
9岁男孩反复胸痛及不吸收肺炎,原因为何?
本文为医脉通编辑整理,未经授权请勿转载。
一名既往健康的9岁男孩,在过去的1年半中反复发作了5次左侧胸痛
和低烧,疼痛较为剧烈,在进行吸气、体力活动和吞咽动作时,疼痛会加重,在持续几个小时后会自发消退,期间无咳嗽
、呼吸困难
、发冷、出汗等症状。病史和家族史正常。
入院时检查:口温36.6°C,心率88次/min,血压123/86mmHg,呼吸22次/min,室内氧饱和度100%。神志清醒,仅有轻微的疼痛,心脏听诊时可闻及收缩期杂音,分级为2级。肺部听诊正常,腹部检查及其他体格检查均无异常发现。
实验室检查
在过去的18个月中,包括嗜酸性粒细胞在内的全血细胞计数
、肝转氨酶、促甲状腺激素等都处于正常范围,IgE水平正常(150单位/mL),24小时动态心电图
正常,仅有几张胸片显示左上肺叶有肺泡浸润(图1 A,B),在接受了7天的阿莫西林
后虽有所好转,但效果一般。

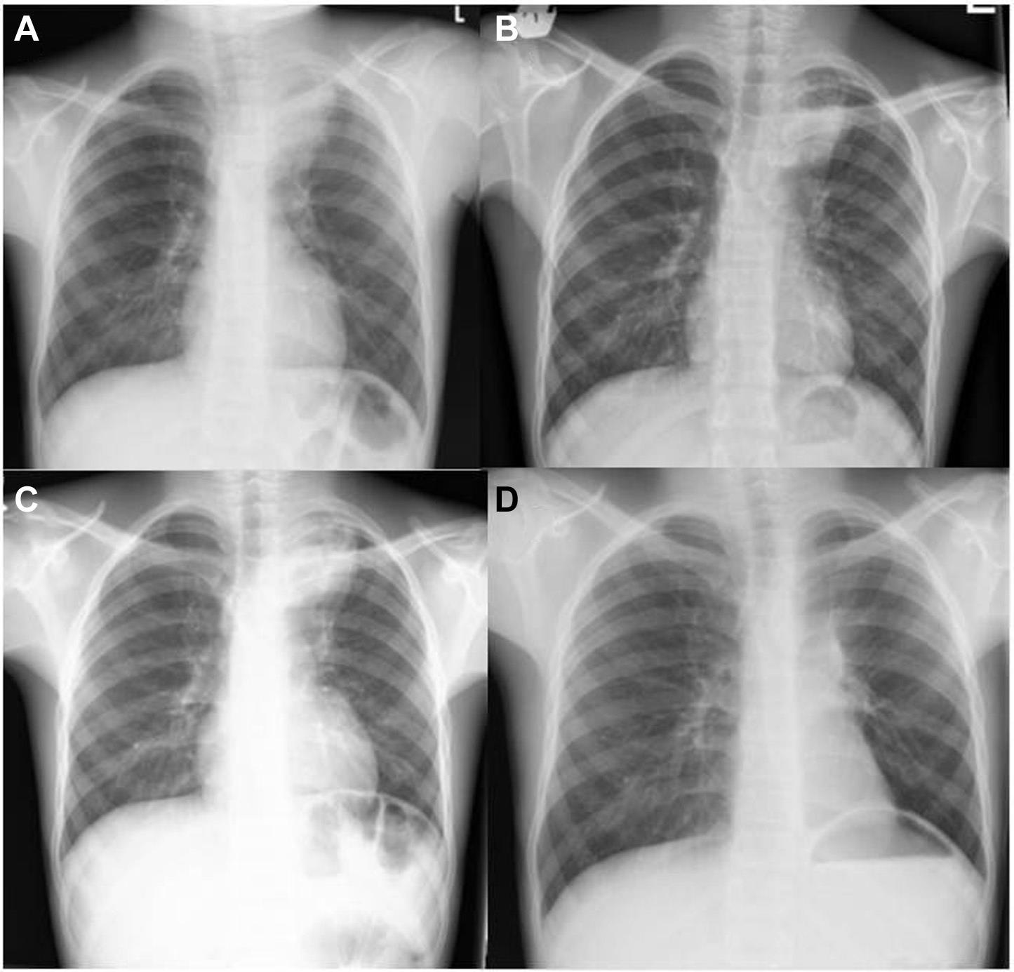
图1 胸片
A 左上叶实变(2017.07) B 18个月后左上叶实变(2019.01)
C 阿苯达唑
治疗后左上叶实变(2019.06) D 左上叶切除术后;右叶无实变,轻度的过度充气。
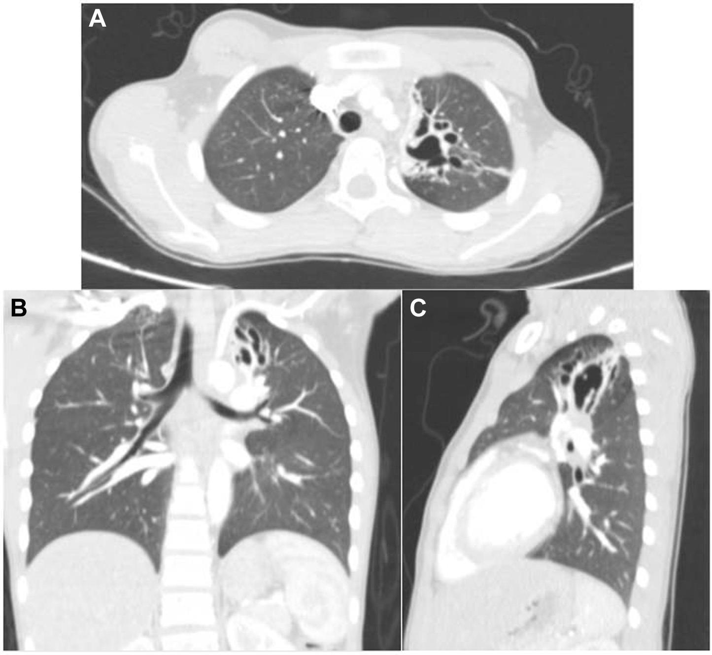
HRCT显示左肺上叶有一个大而不规则的实质炎症突起,边缘呈小叶状。突起内有囊性和空洞性病变,周围有几个卫星结节,通向左上叶的支气管略狭窄,但左主支气管正常(图2)。腹部超声检查正常,结核分枝杆菌纯化蛋白衍生物试验阴性。包虫病血清学检查(酶联免疫吸附试验
)阴性。

图2 胸部CT显示左上叶肺内有一大片不规则的实质炎性突起,边缘呈小叶状。
(A).横断面 (B).冠状面 (C).左腋下矢状面 突起内可见囊性和空洞性病变,通向左上叶的支气管变窄。
纤维支气管镜检查
显示肺左上叶被一种白色蛋清样物质堵塞(图3)。

图3 纤维支气管镜检查显示左上叶上段闭塞,有白色物质
你的诊断是什么?
支气管内包虫囊肿
随后患者服用阿苯达唑(200mg,bid)治疗2个月,复查发现胸片结果与之前类似。且经过3个月药物治疗后,患者仍有反复发作的胸痛和咳嗽。
随后经过多学科会诊,患者接受了左上叶切除术治疗。术中观察到左上叶的弥漫性纤维化过程,切除的肺叶和破裂的囊肿进行了病理检查
,结果显示为慢性炎症和纤维化伴部分支气管扩张。
左上叶切除术后,患者继续接受了6个月的阿苯达唑治疗,胸痛症状完全消失,随访胸片显示其他肺叶无浸润和肺不张
(图1 D)
讨论
包虫病是一种由绦虫感染引起的人畜共患病,在南美、中东等地区较为流行,我国的内蒙古、西北、西藏等地区较为多见。其主要是由细粒棘球绦虫和多房棘球绦虫两种棘球绦虫所引起的。棘球绦虫生长较为缓慢,因此,感染者通常需要数年时间才会出现相关症状。儿童患者的肺部感染较为多见,而成人患者则肝脏感染较多。
肝囊肿
通常无症状或仅有非特异性症状,如腹部不适、肝脏肿大、呕吐等。肺囊肿则会引起胸痛、慢性咳嗽或咯血
。肺囊肿通常是由于幼虫通过肝血窦经膈、淋巴或血液扩散引起的。
在肺包虫病中,无并发症时的胸片通常显示为均匀的圆形或椭圆形肿块,边界光滑,被正常的肺组织包围。当囊肿与小支气管相通、内囊未破,且空气进入内外囊之间时,可以看到“新月征”,此时为囊肿即将破裂的迹象。当囊肿破裂时,根据囊肿的大小和形态,可出现“水上浮莲”、“洋葱皮征”等典型征象。如果囊肿完整,CT可显示一条薄薄的边界线。
血清学检查也可有助于诊断,但不一定敏感,与肝包虫病相比,肺包虫病的假阴性率更高。
包虫病的治疗取决于包囊的位置位置和大小,因此需要个体化治疗。主要的几种治疗方案包括手术、经皮治疗、药物治疗等。
➤手术治疗通常适用于复杂的、大的或位于特殊位置的囊肿,如中枢神经系统或骨骼系统的囊肿。
➤经皮穿刺、抽吸、灌注、再抽吸是一种微创技术,主要用于治疗肝脏囊肿,但通常不适用于肺部囊肿。
➤苯并咪唑类药物如阿苯达唑、甲苯达唑是最有效的药物,阿苯达唑通常作为首选药物。其可作为单一治疗的方式,也可作为手术、经皮治疗后的联合治疗。
总结
➤棘球蚴肺囊肿在牧区等流行地区较为常见,可有多种肺部表现,支气管内囊肿是其中之一。
➤反复胸痛伴不吸收肺炎可能是支气管内包虫病的症状。
➤在流行地区,支气管镜检查发现支气管内有白色的蛋清样物质则应怀疑为支气管内包虫病。
医脉通整理编译自:
Gatt D, Aviram M, Alasad K, et al. A 9-Year-Old Boy With Recurrent Chest Pain and Nonresolving Pneumonia. Chest. 2020 Dec;158(6):e289-e293.