄70%,其余颅内动脉正常。头颅MRI T1抑脂序列证实了夹层壁内血肿,并排除了脑梗塞(图1-C)。

图1 蛛网膜下腔出血和颈动脉夹层。
(A)轴位大脑CT平扫
显示双侧顶叶皮层蛛网膜下腔出血。(B)冠状位头颈部CTA显示硬膜内左椎动脉梭形扩张,随后变窄,与夹层一致;还可见双侧颅外椎动脉夹层(未显示)。(C)T1脂肪抑制显示壁内血肿。
该患者的SAH该如何解释?
颅内动脉内部发育良好,但无外弹性层,使其容易出现膜下剥离和并继发SAH。RCVS最初可出现凸面SAH,并且头痛后第一周的影像检查常常不能显示血管痉挛。相对于非产后妇女,产后女性更常出现颈脑动脉夹层合并PRES和/或RCVS[3]。此外,还应考虑颅内动脉瘤
、血管畸形和脑静脉血栓形成。
在该患者中,左侧颅内椎动脉夹层是SAH的最可能原因。由于颅内夹层引起SAH后再出血的风险接近40%,因此通常考虑手术或血管内治疗。对于仅有疼痛或脑缺血的患者(因为发生SAH的风险较低)可考虑药物治疗,通常使用抗血小板药。
对于该患者,治疗上需考虑的是如果阻塞了左椎动脉,则右椎动脉夹层的进展可能会导致双侧椎动脉闭塞。血管造影显示,右侧颅外椎动脉夹层稳定且无狭窄。右椎动脉注射造影剂显示左椎动脉逆行充盈。两条后交通动脉均通畅,未见血管痉挛。因此,为了防止SAH复发,左侧颅内椎动脉进行了血管内阻塞,并启用阿司匹林以防血栓形成。
产后第16天,经颅多普勒检查显示收缩速度加快,头颈部CTA显示弥漫性SAH后血管痉挛,给予了口服尼莫地平
治疗(图2-A)。同时,血管炎病因检查结果为阴性。次日,患者述下肢感觉异常,但查体未见无力和感觉水平。此外,自入院以来,患者需要导尿。

图2 CT血管造影和脊髓影像。
(A)产后第16天随访头颈部CTA显示颅内动脉弥漫性节段性狭窄,提示血管痉挛。(B)脊髓MRI T1序列显示T3水平不均一硬膜内髓外病变,伴脊髓受压,提示硬膜内血肿。(C)左侧T7动脉造影显示了Adamkiewicz动脉瘤。(D)3个月随访时T2序列显示T3水平蛛网膜粘连伴脊髓扭曲和继发性髓内信号变化。
下步该行哪些检查?
括约肌功能障碍和双下肢感觉异常提示脊髓病变。脊柱MRI显示T1高信号,T2低信号,非增强性硬膜内髓外病变,考虑为血肿,提示脊髓SAH(图2-B)。硬膜外麻醉在该部位几个水平以下进行,无法解释血肿。脊柱血管造影显示T3和T7左根分支上存在两个梭状动脉瘤(图2-C)。
脊髓动脉瘤可伴发于脊髓循环血流增加的疾病(如动静脉畸形)或血管壁受损疾病(如结缔组织疾病、血管炎),也可能由动脉夹层引起,虽然在该病例中没有直接的根动脉夹层的证据,但同时存在椎动脉夹层支持了这一假设。最初的胸痛发作可能是继发于根动脉夹层和随后的脊髓SAH。回顾其病程,顶枕SAH可能是脊髓SAH的重新分布,或者可能是由于颅内椎动脉夹层所致。脊髓动脉瘤的再出血率和最佳治疗尚不清楚,该患者接受保守治疗方法,并停用了阿司匹林。
治疗一周后头痛缓解。此外,患者还接受了三个月的钙通道阻滞剂,以解决血管痉挛。该患者在产后第22天出院回家,但由于步态困难而在三个月后重新入院,病程持续了数周。此时已无尿潴留。查体显示下肢肌张力增高,肌力对称降低(4/5),双侧针刺感觉减弱至T8平面。
如何解释患者的迟发性步态困难?
痉挛性轻瘫和感觉平面提示脊髓病变。脊髓动脉瘤再出血可能会导致症状更突然发作。脊髓SAH后,脑脊液动力学改变易诱发脊髓空洞症
。慢性蛛网膜下腔出血可引起浅表铁沉积症,伴有铁血黄素在脊髓周围积聚。蛛网膜下腔血液可诱发蛛网膜慢性炎症反应。这种脊髓蛛网膜炎可能会使脊髓变形,从而导致压迫性脊髓病。
脊髓MRI显示T3水平存在T2高信号病灶和脊髓扭曲,以及多个部位粘连,提示蛛网膜炎(图2-D)。脊柱血管造影未见残留的动脉瘤。头颈部CTA证实血管痉挛消退,最初两个颅外椎动脉夹层正常化。该患者接受了手术以解决黏连,出院进行康复治疗。
在6个月的随访中,由于中度痉挛性轻瘫,患者需要助行器。随后的多基因结缔组织病谱正常。
讨论
大量报道强调了产后期与RCVS、PRES和颈脑动脉夹层之间的相关性。产后动脉病可以伴或不伴先兆子痫发展,表明两者具有共同的病理生理机制。
一项研究显示,多发颈动脉夹层见于15%的病例,并与纤维肌发育异常和近期感染相关-在该患者中均不存在。另一项研究发现,存在三重和四重颈动脉夹层的患者没有潜在的动脉病变。多发颈动脉夹层与夹层家族史无关,可能是遗传性结缔组织疾病的替代性标志物。最近的病例对照分析明确了妊娠是颈动脉夹层的危险因素,特别是在产后。这些患者通常在产后21天被诊断,提示产后可能会增加夹层的风险。由于作者没有按分娩方式对病例进行分层,因此分娩过程的创伤对这种关联的影响尚不清楚。
妊娠期脊髓动脉瘤破裂仅有一例报道,且为尸检发现。在该病例中,脊髓动脉瘤由于与颈脑动脉夹层同时出现,并在后续的血管成像中缓解,因此它们很可能是夹层动脉瘤。
新发产后头痛的患者应始终排除继发病因。脊髓夹层动脉瘤可能使产后颈脑动脉夹层病例复杂化。脊髓SAH尽管很罕见,但是当出现无法解释的大脑SAH、背痛或脊髓功能障碍等症状时,应始终考虑。临床医生不应机械地将产后女性脊髓SAH归因于硬膜外麻醉,而脊髓血管造影可能有助于诊断。
文献索引:Ahmad Nehme, Laurent Létourneau-Guillon, Céline Odier, et al. Clinical reasoning: A 36-year-old woman presenting with headache postpartum. Neurology published online December 4, 2020. DOI 10.1212/WNL.0000000000011318.